Skip to main content

Myomesin 2 Antibody - BSA Free

Novus Biologicals, part of Bio-Techne | Catalog # NBP1-87496

Novus Biologicals, part of Bio-Techne
Catalog #
Availability
Size / Price
Qty
Loading...
NBP1-87496
NBP1-87496-25ul

Key Product Details

Validated by

Orthogonal Validation

Species Reactivity

Human

Applications

Immunohistochemistry, Immunohistochemistry-Paraffin, Immunocytochemistry/ Immunofluorescence

Label

Unconjugated

Antibody Source

Polyclonal Rabbit IgG

Format

BSA Free

Concentration

Concentrations vary lot to lot. See vial label for concentration. If unlisted please contact technical services.

Product Specifications

Immunogen

This antibody was developed against Recombinant Protein corresponding to amino acids: STQASSQKSLSQRSSSQRASSQTSLGGTICRVCAKRVSTQEDEEQENRSRYQSLVAAYGEAKRQRFLSELAHLEEDVHLARSQARDKLDKYAIQQMMEDKLAWERHTFEERISRAPEILVRLRSHTVWERMSVKLCFTVQGF

Clonality

Polyclonal

Host

Rabbit

Isotype

IgG

Description

Novus Biologicals Rabbit Myomesin 2 Antibody - BSA Free (NBP1-87496) is a polyclonal antibody validated for use in IHC and ICC/IF. All Novus Biologicals antibodies are covered by our 100% guarantee.

Scientific Data Images for Myomesin 2 Antibody - BSA Free

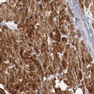
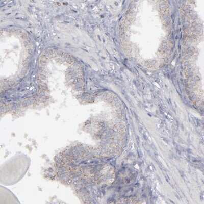
Immunohistochemistry-Paraffin: Myomesin 2 Antibody [NBP1-87496]

Immunohistochemistry-Paraffin: Myomesin 2 Antibody [NBP1-87496]

Immunohistochemistry-Paraffin: Myomesin 2 Antibody [NBP1-87496] - Staining in human heart muscle and prostate tissues using anti-MYOM2 antibody. Corresponding MYOM2 RNA-seq data are presented for the same tissues.
Immunocytochemistry/ Immunofluorescence: Myomesin 2 Antibody [NBP1-87496]

Immunocytochemistry/ Immunofluorescence: Myomesin 2 Antibody [NBP1-87496]

Immunocytochemistry/Immunofluorescence: Myomesin 2 Antibody [NBP1-87496] - Immunofluorescent staining of human cell line HEK 293 shows localization to mitochondria.
Immunohistochemistry-Paraffin: Myomesin 2 Antibody [NBP1-87496]

Immunohistochemistry-Paraffin: Myomesin 2 Antibody [NBP1-87496]

Immunohistochemistry-Paraffin: Myomesin 2 Antibody [NBP1-87496] - Staining of human heart muscle shows high expression.

Applications for Myomesin 2 Antibody - BSA Free

Application
Recommended Usage

Immunocytochemistry/ Immunofluorescence

0.25-2 ug/ml

Immunohistochemistry

1:20 - 1:50

Immunohistochemistry-Paraffin

1:20 - 1:50
Application Notes
For IHC-Paraffin, HIER pH 6 retrieval is recommended. ICC/IF Fixation Permeabilization: Use PFA/Triton X-100.

Formulation, Preparation, and Storage

Purification

Affinity purified

Formulation

PBS (pH 7.2) and 40% Glycerol

Format

BSA Free

Preservative

0.02% Sodium Azide

Concentration

Concentrations vary lot to lot. See vial label for concentration. If unlisted please contact technical services.

Shipping

The product is shipped with polar packs. Upon receipt, store it immediately at the temperature recommended below.

Stability & Storage

Store at 4C short term. Aliquot and store at -20C long term. Avoid freeze-thaw cycles.

Background: Myomesin 2

Myomesin-1 (190 kDa) and myomesin-2 (165 kDa) are components of the vertebrate myofibrillar M band and are associated with Titin, Myosin and Connectin. The myomesin proteins are responsible for the formation of a head structure on one end of the Titin string that connects the Z and M bands of the sarcomere. Myomesin-1 and -2 have unique N-terminal domains and are expressed mainly in skeletal muscle. The gene encoding human myomesin-1 maps to chromosome 18p11.31-p11.32.

Alternate Names

165 kDa connectin-associated protein, 165 kDa titin-associated protein, M-band protein, M-protein, myomesin (M-protein) 2 (165kD), myomesin (M-protein) 2, 165kDa, Myomesin family member 2, myomesin-2, titin-associated protein, 165 kD, TTNAP

Gene Symbol

MYOM2

Additional Myomesin 2 Products

Product Documents for Myomesin 2 Antibody - BSA Free

Certificate of Analysis

To download a Certificate of Analysis, please enter a lot number in the search box below.

Product Specific Notices for Myomesin 2 Antibody - BSA Free

This product is for research use only and is not approved for use in humans or in clinical diagnosis. Primary Antibodies are guaranteed for 1 year from date of receipt.

Loading...
Loading...
Loading...
Loading...