Skip to main content

Myotrophin Antibody - BSA Free

Novus Biologicals, part of Bio-Techne | Catalog # NBP1-89787

Novus Biologicals, part of Bio-Techne
Catalog #
Availability
Size / Price
Qty
Loading...
NBP1-89787

Key Product Details

Validated by

Knockout/Knockdown

Species Reactivity

Human, Mouse, Rat

Applications

Immunohistochemistry, Immunohistochemistry-Paraffin, Western Blot, Immunocytochemistry/ Immunofluorescence, Knockdown Validated

Label

Unconjugated

Antibody Source

Polyclonal Rabbit IgG

Format

BSA Free

Concentration

Concentrations vary lot to lot. See vial label for concentration. If unlisted please contact technical services.

Product Specifications

Immunogen

This antibody was developed against Recombinant Protein corresponding to amino acids: NGDLDEVKDYVAKGEDVNRTLEGGRKPLHYAADCGQLEILEFLLLKGADINAPDKHHITPLLSAVYEGHVSCVKLLLSKGADKTVKGPDGLTAFEATDNQAIKALLQ

Clonality

Polyclonal

Host

Rabbit

Isotype

IgG

Scientific Data Images for Myotrophin Antibody - BSA Free

Immunocytochemistry/ Immunofluorescence: Myotrophin Antibody [NBP1-89787]

Immunocytochemistry/ Immunofluorescence: Myotrophin Antibody [NBP1-89787]

Immunocytochemistry/Immunofluorescence: Myotrophin Antibody [NBP1-89787] - Staining of human cell line A-431 shows localization to plasma membrane & cytosol. Antibody staining is shown in green.
Immunohistochemistry-Paraffin: Myotrophin Antibody [NBP1-89787]

Immunohistochemistry-Paraffin: Myotrophin Antibody [NBP1-89787]

Immunohistochemistry-Paraffin: Myotrophin Antibody [NBP1-89787] - Staining of human tonsil shows strong cytoplasmic positivity in non-germinal center cells.
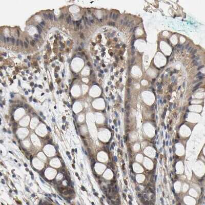
Immunohistochemistry-Paraffin: Myotrophin Antibody [NBP1-89787]

Immunohistochemistry-Paraffin: Myotrophin Antibody [NBP1-89787]

Immunohistochemistry-Paraffin: Myotrophin Antibody [NBP1-89787] - Staining of human rectum shows moderate cytoplasmic positivity in glandular cells.

Applications for Myotrophin Antibody - BSA Free

Application
Recommended Usage

Immunocytochemistry/ Immunofluorescence

0.25-2 ug/ml

Immunohistochemistry

1:500 - 1:1000

Immunohistochemistry-Paraffin

1:500 - 1:1000

Western Blot

0.04 - 0.4 ug/ml
Application Notes
For IHC-Paraffin, HIER pH 6 retrieval is recommended. ICC/IF Fixation Permeabilization: Use PFA/Triton X-100.

Formulation, Preparation, and Storage

Purification

Affinity purified

Formulation

PBS (pH 7.2) and 40% Glycerol

Format

BSA Free

Preservative

0.02% Sodium Azide

Concentration

Concentrations vary lot to lot. See vial label for concentration. If unlisted please contact technical services.

Shipping

The product is shipped with polar packs. Upon receipt, store it immediately at the temperature recommended below.

Stability & Storage

Store at 4C short term. Aliquot and store at -20C long term. Avoid freeze-thaw cycles.

Background: Myotrophin

MTPN (Myotrophin) is a 118 amino acid protein that regulates NFkB activity by promiting dimerization of NFkB subunits. It also plays a role in regulating the growth of actin filaments. It promotes the growth of cardiomyocytes but not their proliferation and also promotes cardiac muscle hypertrophy. It inhibits F-actin-capping protein complex activity. Myotrophin may play a role in dilated cardiomyopathy, muscle hypertrophy, hypertension and cardiomyopathy.

Alternate Names

FLJ31098, FLJ99857, GCDP, granule cell differentiation protein, myotrophin, Protein V-1, V-1

Gene Symbol

MTPN

Additional Myotrophin Products

Product Documents for Myotrophin Antibody - BSA Free

Certificate of Analysis

To download a Certificate of Analysis, please enter a lot number in the search box below.

Product Specific Notices for Myotrophin Antibody - BSA Free

This product is for research use only and is not approved for use in humans or in clinical diagnosis. Primary Antibodies are guaranteed for 1 year from date of receipt.

Loading...
Loading...
Loading...
Loading...