Skip to main content

Myomesin 2 Antibody - BSA Free

Novus Biologicals, part of Bio-Techne | Catalog # NBP3-41271

Novus Biologicals, part of Bio-Techne
Catalog #
Availability
Size / Price
Qty
Loading...
NBP3-41271

Key Product Details

Species Reactivity

Human, Mouse, Rat, Porcine

Applications

Immunohistochemistry, Immunohistochemistry-Paraffin, Western Blot

Label

Unconjugated

Antibody Source

Polyclonal Rabbit

Format

BSA Free

Concentration

0.5 mg/ml

Product Specifications

Immunogen

Immunized with recombinant Human Myomesin 2 (Uniprot#: P54296; Pro1130-Ser1434 (Uniprot#: P54296)

Clonality

Polyclonal

Host

Rabbit

Description

Novus Biologicals Rabbit Myomesin 2 Antibody - BSA Free (NBP3-41271) is a polyclonal antibody validated for use in IHC and WB. All Novus Biologicals antibodies are covered by our 100% guarantee.

Scientific Data Images for Myomesin 2 Antibody - BSA Free

Myomesin 2 Antibody

Western Blot: Myomesin 2 Antibody [NBP3-41271] -

Western Blot: Myomesin 2 Antibody [NBP3-41271] - Sample: Porcine Heart lysate; Primary Ab: 1ug/ml NBP3-41271; Second Ab: 0.2ug/mL HRP-Linked Caprine Anti-Rabbit IgG Polyclonal Antibody
Myomesin 2 Antibody

Western Blot: Myomesin 2 Antibody [NBP3-41271] -

Western Blot: Myomesin 2 Antibody [NBP3-41271] - Sample: Porcine Skeletal muscle lysate; Primary Ab: 1ug/ml NBP3-41271; Second Ab: 0.2ug/mL HRP-Linked Caprine Anti-Rabbit IgG Polyclonal Antibody
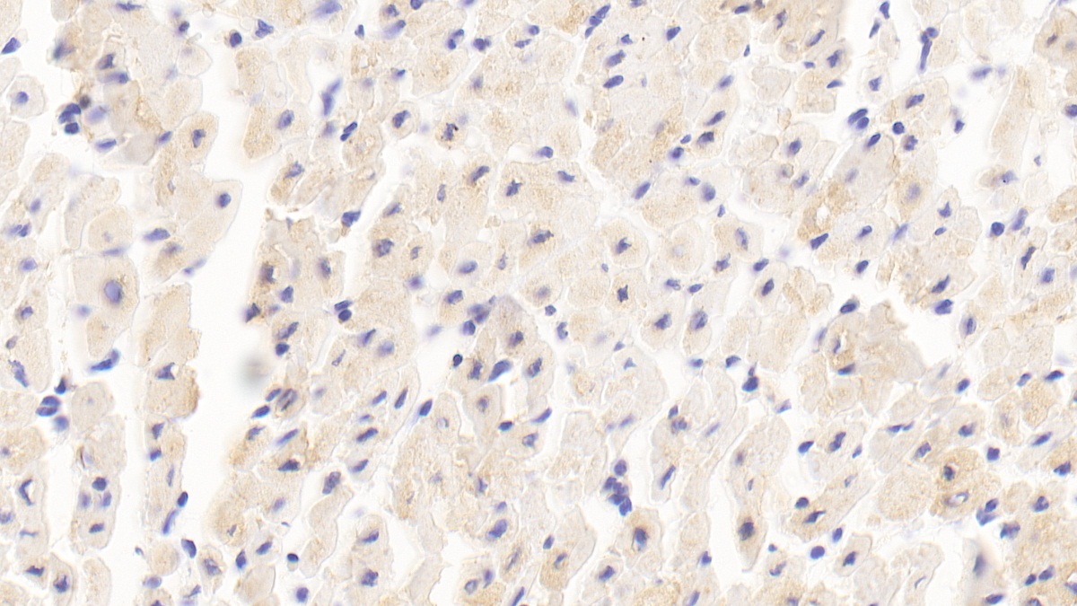
Myomesin 2 Antibody

Immunohistochemistry-Paraffin: Myomesin 2 Antibody [NBP3-41271] -

Immunohistochemistry-Paraffin: Myomesin 2 Antibody [NBP3-41271] - DAB staining on IHC-P; Samples: Human Cardiac Muscle Tissue; Primary Ab: 20ug/ml NBP3-41271; Second Ab: 2ug/mL HRP-Linked Caprine Anti-Rabbit IgG Polyclonal Antibody

Applications for Myomesin 2 Antibody - BSA Free

Application
Recommended Usage

Immunohistochemistry

5-20ug/mL

Immunohistochemistry-Paraffin

5-20ug/mL

Western Blot

0.5-2ug/mL

Formulation, Preparation, and Storage

Purification

Antigen and protein A Affinity-purified

Formulation

PBS, pH7.4, 50% glycerol

Format

BSA Free

Preservative

0.02% Sodium Azide

Concentration

0.5 mg/ml

Shipping

The product is shipped with polar packs. Upon receipt, store it immediately at the temperature recommended below.

Stability & Storage

Store at 4C short term. Aliquot and store at -20C long term. Avoid freeze-thaw cycles.

Background: Myomesin 2

Myomesin-1 (190 kDa) and myomesin-2 (165 kDa) are components of the vertebrate myofibrillar M band and are associated with Titin, Myosin and Connectin. The myomesin proteins are responsible for the formation of a head structure on one end of the Titin string that connects the Z and M bands of the sarcomere. Myomesin-1 and -2 have unique N-terminal domains and are expressed mainly in skeletal muscle. The gene encoding human myomesin-1 maps to chromosome 18p11.31-p11.32.

Alternate Names

165 kDa connectin-associated protein, 165 kDa titin-associated protein, M-band protein, M-protein, myomesin (M-protein) 2 (165kD), myomesin (M-protein) 2, 165kDa, Myomesin family member 2, myomesin-2, titin-associated protein, 165 kD, TTNAP

Gene Symbol

MYOM2

Additional Myomesin 2 Products

Product Documents for Myomesin 2 Antibody - BSA Free

Certificate of Analysis

To download a Certificate of Analysis, please enter a lot number in the search box below.

Product Specific Notices for Myomesin 2 Antibody - BSA Free

This product is for research use only and is not approved for use in humans or in clinical diagnosis. Primary Antibodies are guaranteed for 1 year from date of receipt.

Loading...
Loading...
Loading...
Loading...