Skip to main content

NAT8 Antibody (OTI5A8)

Novus Biologicals, part of Bio-Techne | Catalog # NBP1-47863

Novus Biologicals, part of Bio-Techne
Catalog #
Availability
Size / Price
Qty
Loading...
NBP1-47863

Key Product Details

Species Reactivity

Human

Applications

Immunohistochemistry, Immunohistochemistry-Paraffin, Western Blot, Immunocytochemistry/ Immunofluorescence

Label

Unconjugated

Antibody Source

Monoclonal Mouse IgG1 Clone # OTI5A8

Concentration

1 mg/ml

Product Specifications

Immunogen

Full-length protein expressed in 293T cell transfected with human NAT8 expression vector

Specificity

This antibody is specific for Homo sapiens N-acetyltransferase 8 (GCN5-related, putative) (NAT8).

Clonality

Monoclonal

Host

Mouse

Isotype

IgG1

Theoretical MW

25.6 kDa.
Disclaimer note: The observed molecular weight of the protein may vary from the listed predicted molecular weight due to post translational modifications, post translation cleavages, relative charges, and other experimental factors.

Description

Novus Biologicals Mouse NAT8 Antibody (OTI5A8) (NBP1-47863) is a monoclonal antibody validated for use in IHC, WB and ICC/IF. All Novus Biologicals antibodies are covered by our 100% guarantee.

Scientific Data Images for NAT8 Antibody (OTI5A8)

Western Blot: NAT8 Antibody (OTI5A8) [NBP1-47863]

Western Blot: NAT8 Antibody (OTI5A8) [NBP1-47863]

Western Blot: NAT8 Antibody (5A8) [NBP1-47863] - HEK293T cells were transfected with the pCMV6-ENTRY control (Left lane) or pCMV6-ENTRY NAT8 (Right lane) cDNA for 48 hrs and lysed. Equivalent amounts of cell lysates (5 ug per lane) were separated by SDS-PAGE and immunoblotted with anti-NAT8.
Immunocytochemistry/Immunofluorescence: NAT8 Antibody (5A8) [NBP1-47863] Staining of COS7 cells transiently transfected by pCMV6-ENTRY NAT8.
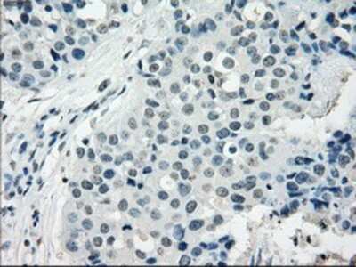
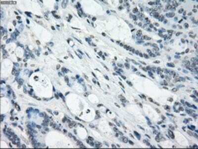
Immunohistochemistry-Paraffin: NAT8 Antibody (OTI5A8) [NBP1-47863]

Immunohistochemistry-Paraffin: NAT8 Antibody (OTI5A8) [NBP1-47863]

Immunohistochemistry-Paraffin: NAT8 Antibody (5A8) [NBP1-47863] - Staining of paraffin-embedded pancreas tissue using anti-NAT8 mouse monoclonal antibody.

Applications for NAT8 Antibody (OTI5A8)

Application
Recommended Usage

Immunocytochemistry/ Immunofluorescence

1:100

Immunohistochemistry

1:50

Immunohistochemistry-Paraffin

1:50

Western Blot

1:500

Formulation, Preparation, and Storage

Purification

Immunogen affinity purified

Formulation

PBS (pH 7.3), 1.0% BSA and 50% Glycerol

Preservative

0.02% Sodium Azide

Concentration

1 mg/ml

Shipping

The product is shipped with polar packs. Upon receipt, store it immediately at the temperature recommended below.

Stability & Storage

Store at -20C. Avoid freeze-thaw cycles.

Background: NAT8

This gene, isolated using the differential display method to detect tissue-specific genes, is specifically expressed in kidney and liver. The encoded protein shows amino acid sequence similarity to N-acetyltransferases. A similar protein in Xenopus affects cell adhesion and gastrulation movements, and may be localized in the secretory pathway. A highly similar paralog is found in a cluster with this gene.

Alternate Names

Camello-like protein 1, CML1, EC 2.3.1, EC 2.3.1.-, GLAkidney- and liver-specific gene product, Hcml1, N-acetyltransferase 8, N-acetyltransferase 8 (GCN5-related, putative), probable N-acetyltransferase 8, TSC501N-acetyltransferase 8 (camello like), TSC510

Entrez Gene IDs

9027 (Human)

Gene Symbol

NAT8

Additional NAT8 Products

Product Documents for NAT8 Antibody (OTI5A8)

Certificate of Analysis

To download a Certificate of Analysis, please enter a lot number in the search box below.

Product Specific Notices for NAT8 Antibody (OTI5A8)

This product is for research use only and is not approved for use in humans or in clinical diagnosis. Primary Antibodies are guaranteed for 1 year from date of receipt.

Loading...
Loading...
Loading...
Loading...