Skip to main content

MyD88 Antibody - BSA Free

Novus Biologicals, part of Bio-Techne | Catalog # NB100-56698

Novus Biologicals, part of Bio-Techne

Key Product Details

Validated by

Biological Validation

Species Reactivity

Validated:

Human, Mouse, Rat, Chicken

Cited:

Human, Mouse, Rat, Avian - Chicken, Bovine

Predicted:

Bovine (100%), Equine (100%), Fish (93%), Guinea Pig (94%), Porcine (100%), Primate (100%), Sheep (100%), Xenopus (93%), Zebrafish (93%). Backed by our 100% Guarantee.

Applications

Validated:

Immunohistochemistry, Immunohistochemistry-Paraffin, Western Blot, Immunocytochemistry/ Immunofluorescence

Cited:

Immunohistochemistry, Immunohistochemistry-Paraffin, Western Blot, Immunocytochemistry/ Immunofluorescence, IF/IHC

Label

Unconjugated

Antibody Source

Polyclonal Rabbit IgG

Format

BSA Free

Concentration

1.0 mg/ml

Product Specifications

Immunogen

A synthetic peptide corresponding to human MyD88 (between amino acids 200-270).

Reactivity Notes

Chicken reactivity reported in scientific literature (PMID: 31437523).

Localization

Cytoplasm

Specificity

Because of high sequence homology, this antibody is expected to detect multiple isoforms of MyD88 protein.

Clonality

Polyclonal

Host

Rabbit

Isotype

IgG

Description

Novus Biologicals Rabbit MyD88 Antibody - BSA Free (NB100-56698) is a polyclonal antibody validated for use in IHC, WB and ICC/IF. Anti-MyD88 Antibody: Cited in 23 publications. All Novus Biologicals antibodies are covered by our 100% guarantee.

Scientific Data Images for MyD88 Antibody - BSA Free

Western Blot: MyD88 AntibodyBSA Free [NB100-56698]

Western Blot: MyD88 AntibodyBSA Free [NB100-56698]

MyD88-Antibody-Western-Blot-NB100-56698-img0007.jpg
Immunocytochemistry/ Immunofluorescence: MyD88 Antibody - BSA Free [NB100-56698]

Immunocytochemistry/ Immunofluorescence: MyD88 Antibody - BSA Free [NB100-56698]

Immunocytochemistry/Immunofluorescence: MyD88 Antibody [NB100-56698] - Raw264.7 cells were fixed for 10 minutes using 10% formalin and then permeabilized for 5 minutes using 1X PBS + 0.5% Triton-X100. The cells were incubated with anti-MyD88 at 2 ug/ml overnight at 4C and detected with an anti-rabbit Dylight 488 (Green) at a 1:500 dilution. Alpha tubulin (DM1A) NB100-690 was used as a co-stain at a 1:1000 dilution and detected with an anti-mouse Dylight 550 (Red) at a 1:500 dilution. Nuclei were counterstained with DAPI (Blue). Cells were imaged using a 40X objective.
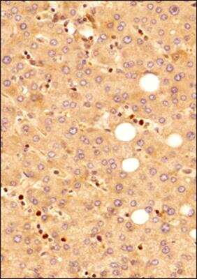
Immunohistochemistry-Paraffin: MyD88 Antibody - BSA Free [NB100-56698]

Immunohistochemistry-Paraffin: MyD88 Antibody - BSA Free [NB100-56698]

Immunohistochemistry-Paraffin: MyD88 Antibody [NB100-56698] - Tissue section of human liver using at 1:100 dilution. This antibody generated a very specific cytoplasmic staining in the hepatocytes as well as the Kupffer cells (hepatic macrophages), and the latter showed the most intense staining among all other cell types in the section.

Applications for MyD88 Antibody - BSA Free

Application
Recommended Usage

Immunocytochemistry/ Immunofluorescence

1:100

Immunohistochemistry

2-5 ug/ml

Immunohistochemistry-Paraffin

2-5 ug/ml

Western Blot

0.5-2 ug/ml

Formulation, Preparation, and Storage

Purification

Immunogen affinity purified

Formulation

PBS

Format

BSA Free

Preservative

0.02% Sodium Azide

Concentration

1.0 mg/ml

Shipping

The product is shipped with polar packs. Upon receipt, store it immediately at the temperature recommended below.

Stability & Storage

Store at 4C short term. Aliquot and store at -20C long term. Avoid freeze-thaw cycles.

Background: MyD88

MyD88, a protein involved in interleukin-1 (IL-1) mediated signalling was originally isolated as myeloid differentiation primary response gene (3,4). MyD88 possesses a N-terminal death domain similar to cytoplasmic segments of TNF receptor 1, Fas, and C-terminal region related to IL-1 and Toll receptors. Overexpression of MyD88 induces activation the c-Jun N-terminal kinase and NF-kB through its death domain (1,2). The C-terminus of MyD88 interacts with the IL-1 receptor and blocks NF-kB activation induced by IL-1, but not by NF-kB.

Long Name

Myeloid Differentiation Primary Response Gene 88

Alternate Names

MYD88D, myeloid differentiation primary response gene (88), myeloid differentiation primary response protein MyD88

Entrez Gene IDs

4615 (Human); 17874 (Mouse); 301059 (Rat)

Gene Symbol

MYD88

UniProt

Additional MyD88 Products

Product Documents for MyD88 Antibody - BSA Free

Certificate of Analysis

To download a Certificate of Analysis, please enter a lot number in the search box below.

Product Specific Notices for MyD88 Antibody - BSA Free

This product is for research use only and is not approved for use in humans or in clinical diagnosis. Primary Antibodies are guaranteed for 1 year from date of receipt.

Loading...
Loading...
Loading...
Loading...