Skip to main content

Myosin heavy chain 11 Antibody (CL14619) - BSA Free

Novus Biologicals, part of Bio-Techne | Catalog # NBP3-26875

Novus Biologicals, part of Bio-Techne
Catalog #
Availability
Size / Price
Qty
Loading...
NBP3-26875-100ul
NBP3-26875-25ul

Key Product Details

Validated by

Orthogonal Validation

Species Reactivity

Validated:

Human

Predicted:

Mouse (95%), Rat (95%). Backed by our 100% Guarantee.

Applications

Immunohistochemistry, Immunohistochemistry-Paraffin, Western Blot

Label

Unconjugated

Antibody Source

Monoclonal Mouse IgG2A Clone # CL14619

Format

BSA Free

Concentration

1 mg/ml

Product Specifications

Immunogen

This antibody was developed using a recombinant protein derived from P35749, with the exact immunogen sequence remaining proprietary.

Clonality

Monoclonal

Host

Mouse

Isotype

IgG2A

Description

Novus Biologicals Mouse Myosin heavy chain 11 Antibody (CL14619) - BSA Free (NBP3-26875) is a monoclonal antibody validated for use in IHC and WB. All Novus Biologicals antibodies are covered by our 100% guarantee.

Scientific Data Images for Myosin heavy chain 11 Antibody (CL14619) - BSA Free

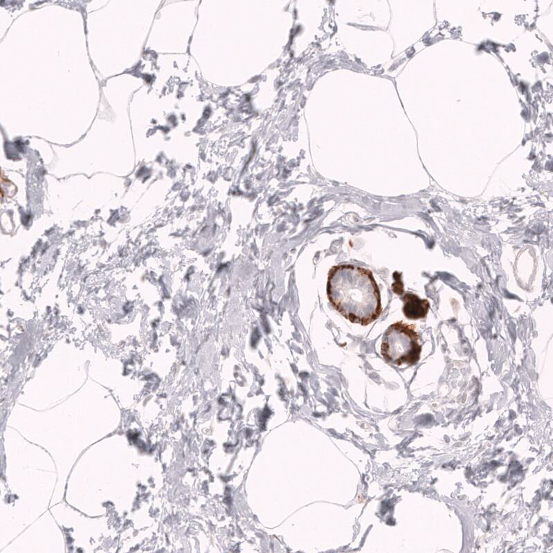
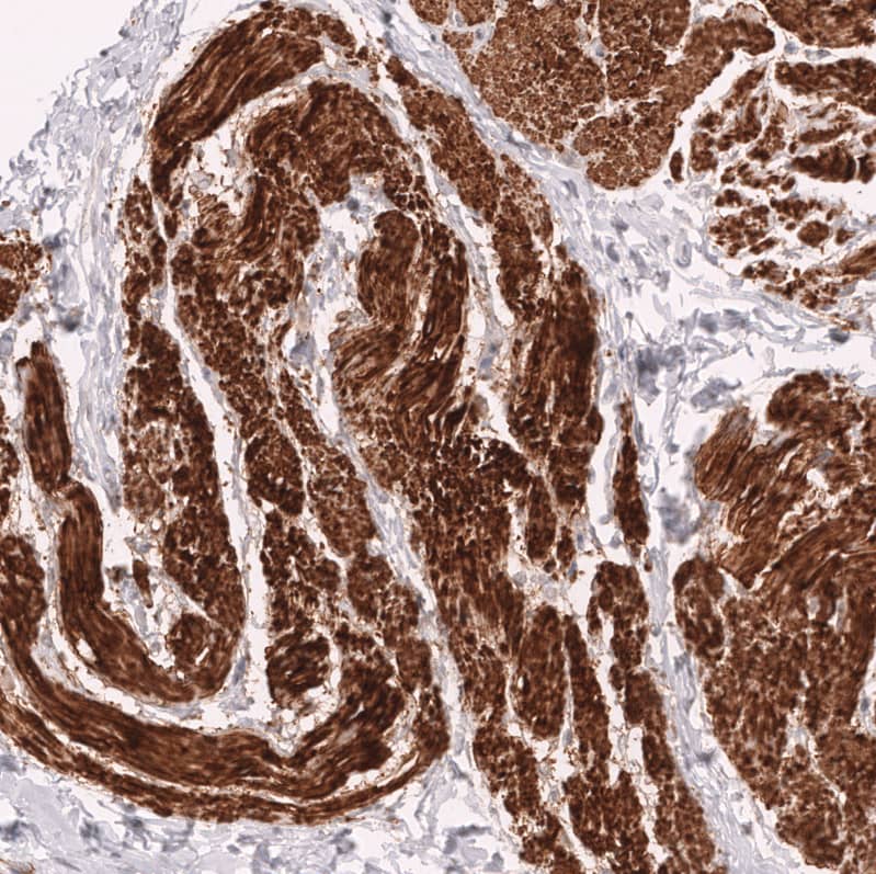
Myosin heavy chain 11 Antibody (CL14619)

Immunohistochemistry-Paraffin: Myosin heavy chain 11 Antibody (CL14619) [NBP3-26875]

Staining of human prostate shows strong cytoplasmic positivity in smooth muscle cells.
Myosin heavy chain 11 Antibody (CL14619)

Western Blot: Myosin heavy chain 11 Antibody (CL14619) [NBP3-26875]

Western blot analysis in human prostate tissue.
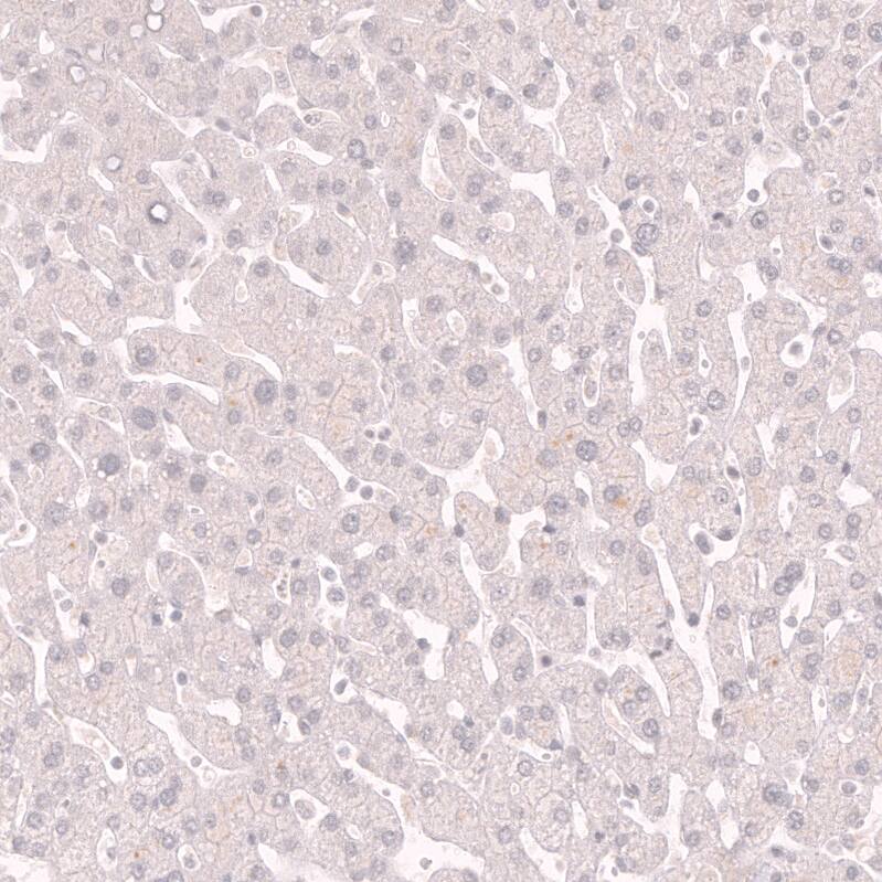
Myosin heavy chain 11 Antibody (CL14619)

Immunohistochemistry-Paraffin: Myosin heavy chain 11 Antibody (CL14619) [NBP3-26875]

Staining of human liver shows no positivity in hepatocytes as expected.

Applications for Myosin heavy chain 11 Antibody (CL14619) - BSA Free

Application
Recommended Usage

Immunohistochemistry

1:1000 - 1:2500

Immunohistochemistry-Paraffin

1:1000 - 1:2500

Western Blot

1 ug/ml
Application Notes
For IHC-Paraffin, HIER pH 6 retrieval is recommended.

Formulation, Preparation, and Storage

Purification

Protein A purified

Formulation

PBS, pH 7.2, 40% glycerol

Format

BSA Free

Preservative

0.02% Sodium Azide

Concentration

1 mg/ml

Shipping

The product is shipped with polar packs. Upon receipt, store it immediately at the temperature recommended below.

Stability & Storage

Store at 4C short term. Aliquot and store at -20C long term. Avoid freeze-thaw cycles.

Background: Myosin heavy chain 11

The protein encoded by the MYH11 gene is a smooth muscle myosin belonging to the myosin heavy chain family. The gene product is a subunit of a hexameric protein that consists of two heavy chain subunits and two pairs of non-identical light chain subunits. MYH11 functions as a major contractile protein, converting chemical energy into mechanical energy through the hydrolysis of ATP. The gene encoding a human ortholog of rat NUDE1 is transcribed from the reverse strand of this gene, and its 3' end overlaps with that of the latter. The pericentric inversion of chromosome 16 [inv(16)(p13q22)] produces a chimeric transcript that encodes a protein consisting of the first 165 residues from the N terminus of core-binding factor beta in a fusion with the C-terminal portion of the smooth muscle myosin heavy chain. This chromosomal rearrangement is associated with acute myeloid leukemia of the M4Eo subtype. Alternative splicing generates isoforms that are differentially expressed, with ratios changing during muscle cell maturation. Alternatively spliced transcript variants encoding different isoforms have been identified.

Alternate Names

AAT4, FAA4, MYH11, MYH11 myosin, heavy chain 11, smooth muscle, SMHC, SMMHC, Smooth muscle myosin heavy chain

Gene Symbol

MYH11

Additional Myosin heavy chain 11 Products

Product Documents for Myosin heavy chain 11 Antibody (CL14619) - BSA Free

Certificate of Analysis

To download a Certificate of Analysis, please enter a lot number in the search box below.

Product Specific Notices for Myosin heavy chain 11 Antibody (CL14619) - BSA Free

This product is for research use only and is not approved for use in humans or in clinical diagnosis. Primary Antibodies are guaranteed for 1 year from date of receipt.

Loading...
Loading...
Loading...
Loading...