Skip to main content

MYL7 Antibody (OTI4E7)

Novus Biologicals, part of Bio-Techne | Catalog # NBP2-03891

Novus Biologicals, part of Bio-Techne
Catalog #
Availability
Size / Price
Qty
Loading...
NBP2-03891-100ul

Key Product Details

Species Reactivity

Validated:

Human, Mouse, Rat

Cited:

Human

Applications

Validated:

Immunohistochemistry, Immunohistochemistry-Paraffin, Western Blot, Flow Cytometry

Cited:

Western Blot

Label

Unconjugated

Antibody Source

Monoclonal Mouse IgG1 Clone # OTI4E7

Concentration

1 mg/ml

Product Specifications

Immunogen

Full length human recombinant protein of human MYL7 (NP_067046) produced in E.coli.

Reactivity Notes

Please note that this antibody is reactive to Mouse and derived from the same host, Mouse. Mouse-On-Mouse blocking reagent may be needed for IHC and ICC experiments to reduce high background signal. You can find these reagents under catalog numbers PK-2200-NB and MP-2400-NB. Please contact Technical Support if you have any questions.

Clonality

Monoclonal

Host

Mouse

Isotype

IgG1

Theoretical MW

19.3 kDa.
Disclaimer note: The observed molecular weight of the protein may vary from the listed predicted molecular weight due to post translational modifications, post translation cleavages, relative charges, and other experimental factors.

Description

Novus Biologicals Mouse MYL7 Antibody (OTI4E7) (NBP2-03891) is a monoclonal antibody validated for use in IHC, WB and Flow. Anti-MYL7 Antibody: Cited in 1 publication. All Novus Biologicals antibodies are covered by our 100% guarantee.

Scientific Data Images for MYL7 Antibody (OTI4E7)

Western Blot: MYL7 Antibody (OTI4E7) [NBP2-03891]

Western Blot: MYL7 Antibody (OTI4E7) [NBP2-03891]

Western Blot: MYL7 Antibody (4E7) [NBP2-03891] - HEK293T cells were transfected with the pCMV6-ENTRY control (Left lane) or pCMV6-ENTRY MYL7 (Right lane) cDNA for 48 hrs and lysed. Equivalent amounts of cell lysates (5 ug per lane) were separated by SDS-PAGE and immunoblotted with anti-MYL7.
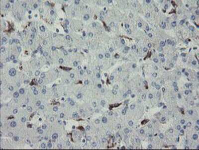
Immunohistochemistry-Paraffin: MYL7 Antibody (4E7) [NBP2-03891] Staining of paraffin-embedded Human liver tissue using anti-MYL7 mouse monoclonal antibody.
Flow Cytometry: MYL7 Antibody (OTI4E7) [NBP2-03891]

Flow Cytometry: MYL7 Antibody (OTI4E7) [NBP2-03891]

Flow Cytometry: MYL7 Antibody (4E7) [NBP2-03891] - HEK293T cells transfected with either overexpression plasmid (Red) or empty vector control plasmid (Blue) were immunostained by anti-MYL7 antibody, and then analyzed by flow cytometry.

Applications for MYL7 Antibody (OTI4E7)

Application
Recommended Usage

Flow Cytometry

1:100

Immunohistochemistry

1:150

Immunohistochemistry-Paraffin

1:150

Western Blot

1:2000

Formulation, Preparation, and Storage

Purification

Immunogen affinity purified

Formulation

PBS (pH 7.3), 1.0% BSA and 50% Glycerol

Preservative

0.02% Sodium Azide

Concentration

1 mg/ml

Shipping

The product is shipped with polar packs. Upon receipt, store it immediately at the temperature recommended below.

Stability & Storage

Store at -20C. Avoid freeze-thaw cycles.

Background: MYL7

Myosins are a large family of motor proteins that share the common features of ATP hydrolysis, actin binding andpotential for kinetic energy transduction. Originally isolated from muscle cells (hence the name), almost alleukaryotic cells are now known to contain myosins. Structurally, mysoins contain a head domain that binds to actinfilaments (microfilaments) and is the site of ATP hydrolysis. The tail domain interacts with cargo molecules, and theneck acts as a linker between the head and tail and is the site of regulatory myosin light chain binding. There are 17myosin families and the most well characterized is myosin II. Myosin II is found predominantly in myocytes andmediates plus-ended movement along microfilaments. It is involved in muscle contraction through cyclic interactionswith actin-rich thin filaments, creating a contractile force. It is regulated by phosphorylation via myosin lightchain kinase (MLCK) and by intracellular Ca2+ concentrations.

Alternate Names

atrial isoform, light polypeptide 7, regulatory, MLC-2a, MYL2A, MYLC2AMLC2a, myosin, light chain 7, regulatory

Entrez Gene IDs

58498 (Human)

Gene Symbol

MYL7

Additional MYL7 Products

Product Documents for MYL7 Antibody (OTI4E7)

Certificate of Analysis

To download a Certificate of Analysis, please enter a lot number in the search box below.

Product Specific Notices for MYL7 Antibody (OTI4E7)

This product is for research use only and is not approved for use in humans or in clinical diagnosis. Primary Antibodies are guaranteed for 1 year from date of receipt.

Loading...
Loading...
Loading...
Loading...
Loading...