Skip to main content

Nanog Antibody

Novus Biologicals, part of Bio-Techne | Catalog # NB100-59737

Novus Biologicals, part of Bio-Techne
Catalog #
Availability
Size / Price
Qty
Loading...
NB100-59737

Key Product Details

Species Reactivity

Human

Applications

Immunohistochemistry, Immunohistochemistry-Paraffin, Western Blot, Peptide ELISA

Label

Unconjugated

Antibody Source

Polyclonal Goat IgG

Concentration

0.5 mg/ml

Product Specifications

Immunogen

Peptide with sequence C-DLFLNYSMNMQPED corresponding to C-Terminus according to NP_079141.2.

Marker

Embryonic Stem Cell Marker

Clonality

Polyclonal

Host

Goat

Isotype

IgG

Theoretical MW

35 kDa.
Disclaimer note: The observed molecular weight of the protein may vary from the listed predicted molecular weight due to post translational modifications, post translation cleavages, relative charges, and other experimental factors.

Description

Novus Biologicals Goat Nanog Antibody (NB100-59737) is a polyclonal antibody validated for use in IHC, WB and ELISA. Anti-Nanog Antibody: Cited in 1 publication. All Novus Biologicals antibodies are covered by our 100% guarantee.

Scientific Data Images for Nanog Antibody

Western Blot: Nanog Antibody [NB100-59737]

Western Blot: Nanog Antibody [NB100-59737]

Western Blot: Nanog Antibody [NB100-59737] - Staining of HeLa (nuclear) cell lysate (35 ug protein in RIPA buffer). Antibody at 0.05 ug/mL. Primary incubation was 1 hour. Detected by chemiluminescence.
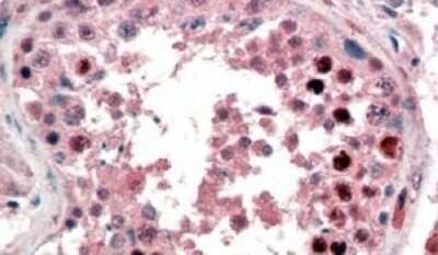
Immunohistochemistry: Nanog Antibody [NB100-59737]

Immunohistochemistry: Nanog Antibody [NB100-59737]

Immunohistochemistry: Nanog Antibody [NB100-59737] - IHC staining of paraffin embedded Human Testis using NB100-59737 at 2 ug/mL. Steamed antigen retrieval with citrate buffer pH 6, AP-staining.

Applications for Nanog Antibody

Application
Recommended Usage

Immunohistochemistry

1 - 2 ug/mL

Immunohistochemistry-Paraffin

1 - 2 ug/mL

Peptide ELISA

Detection limit 1:128000

Western Blot

0.05 - 0.1 ug/mL
Application Notes
EIA: Sandwich ELISA with increasing amount of recombinant NANOG captured by a rabbit antibody. This antibody is reported to work in Sandwich ELISA both as a capturer and as a reporter in combination with NB110-40660. WB: Approx. 35 kDa band observed in HeLa nuclear lysates (calculated MW of 34.6 kDa band according to NP_079141.1). An additional band of approx. 37 kDa band is observed and is consistent with the observations of higher molecular weight bands regularly found with antibodies from other sources. IHC-P: Human testis shows nuclear staining in spermatogonia.

Formulation, Preparation, and Storage

Purification

Immunogen affinity purified

Formulation

Tris saline (20 mM Tris pH 7.3, 150 mM NaCl), 0.5% BSA

Preservative

0.02% Sodium Azide

Concentration

0.5 mg/ml

Shipping

The product is shipped with polar packs. Upon receipt, store it immediately at the temperature recommended below.

Stability & Storage

Store at -20C. Avoid freeze-thaw cycles.

Background: Nanog

Nanog is a newly identified homeodomain-bearing transcriptional factor. Nanog expression is specific to early embryos and pluripotential stem cells including mouse and human embryonic stem (ES) and embryonic germ (EG) cells. It is a key molecule involved in the signaling pathway for maintaining the capacity for self-renewal and pluripotency, bypassing regulation by the STAT3 pathway. Nanog mRNA is present in pluripotent mouse and human cell lines, and absent from differentiated cells. Nanog-deficient ES cells lose pluripotency and differentiate into extraembryonic endoderm lineage. Thus it is one of the molecular markers suitable for recognizing the undifferentiated state of stem cells in the mouse and human. NANOG is a new marker for testicular carcinoma in situ and germ cell tumors. Nanog is a 304 amino acid polypeptide which lacks a signal sequence for secretion.

Long Name

Nanog Homeobox

Alternate Names

FLJ12581, FLJ40451, hNanog, homeobox protein NANOG, Homeobox transcription factor Nanog, homeobox transcription factor Nanog-delta 48, Nanog homeobox

Entrez Gene IDs

79923 (Human)

Gene Symbol

NANOG

UniProt

Additional Nanog Products

Product Documents for Nanog Antibody

Certificate of Analysis

To download a Certificate of Analysis, please enter a lot number in the search box below.

Product Specific Notices for Nanog Antibody

This product is for research use only and is not approved for use in humans or in clinical diagnosis. Primary Antibodies are guaranteed for 1 year from date of receipt.

Loading...
Loading...
Loading...
Loading...