Skip to main content

MYCBP Antibody - BSA Free

Novus Biologicals, part of Bio-Techne | Catalog # NBP3-46989

Novus Biologicals, part of Bio-Techne
Catalog #
Availability
Size / Price
Qty
Loading...
NBP3-46989

Key Product Details

Species Reactivity

Human, Mouse, Rat

Applications

Immunohistochemistry, Western Blot, ELISA, Immunocytochemistry/ Immunofluorescence

Label

Unconjugated

Antibody Source

Polyclonal Rabbit IgG

Format

BSA Free

Concentration

Please see the vial label for concentration. If unlisted please contact technical services.

Product Specifications

Immunogen

c-myc binding protein. (Uniprot# Q99417)

Clonality

Polyclonal

Host

Rabbit

Isotype

IgG

Theoretical MW

12 kDa.
Disclaimer note: The observed molecular weight of the protein may vary from the listed predicted molecular weight due to post translational modifications, post translation cleavages, relative charges, and other experimental factors.

Description

Novus Biologicals Rabbit MYCBP Antibody - BSA Free (NBP3-46989) is a polyclonal antibody validated for use in IHC, WB, ELISA and ICC/IF. All Novus Biologicals antibodies are covered by our 100% guarantee.

Scientific Data Images for MYCBP Antibody - BSA Free

MYCBP Antibody - BSA Free

Western Blot: MYCBP Antibody - BSA Free [NBP3-46989] -

Western Blot: MYCBP Antibody - BSA Free [NBP3-46989] - Human heart tissue were subjected to SDS PAGE followed by western blot with (MYCBP antibody) at dilution of 1:500
MYCBP Antibody - BSA Free

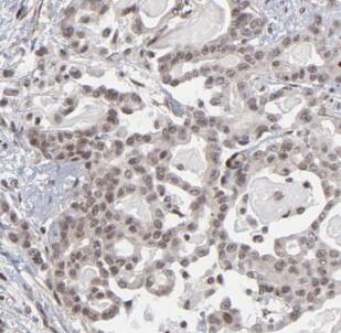
Immunohistochemistry: MYCBP Antibody - BSA Free [NBP3-46989] -

Immunohistochemistry: MYCBP Antibody - BSA Free [NBP3-46989] - Immunohistochemistry of paraffin-embedded human pancreas cancer using (MYCBP antibody) at dilution of 1:50

Applications for MYCBP Antibody - BSA Free

Application
Recommended Usage

Immunocytochemistry/ Immunofluorescence

1:20-1:200

Immunohistochemistry

1:20-1:200

Western Blot

1:500-1:2000

Formulation, Preparation, and Storage

Purification

Immunogen affinity purified

Formulation

PBS, 50% Glycerol, pH (7.3)

Format

BSA Free

Preservative

0.02% Sodium Azide

Concentration

Please see the vial label for concentration. If unlisted please contact technical services.

Shipping

The product is shipped with polar packs. Upon receipt, store it immediately at the temperature recommended below.

Stability & Storage

Store at -20C. Avoid freeze-thaw cycles.

Background: MYCBP

The MYCBP gene encodes a protein that binds to the N-terminal region of MYC (MIM 190080) and stimulates the activation of E box-dependent transcription by MYC.(supplied by OMIM)

Alternate Names

AMY-1AMY1, Associate of Myc 1, associate of myc-1, c-myc binding protein, C-Myc-binding protein, FLJ41056

Gene Symbol

MYCBP

Additional MYCBP Products

Product Documents for MYCBP Antibody - BSA Free

Certificate of Analysis

To download a Certificate of Analysis, please enter a lot number in the search box below.

Product Specific Notices for MYCBP Antibody - BSA Free

This product is for research use only and is not approved for use in humans or in clinical diagnosis. Primary Antibodies are guaranteed for 1 year from date of receipt.

Loading...
Loading...
Loading...
Loading...