Skip to main content

MYL5 Antibody - BSA Free

Novus Biologicals, part of Bio-Techne | Catalog # NBP3-46977

Novus Biologicals, part of Bio-Techne
Catalog #
Availability
Size / Price
Qty
Loading...
NBP3-46977

Key Product Details

Species Reactivity

Human, Mouse

Applications

Immunohistochemistry, Western Blot, ELISA

Label

Unconjugated

Antibody Source

Polyclonal Rabbit IgG

Format

BSA Free

Concentration

Please see the vial label for concentration. If unlisted please contact technical services.

Product Specifications

Immunogen

myosin, light chain 5, regulatory. (Uniprot# Q02045)

Clonality

Polyclonal

Host

Rabbit

Isotype

IgG

Theoretical MW

20 kDa.
Disclaimer note: The observed molecular weight of the protein may vary from the listed predicted molecular weight due to post translational modifications, post translation cleavages, relative charges, and other experimental factors.

Description

Novus Biologicals Rabbit MYL5 Antibody - BSA Free (NBP3-46977) is a polyclonal antibody validated for use in IHC, WB and ELISA. All Novus Biologicals antibodies are covered by our 100% guarantee.

Scientific Data Images for MYL5 Antibody - BSA Free

MYL5 Antibody - BSA Free

Western Blot: MYL5 Antibody - BSA Free [NBP3-46977] -

Western Blot: MYL5 Antibody - BSA Free [NBP3-46977] - Human brain tissue were subjected to SDS PAGE followed by western blot with (MYL5 antibody) at dilution of 1:500
MYL5 Antibody - BSA Free

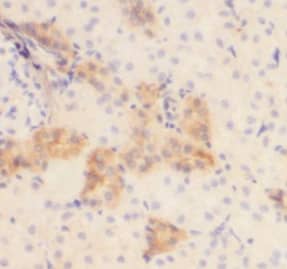
Immunohistochemistry: MYL5 Antibody - BSA Free [NBP3-46977] -

Immunohistochemistry: MYL5 Antibody - BSA Free [NBP3-46977] - Immunohistochemistry of paraffin-embedded mouse kidney tissue slide using (MYL5 antibody) at dilution of 1:200

Applications for MYL5 Antibody - BSA Free

Application
Recommended Usage

Immunohistochemistry

1:50-1:500

Western Blot

1:500-1:1000

Formulation, Preparation, and Storage

Purification

Immunogen affinity purified

Formulation

PBS, 50% Glycerol, pH (7.3)

Format

BSA Free

Preservative

0.02% Sodium Azide

Concentration

Please see the vial label for concentration. If unlisted please contact technical services.

Shipping

The product is shipped with polar packs. Upon receipt, store it immediately at the temperature recommended below.

Stability & Storage

Store at -20C. Avoid freeze-thaw cycles.

Background: MYL5

MYL5 encodes one of the myosin light chains, a component of the hexameric ATPase cellular motor protein myosin. Myosin is composed of two heavy chains, two nonphosphorylatable alkali light chains, and two phosphorylatable regulatory light chains. This gene product, one of the regulatory light chains, is expressed in fetal muscle and in adult retina, cerebellum, and basal ganglia.

Alternate Names

light polypeptide 5, regulatory, MYLC2, myLC-2, myosin light chain 5, Myosin regulatory light chain 5, myosin, light chain 5, regulatory, Superfast myosin regulatory light chain 2

Gene Symbol

MYL5

Additional MYL5 Products

Product Documents for MYL5 Antibody - BSA Free

Certificate of Analysis

To download a Certificate of Analysis, please enter a lot number in the search box below.

Product Specific Notices for MYL5 Antibody - BSA Free

This product is for research use only and is not approved for use in humans or in clinical diagnosis. Primary Antibodies are guaranteed for 1 year from date of receipt.

Loading...
Loading...
Loading...
Loading...