Skip to main content

MYCBP Antibody - Azide and BSA Free

Novus Biologicals, part of Bio-Techne | Catalog # NBP2-93175

Novus Biologicals, part of Bio-Techne
Catalog #
Availability
Size / Price
Qty
Loading...
NBP2-93175-0.02ml
NBP2-93175-0.1ml

Key Product Details

Species Reactivity

Human

Applications

Immunohistochemistry, Immunohistochemistry-Paraffin, Western Blot

Label

Unconjugated

Antibody Source

Polyclonal Rabbit IgG

Format

Azide and BSA Free

Concentration

Please see the vial label for concentration. If unlisted please contact technical services.

Product Specifications

Immunogen

Recombinant fusion protein containing a sequence corresponding to amino acids 1-103 of human MYCBP (NP_036465.2). MAHYKAADSKREQFRRYLEKSGVLDTLTKVLVALYEEPEKPNSALDFLKHHLGAATPENPEIELLRLELAEMKEKYEAIVEENKKLKAKLAQYEPPQEEKRAE

Clonality

Polyclonal

Host

Rabbit

Isotype

IgG

Theoretical MW

11 kDa.
Disclaimer note: The observed molecular weight of the protein may vary from the listed predicted molecular weight due to post translational modifications, post translation cleavages, relative charges, and other experimental factors.

Description

Novus Biologicals Rabbit MYCBP Antibody - Azide and BSA Free (NBP2-93175) is a polyclonal antibody validated for use in IHC and WB. All Novus Biologicals antibodies are covered by our 100% guarantee.

Scientific Data Images for MYCBP Antibody - Azide and BSA Free

Western Blot: MYCBP AntibodyAzide and BSA Free [NBP2-93175]

Western Blot: MYCBP AntibodyAzide and BSA Free [NBP2-93175]

Western Blot: MYCBP Antibody [NBP2-93175] - Analysis of extracts of various cell lines, using MYCBP antibody at 1:3000 dilution.Secondary antibody: HRP Goat Anti-Rabbit IgG (H+L) at 1:10000 dilution.Lysates/proteins: 25ug per lane. Blocking buffer: 3% nonfat dry milk in TBST.Detection: ECL Enhanced Kit. Exposure time: 90s.
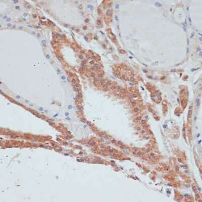
Immunohistochemistry-Paraffin: MYCBP Antibody - Azide and BSA Free [NBP2-93175]

Immunohistochemistry-Paraffin: MYCBP Antibody - Azide and BSA Free [NBP2-93175]

Immunohistochemistry-Paraffin: MYCBP Antibody [NBP2-93175] - Human thyroid cancer using MYCBP antibody at dilution of 1:100 (40x lens).
Immunohistochemistry-Paraffin: MYCBP Antibody - Azide and BSA Free [NBP2-93175]

Immunohistochemistry-Paraffin: MYCBP Antibody - Azide and BSA Free [NBP2-93175]

Immunohistochemistry-Paraffin: MYCBP Antibody [NBP2-93175] - Human placenta using MYCBP antibody at dilution of 1:100 (40x lens).

Applications for MYCBP Antibody - Azide and BSA Free

Application
Recommended Usage

Immunohistochemistry

1:100-1:200

Western Blot

1:500-1:2000

Formulation, Preparation, and Storage

Purification

Affinity purified

Formulation

PBS (pH 7.3), 50% glycerol

Format

Azide and BSA Free

Preservative

0.01% Thimerosal

Concentration

Please see the vial label for concentration. If unlisted please contact technical services.

Shipping

The product is shipped with polar packs. Upon receipt, store it immediately at the temperature recommended below.

Stability & Storage

Store at -20C. Avoid freeze-thaw cycles.

Background: MYCBP

The MYCBP gene encodes a protein that binds to the N-terminal region of MYC (MIM 190080) and stimulates the activation of E box-dependent transcription by MYC.(supplied by OMIM)

Alternate Names

AMY-1AMY1, Associate of Myc 1, associate of myc-1, c-myc binding protein, C-Myc-binding protein, FLJ41056

Gene Symbol

MYCBP

Additional MYCBP Products

Product Documents for MYCBP Antibody - Azide and BSA Free

Certificate of Analysis

To download a Certificate of Analysis, please enter a lot number in the search box below.

Product Specific Notices for MYCBP Antibody - Azide and BSA Free

This product is for research use only and is not approved for use in humans or in clinical diagnosis. Primary Antibodies are guaranteed for 1 year from date of receipt.

Loading...
Loading...
Loading...
Loading...

⚠ WARNING: This product can expose you to chemicals including Methotrexate, which is known to the State of California to cause reproductive toxicity with developmental effects. For more information, go to www.P65Warnings.ca.gov