Skip to main content

NAP1 Antibody - Azide and BSA Free

Novus Biologicals, part of Bio-Techne | Catalog # NBP3-15592

Novus Biologicals, part of Bio-Techne
Catalog #
Availability
Size / Price
Qty
Loading...
NBP3-15592-100ul
NBP3-15592-20ul

Key Product Details

Species Reactivity

Human, Mouse, Rat

Applications

Immunohistochemistry, Immunohistochemistry-Paraffin, Western Blot

Label

Unconjugated

Antibody Source

Polyclonal Rabbit IgG

Format

Azide and BSA Free

Concentration

Please see the vial label for concentration. If unlisted please contact technical services.

Product Specifications

Immunogen

Recombinant fusion protein containing a sequence corresponding to amino acids 390-480 of human NAP1 (NP_690000.3). QPSPRNQHSLYTATTPPSSSPSRGISSQPKPPFSVNPVYITYTQPTGPSCTPSPSPRVIPNPTTVFKITVGRATTENLLNLVDQEERSAAP

Clonality

Polyclonal

Host

Rabbit

Isotype

IgG

Description

Novus Biologicals Rabbit NAP1 Antibody - Azide and BSA Free (NBP3-15592) is a polyclonal antibody validated for use in IHC and WB. All Novus Biologicals antibodies are covered by our 100% guarantee.

Scientific Data Images for NAP1 Antibody - Azide and BSA Free

Western Blot: NAP1 AntibodyAzide and BSA Free [NBP3-15592]

Western Blot: NAP1 AntibodyAzide and BSA Free [NBP3-15592]

Western Blot: NAP1 Antibody [NBP3-15592] - Western blot analysis of extracts of various cell lines, using NAP1 pAb (NBP3-15592) at 1:1000 dilution. Secondary antibody: HRP Goat Anti-Rabbit IgG (H+L) at 1:10000 dilution. Lysates/proteins: 25ug per lane. Blocking buffer: 3% nonfat dry milk in TBST. Detection: ECL Basic Kit. Exposure time: 30s.
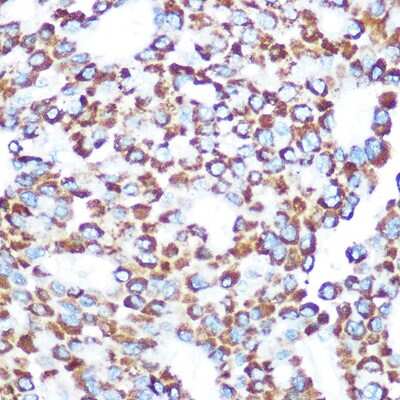
Immunohistochemistry-Paraffin: NAP1 Antibody - Azide and BSA Free [NBP3-15592]

Immunohistochemistry-Paraffin: NAP1 Antibody - Azide and BSA Free [NBP3-15592]

Immunohistochemistry-Paraffin: NAP1 Antibody [NBP3-15592] - Immunohistochemistry of paraffin-embedded human liver cancer using NAP1 Rabbit pAb (NBP3-15592) at dilution of 1:100 (40x lens).Perform microwave antigen retrieval with 10 mM Tris/EDTA buffer pH 9.0 before commencing with IHC staining protocol.

Applications for NAP1 Antibody - Azide and BSA Free

Application
Recommended Usage

Immunohistochemistry

1:50 - 1:200

Western Blot

1:500 - 1:2000

Formulation, Preparation, and Storage

Purification

Affinity purified

Formulation

PBS (pH 7.3), 50% glycerol

Format

Azide and BSA Free

Preservative

0.01% Thimerosal

Concentration

Please see the vial label for concentration. If unlisted please contact technical services.

Shipping

The product is shipped with polar packs. Upon receipt, store it immediately at the temperature recommended below.

Stability & Storage

Store at -20C. Avoid freeze-thaw cycles.

Background: NAP1

NAP1, also know as TAK1-binding protein 3 (TAB3), is a binding and regulatory subunit of the transforming growth factor-beta-activated kinase 1 (TAK1). NAP1 functions as an adaptor that mediates IL1 and TNF signaling pathways. Additionally it plays a role in the activation of the NF-kappaB pathway by functioning as receptors that bind polyubiquitin chains for the regulation of kinase activity.

Alternate Names

CG5330, Dmel\CG5330, dNap, dNAP1, dNAP-1, MAP3K7IP3, MGC45404, mitogen-activated protein kinase kinase kinase 7 interacting protein 3, Mitogen-activated protein kinase kinase kinase 7-interacting protein 3, NAP1, Nap-1, NF-kappa-B-activating protein 1, NFkB activating protein 1, p56/dCAF-4, TAB-3, TAK1-binding protein 3, TGF-beta activated kinase 1/MAP3K7 binding protein 3, TGF-beta-activated kinase 1 and MAP3K7-binding protein 3, TGF-beta-activated kinase 1-binding protein 3

Gene Symbol

TAB3

Additional NAP1 Products

Product Documents for NAP1 Antibody - Azide and BSA Free

Certificate of Analysis

To download a Certificate of Analysis, please enter a lot number in the search box below.

Product Specific Notices for NAP1 Antibody - Azide and BSA Free

This product is for research use only and is not approved for use in humans or in clinical diagnosis. Primary Antibodies are guaranteed for 1 year from date of receipt.

Loading...
Loading...
Loading...
Loading...

⚠ WARNING: This product can expose you to chemicals including Methotrexate, which is known to the State of California to cause reproductive toxicity with developmental effects. For more information, go to www.P65Warnings.ca.gov