Skip to main content

Nanog Antibody (5A10) - BSA Free

Novus Biologicals, part of Bio-Techne | Catalog # NBP1-04320

Novus Biologicals, part of Bio-Techne
Catalog #
Availability
Size / Price
Qty
Loading...
NBP1-04320SS
NBP1-04320
Conjugate
Catalog #

Key Product Details

Species Reactivity

Validated:

Human

Cited:

Human

Applications

Validated:

Immunohistochemistry, Immunohistochemistry-Paraffin, Western Blot, ELISA, Flow Cytometry

Cited:

Immunohistochemistry-Paraffin, Western Blot, IF/IHC

Label

Unconjugated

Antibody Source

Monoclonal Mouse IgG2a Kappa Clone # 5A10

Format

BSA Free

Concentration

1.0 mg/ml

Product Specifications

Immunogen

Recombinant human Nanog (1-154aa) purified from E. coli (NP_079141).

Marker

Embryonic Stem Cell Marker

Clonality

Monoclonal

Host

Mouse

Isotype

IgG2a Kappa

Theoretical MW

35 kDa.
Disclaimer note: The observed molecular weight of the protein may vary from the listed predicted molecular weight due to post translational modifications, post translation cleavages, relative charges, and other experimental factors.

Scientific Data Images for Nanog Antibody (5A10) - BSA Free

Western Blot: Nanog Antibody (5A10)BSA Free [NBP1-04320]

Western Blot: Nanog Antibody (5A10)BSA Free [NBP1-04320]

Western Blot: Nanog Antibody (5A10) [NBP1-04320] - The cell lysates of NIH3T3 (35ug) were resolved by SDS-PAGE, transferred to NC membrane and probed with anti-human Nanog (1:500). Proteins were visualized using a goat anti-mouse secondary antibody conjugated to HRP and an ECL detection system.
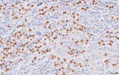
Immunohistochemistry: Nanog Antibody (5A10) - BSA Free [NBP1-04320]

Immunohistochemistry: Nanog Antibody (5A10) - BSA Free [NBP1-04320]

Nanog-Antibody-5A10-Immunohistochemistry-NBP1-04320-img0006.jpg
Flow Cytometry: Nanog Antibody (5A10) - BSA Free [NBP1-04320]

Flow Cytometry: Nanog Antibody (5A10) - BSA Free [NBP1-04320]

Flow Cytometry: Nanog Antibody (5A10) [NBP1-04320] - Flow cytometry analysis of Nanog in Hep3B cell line, staining at 2-5ug for 1x106cells. The secondary antibody used goat anti-mouse IgG Alexa fluor 488 conjugate.

Applications for Nanog Antibody (5A10) - BSA Free

Application
Recommended Usage

ELISA

1:100-1:2000

Immunohistochemistry

1:10-1:500

Immunohistochemistry-Paraffin

1:50-1:100

Western Blot

1:500-1:1000

Formulation, Preparation, and Storage

Purification

Protein G purified

Formulation

PBS (pH 7.4), 10% Glycerol

Format

BSA Free

Preservative

0.02% Sodium Azide

Concentration

1.0 mg/ml

Shipping

The product is shipped with polar packs. Upon receipt, store it immediately at the temperature recommended below.

Stability & Storage

Store at 4C short term. Aliquot and store at -20C long term. Avoid freeze-thaw cycles.

Background: Nanog

Nanog is a multidomain homeobox transcription factor that functions to maintain the undifferentiated state of pluripotent stem cells. Nanog expression counteracts the differentiation-promoting signals induced by the extrinsic factors LIF, Stat3 and BMP. When Nanog expression is downregulated, cell differentiation can proceed. Proteins that regulate Nanog expression include transcription factors Oct4, SOX2, FoxD3, and Tcf3 and tumor suppressor p53.

Long Name

Nanog Homeobox

Alternate Names

FLJ12581, FLJ40451, hNanog, homeobox protein NANOG, Homeobox transcription factor Nanog, homeobox transcription factor Nanog-delta 48, Nanog homeobox

Entrez Gene IDs

79923 (Human); 71950 (Mouse)

Gene Symbol

NANOG

UniProt

Additional Nanog Products

Product Documents for Nanog Antibody (5A10) - BSA Free

Certificate of Analysis

To download a Certificate of Analysis, please enter a lot number in the search box below.

Product Specific Notices for Nanog Antibody (5A10) - BSA Free

This product is for research use only and is not approved for use in humans or in clinical diagnosis. Primary Antibodies are guaranteed for 1 year from date of receipt.

Loading...
Loading...
Loading...
Loading...
Loading...