Skip to main content

MYH6 Antibody (CL2155) - Azide and BSA Free

Novus Biologicals, part of Bio-Techne | Catalog # NBP3-44472

Novus Biologicals, part of Bio-Techne

Key Product Details

Validated by

Orthogonal Validation

Species Reactivity

Human

Applications

Immunohistochemistry-Paraffin, Western Blot

Label

Unconjugated

Antibody Source

Monoclonal Mouse IgG1 Clone # CL2155

Format

Azide and BSA Free

Concentration

LYOPH mg/ml

Product Specifications

Immunogen

This antibody was generated using a recombinant protein sequence of P13533, with the exact immunogen sequence remaining proprietary.

Clonality

Monoclonal

Host

Mouse

Isotype

IgG1

Description

Novus Biologicals Mouse MYH6 Antibody (CL2155) - Azide and BSA Free (NBP2-36745) is a monoclonal antibody validated for use in IHC and WB. All Novus Biologicals antibodies are covered by our 100% guarantee.

Scientific Data Images for MYH6 Antibody (CL2155) - Azide and BSA Free

MYH6 Antibody (CL2155) - Azide and BSA Free Immunohistochemistry-Paraffin: MYH6 Antibody [NBP3-44472]

Immunohistochemistry-Paraffin: MYH6 Antibody [NBP3-44472]

Analysis in human heart muscle and liver tissues using NBP3-44472 antibody. Corresponding MYH6 RNA-seq data are presented for the same tissues.
MYH6 Antibody (CL2155) - Azide and BSA Free Western Blot: MYH6 Antibody [NBP3-44472]

Western Blot: MYH6 Antibody [NBP3-44472]

Lane 1: Marker [kDa]
Lane 2: Human skeletal muscle tissue lysate
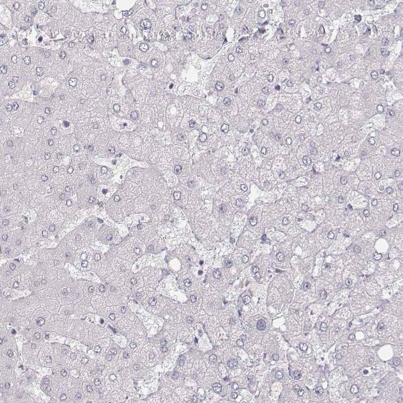
MYH6 Antibody (CL2155) - Azide and BSA Free Immunohistochemistry-Paraffin: MYH6 Antibody [NBP3-44472]

Immunohistochemistry-Paraffin: MYH6 Antibody [NBP3-44472]

Staining of human liver shows no positivity in hepatocytes as expected.

Applications for MYH6 Antibody (CL2155) - Azide and BSA Free

Application
Recommended Usage

Immunohistochemistry-Paraffin

1:5000 - 1:10000

Western Blot

1 ug/ml
Application Notes
For IHC-Paraffin, HIER pH 6 retrieval is recommended.

Formulation, Preparation, and Storage

Purification

Protein A purified

Reconstitution

Centrifuge the vial of lyophilized antibody at 12,000 x g for 20 seconds. Reconstitute by adding sterile, distilled water to achieve a final antibody concentration of 1mg/ml.

Formulation

Lyophilized from a 0.2 um filtered solution in PBS with Trehalose

Format

Azide and BSA Free

Preservative

No Preservative

Concentration

LYOPH mg/ml

Shipping

The product is shipped at ambient temperature. Upon receipt, store it immediately at the temperature recommended below.

Stability & Storage

Store at 4C short term. Aliquot and store at -20C long term. Avoid freeze-thaw cycles.

Background: MYH6

Skeletal muscle Myosin or Myosin II is the motor protein that generates force to drive muscle contraction. It is a 520 kDa hexamer comprised of two heavy chains and four light chains. Myosin heavy chain is 220 kDa in size and consists of a long coiled-coil domain tail that mediates dimerization of the two heavy chains and a globular head region that mediates ATP-dependent sliding of actin filaments. Myosin heavy chain can be proteolytically cleaved to produce heavy meromyosin, which includes the S1 motor domain (head region) and first third of the coiled coil domain, and light meromyosin, which includes the C-terminal two thirds of the coiled coil domain.

Long Name

Myosin Heavy Chain 6, Cardiac Muscle, Alpha

Alternate Names

alpha-MHC, ASD3, CMD1EE, CMH14, MyHC-Alpha, MYHCA, Myosin-6, SSS3

Gene Symbol

MYH6

Additional MYH6 Products

Product Documents for MYH6 Antibody (CL2155) - Azide and BSA Free

Certificate of Analysis

To download a Certificate of Analysis, please enter a lot number in the search box below.

Product Specific Notices for MYH6 Antibody (CL2155) - Azide and BSA Free

This product is for research use only and is not approved for use in humans or in clinical diagnosis. Primary Antibodies are guaranteed for 1 year from date of receipt.

Loading...
Loading...
Loading...
Loading...
Loading...