NAPRT1 Antibody - BSA Free
Novus Biologicals, part of Bio-Techne | Catalog # NBP1-87244
Key Product Details
Validated by
Knockout/Knockdown, Orthogonal Validation, Independent Antibodies
Species Reactivity
Validated:
Human, Mouse, Chinese Hamster
Cited:
Human, Mouse, Hamster - Cricetulus (Chinese Hamster)
Predicted:
Rat (96%). Backed by our 100% Guarantee.
Applications
Validated:
Immunohistochemistry, Immunohistochemistry-Paraffin, Western Blot, Knockdown Validated
Cited:
Western Blot
Label
Unconjugated
Antibody Source
Polyclonal Rabbit IgG
Format
BSA Free
Concentration
Concentrations vary lot to lot. See vial label for concentration. If unlisted please contact technical services.
Product Specifications
Immunogen
This antibody was developed against Recombinant Protein corresponding to amino acids: PAFFEHLRALDCSEVTVRALPEGSLAFPGVPLLQVSGPLLVVQLLETPLLCLVSYASLVATNAARLRLIAGP
Reactivity Notes
Chinese Hamster, Mouse reactivity reported in scientific literature (PMID: 24204194).
Clonality
Polyclonal
Host
Rabbit
Isotype
IgG
Theoretical MW
57 kDa.
Disclaimer note: The observed molecular weight of the protein may vary from the listed predicted molecular weight due to post translational modifications, post translation cleavages, relative charges, and other experimental factors.
Disclaimer note: The observed molecular weight of the protein may vary from the listed predicted molecular weight due to post translational modifications, post translation cleavages, relative charges, and other experimental factors.
Scientific Data Images for NAPRT1 Antibody - BSA Free
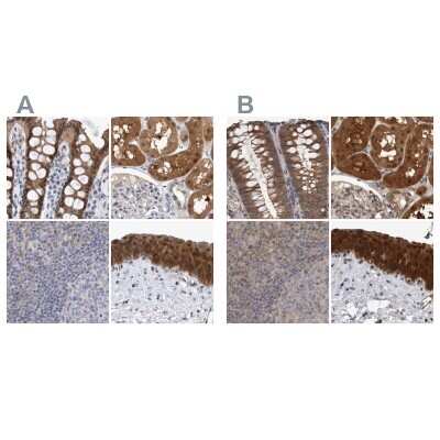
Immunohistochemistry-Paraffin: NAPRT1 Antibody [NBP1-87244]
Immunohistochemistry-Paraffin: NAPRT1 Antibody [NBP1-87244] - Staining of human colon, kidney, lymph node and urinary bladder using Anti-NAPRT antibody NBP1-87244 (A) shows similar protein distribution across tissues to independent antibody NBP1-87243 (B).Applications for NAPRT1 Antibody - BSA Free
Application
Recommended Usage
Immunohistochemistry
1:50 - 1:200
Immunohistochemistry-Paraffin
1:50 - 1:200
Knockdown Validated
Validated for Knockdown from a verified customer review.
Western Blot
0.04-0.4 ug/ml
Application Notes
For IHC-Paraffin, HIER pH 6 retrieval is recommended.
Reviewed Applications
Read 1 review rated 5 using NBP1-87244 in the following applications:
Formulation, Preparation, and Storage
Purification
Affinity purified
Formulation
PBS (pH 7.2) and 40% Glycerol
Format
BSA Free
Preservative
0.02% Sodium Azide
Concentration
Concentrations vary lot to lot. See vial label for concentration. If unlisted please contact technical services.
Shipping
The product is shipped with polar packs. Upon receipt, store it immediately at the temperature recommended below.
Stability & Storage
Store at 4C short term. Aliquot and store at -20C long term. Avoid freeze-thaw cycles.
Background: NAPRT1
Alternate Names
EC 2.4.2.11, FHA-HIT-interacting protein, FHIP, NAPRTase, nicotinate phosphoribosyltransferase, nicotinate phosphoribosyltransferase domain containing 1, Nicotinate phosphoribosyltransferase domain-containing protein 1, nicotinic acid phosphoribosyltransferase, PP3856
Entrez Gene IDs
93100 (Human)
Gene Symbol
NAPRT
UniProt
Additional NAPRT1 Products
Product Documents for NAPRT1 Antibody - BSA Free
Product Specific Notices for NAPRT1 Antibody - BSA Free
This product is for research use only and is not approved for use in humans or in clinical diagnosis. Primary Antibodies are guaranteed for 1 year from date of receipt.
Loading...
Loading...
Loading...
Loading...