Skip to main content

NAPRT1 Antibody (CL0665) - Azide and BSA Free

Novus Biologicals, part of Bio-Techne | Catalog # NBP3-44003

Novus Biologicals, part of Bio-Techne

Key Product Details

Validated by

Orthogonal Validation

Species Reactivity

Human

Applications

Immunohistochemistry-Paraffin, Western Blot

Label

Unconjugated

Antibody Source

Monoclonal Mouse IgG1 Clone # CL0665

Format

Azide and BSA Free

Concentration

LYOPH mg/ml

Product Specifications

Immunogen

This antibody was generated using a recombinant protein sequence of Q6XQN6, with the exact immunogen sequence remaining proprietary.

Clonality

Monoclonal

Host

Mouse

Isotype

IgG1

Description

Novus Biologicals Mouse NAPRT1 Antibody (CL0665) - Azide and BSA Free (NBP2-52954) is a monoclonal antibody validated for use in IHC and WB. All Novus Biologicals antibodies are covered by our 100% guarantee.

Scientific Data Images for NAPRT1 Antibody (CL0665) - Azide and BSA Free

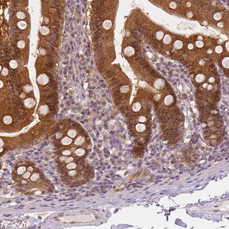
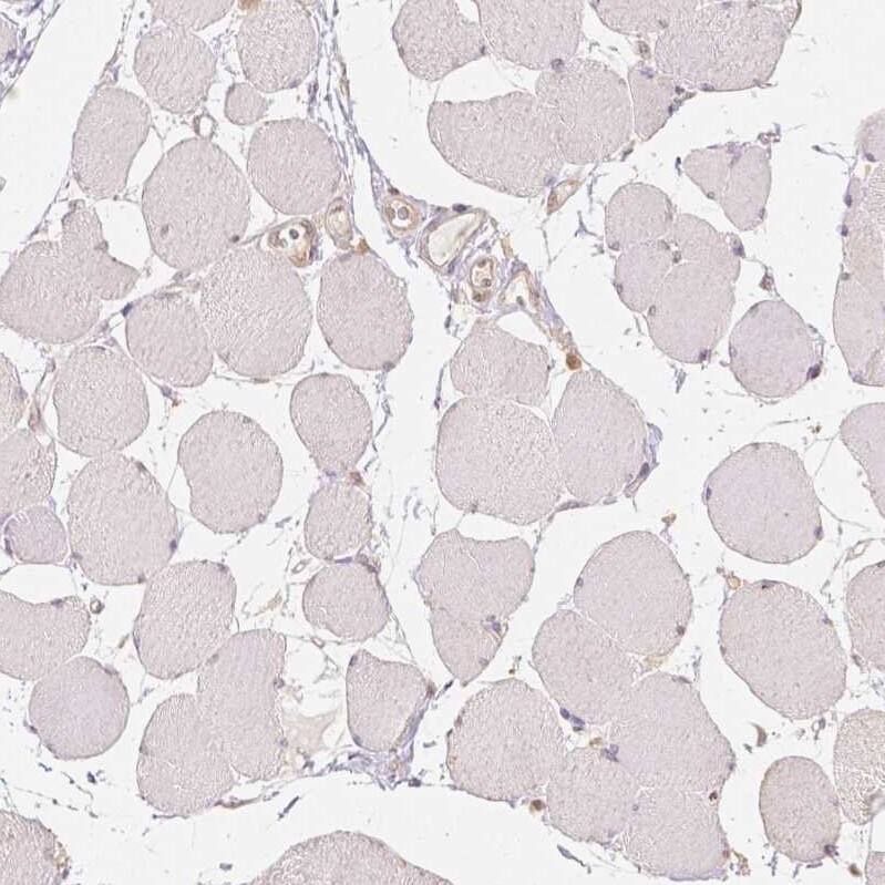
NAPRT1 Antibody (CL0665) - Azide and BSA Free Immunohistochemistry-Paraffin: NAPRT1 Antibody [NBP3-44003]

Immunohistochemistry-Paraffin: NAPRT1 Antibody [NBP3-44003]

Analysis in human duodenum and skeletal muscle tissues using NBP3-44003 antibody. Corresponding NAPRT1 RNA-seq data are presented for the same tissues.
NAPRT1 Antibody (CL0665) - Azide and BSA Free Western Blot: NAPRT1 Antibody [NBP3-44003]

Western Blot: NAPRT1 Antibody [NBP3-44003]

Lane 1: Marker [kDa]
Lane 2: Human liver tissue lysate
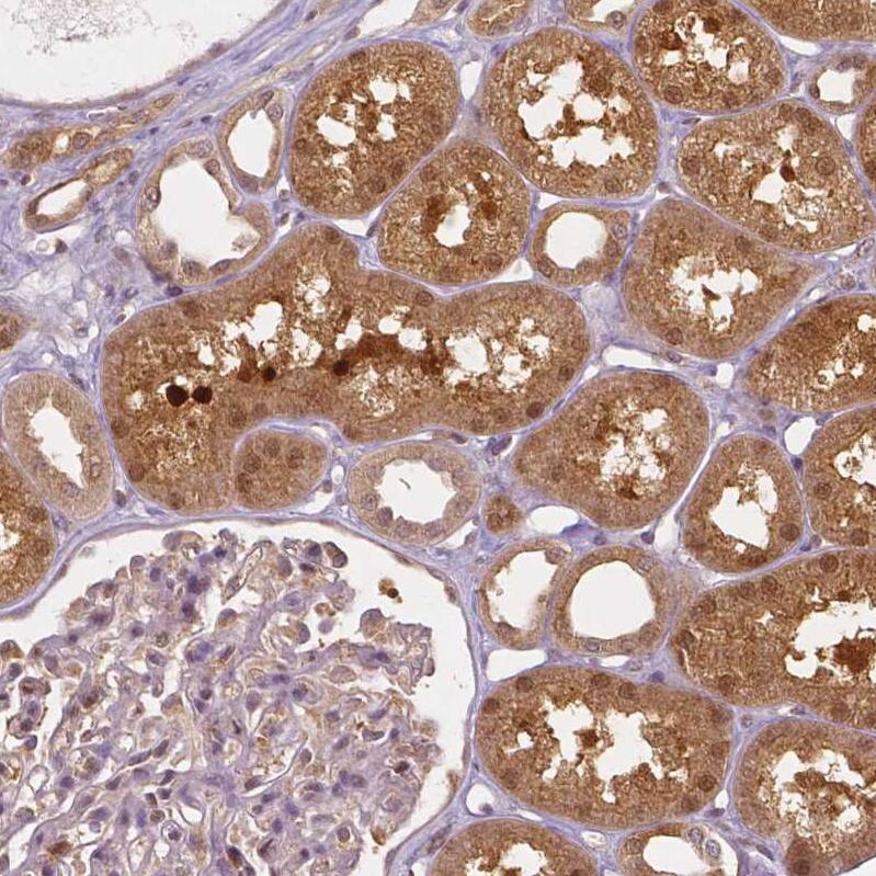
NAPRT1 Antibody (CL0665) - Azide and BSA Free Immunohistochemistry-Paraffin: NAPRT1 Antibody [NBP3-44003]

Immunohistochemistry-Paraffin: NAPRT1 Antibody [NBP3-44003]

Staining of human kidney shows strong cytoplasmic positivity in cells in tubules.

Applications for NAPRT1 Antibody (CL0665) - Azide and BSA Free

Application
Recommended Usage

Immunohistochemistry-Paraffin

1:200 - 1:500

Western Blot

1 ug/ml
Application Notes
For IHC-Paraffin, HIER pH 6 retrieval is recommended.

Formulation, Preparation, and Storage

Purification

Protein A purified

Reconstitution

Centrifuge the vial of lyophilized antibody at 12,000 x g for 20 seconds. Reconstitute by adding sterile, distilled water to achieve a final antibody concentration of 1mg/ml.

Formulation

Lyophilized from a 0.2 um filtered solution in PBS with Trehalose

Format

Azide and BSA Free

Preservative

No Preservative

Concentration

LYOPH mg/ml

Shipping

The product is shipped at ambient temperature. Upon receipt, store it immediately at the temperature recommended below.

Stability & Storage

Store at 4C short term. Aliquot and store at -20C long term. Avoid freeze-thaw cycles.

Background: NAPRT1

Nicotinic acid (NA; niacin) is converted by nicotinic acid phosphoribosyltransferase (NAPRT; EC 2.4.2.11) to NA mononucleotide (NaMN), which is then converted to NA adenine dinucleotide (NaAD), and finally to nicotinamide adenine dinucleotide (NAD), which serves as a coenzyme in cellular redox reactions and is an essential component of a variety of processes in cellular metabolism including response to stress (Hara et al., 2007).[supplied by OMIM]

Alternate Names

EC 2.4.2.11, FHA-HIT-interacting protein, FHIP, NAPRTase, nicotinate phosphoribosyltransferase, nicotinate phosphoribosyltransferase domain containing 1, Nicotinate phosphoribosyltransferase domain-containing protein 1, nicotinic acid phosphoribosyltransferase, PP3856

Gene Symbol

NAPRT

Additional NAPRT1 Products

Product Documents for NAPRT1 Antibody (CL0665) - Azide and BSA Free

Certificate of Analysis

To download a Certificate of Analysis, please enter a lot number in the search box below.

Product Specific Notices for NAPRT1 Antibody (CL0665) - Azide and BSA Free

This product is for research use only and is not approved for use in humans or in clinical diagnosis. Primary Antibodies are guaranteed for 1 year from date of receipt.

Loading...
Loading...
Loading...
Loading...
Loading...