Skip to main content

MyD88 Antibody - BSA Free

Novus Biologicals, part of Bio-Techne | Catalog # NBP2-19448

Novus Biologicals, part of Bio-Techne
Catalog #
Availability
Size / Price
Qty
Loading...
NBP2-19448

Key Product Details

Species Reactivity

Validated:

Human, Mouse

Predicted:

Chimpanzee (99%), Rhesus Macaque (99%). Backed by our 100% Guarantee.

Applications

Immunohistochemistry, Immunohistochemistry-Paraffin, Immunohistochemistry-Frozen, Western Blot

Label

Unconjugated

Antibody Source

Polyclonal Rabbit IgG

Format

BSA Free

Concentration

Concentrations vary lot to lot. See vial label for concentration. If unlisted please contact technical services.

Product Specifications

Immunogen

Recombinant protein encompassing a sequence within the center region of human MyD88. The exact sequence is proprietary.

Reactivity Notes

Rat (81%), Pig (86%), Sheep (83%), Bovine (84%).

Localization

Cytoplasm

Clonality

Polyclonal

Host

Rabbit

Isotype

IgG

Theoretical MW

33 kDa.
Disclaimer note: The observed molecular weight of the protein may vary from the listed predicted molecular weight due to post translational modifications, post translation cleavages, relative charges, and other experimental factors.

Description

Novus Biologicals Rabbit MyD88 Antibody - BSA Free (NBP2-19448) is a polyclonal antibody validated for use in IHC and WB. All Novus Biologicals antibodies are covered by our 100% guarantee.

Scientific Data Images for MyD88 Antibody - BSA Free

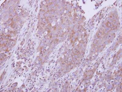
Immunohistochemistry-Paraffin: MyD88 Antibody [NBP2-19448]

Immunohistochemistry-Paraffin: MyD88 Antibody [NBP2-19448]

Immunohistochemistry-Paraffin: MyD88 Antibody [NBP2-19448] - Human lung papillory cancer, using MYD88 antibody at 1:500 dilution. Antigen Retrieval: Trilogy™ (EDTA based, pH 8.0) buffer, 15min.
MyD88 Antibody - BSA Free

Western Blot: MyD88 Antibody [NBP2-19448] -

Various whole cell extracts (30 ug) were separated by 12% SDS-PAGE, and the membrane was blotted with MyD88 antibody (NBP2-19448) diluted at 1:5000. The HRP-conjugated anti-rabbit IgG antibody was used to detect the primary antibody. Corresponding RNA expression data for the same cell lines are based on Human Protein Atlas program.
MyD88 Antibody - BSA Free

Western Blot: MyD88 Antibody [NBP2-19448] -

Non-transfected (-) and transfected (+) 293T whole cell extracts (30 ug) were separated by 12% SDS-PAGE, and the membrane was blotted with MyD88 antibody (NBP2-19448) diluted at 1:5000. The HRP-conjugated anti-rabbit IgG antibody was used to detect the primary antibody.

Applications for MyD88 Antibody - BSA Free

Application
Recommended Usage

Immunohistochemistry

1:100-1:1000

Immunohistochemistry-Paraffin

1:100-1:1000

Western Blot

1:1000-1:10000
Application Notes
IHC-FR, assay dependent.

Formulation, Preparation, and Storage

Purification

Antigen Affinity-purified

Formulation

PBS, 20% Glycerol

Format

BSA Free

Preservative

0.025% Proclin 300

Concentration

Concentrations vary lot to lot. See vial label for concentration. If unlisted please contact technical services.

Shipping

The product is shipped with polar packs. Upon receipt, store it immediately at the temperature recommended below.

Stability & Storage

Aliquot and store at -20C or -80C. Avoid freeze-thaw cycles.

Background: MyD88

Myeloid differentiation Marker 88 (MyD88) is a universal adaptor molecule for the Toll/IL1R and is involved in the inflammatory response induced by IL1, IL18 and LPS. MyD88 associates with and recruits IRAK to IL1 receptor complex in response to IL1. This pathway further leads to activation of NFkB. Targeted disruption of the MyD88 gene results in lose of cellular responses to IL1 and IL18, and MyD88 deficient mice lack responses to bacterial product LPS that employs Toll like receptors 2 and 4 as the signaling receptors.

Long Name

Myeloid Differentiation Primary Response Gene 88

Alternate Names

MYD88D, myeloid differentiation primary response gene (88), myeloid differentiation primary response protein MyD88

Gene Symbol

MYD88

UniProt

Additional MyD88 Products

Product Documents for MyD88 Antibody - BSA Free

Certificate of Analysis

To download a Certificate of Analysis, please enter a lot number in the search box below.

Product Specific Notices for MyD88 Antibody - BSA Free

This product is for research use only and is not approved for use in humans or in clinical diagnosis. Primary Antibodies are guaranteed for 1 year from date of receipt.

Loading...
Loading...
Loading...
Loading...

⚠ WARNING: This product can expose you to chemicals including mercury, which is known to the State of California to cause reproductive toxicity with developmental effects.  For more information go to www.P65Warnings.ca.gov.