Skip to main content

MYBBP1A Antibody - BSA Free

Novus Biologicals, part of Bio-Techne | Catalog # NBP3-38094

Novus Biologicals, part of Bio-Techne
Catalog #
Availability
Size / Price
Qty
Loading...
NBP3-38094-20ul
NBP3-38094-100ul

Key Product Details

Species Reactivity

Human, Mouse, Rat

Applications

ELISA, Immunocytochemistry/ Immunofluorescence, Immunohistochemistry, Immunohistochemistry-Paraffin, Western Blot

Label

Unconjugated

Antibody Source

Polyclonal Rabbit IgG

Format

BSA Free

Concentration

Please see the vial label for concentration. If unlisted please contact technical services.

Product Specifications

Immunogen

Recombinant fusion protein containing a sequence corresponding to amino acids 1104-1328 of human MYBBP1A (NP_055335.2).

Sequence:
DLTVLLGVLQGQQQSLQQGAHSTGSSRLHDLYWQAMKTLGVQRPKLEKKDAKEIPSATQSPISKKRKKKGFLPETKKRKKRKSEDGTPAEDGTPAATGGSQPPSMGRKKRNRTKAKVPAQANGTPTTKSPAPGAPTRSPSTPAKSPKLQKKNQKPSQVNGAPGSPTEPAGQKQHQKALPKKGVLGKSPLSALARKKARLSLVIRSPSLLQSGAKKKAQVRKAGKP

Clonality

Polyclonal

Host

Rabbit

Isotype

IgG

Theoretical MW

149 kDa.
Disclaimer note: The observed molecular weight of the protein may vary from the listed predicted molecular weight due to post translational modifications, post translation cleavages, relative charges, and other experimental factors.

Description

Novus Biologicals Rabbit MYBBP1A Antibody - BSA Free (NBP3-38094) is a polyclonal antibody validated for use in IHC, WB, ELISA and ICC/IF. All Novus Biologicals antibodies are covered by our 100% guarantee.

Scientific Data Images for MYBBP1A Antibody - BSA Free

MYBBP1A Antibody

Immunohistochemistry: MYBBP1A Antibody [NBP3-38094] -

Immunohistochemistry: MYBBP1A Antibody [NBP3-38094] - Immunohistochemistry analysis of paraffin-embedded Rat lung using MYBBP1A Rabbit pAb at dilution of 1:100 (40x lens). High pressure antigen retrieval performed with 0.01M Citrate Bufferr (pH 6.0) prior to IHC staining.
MYBBP1A Antibody

Western Blot: MYBBP1A Antibody [NBP3-38094] -

Western Blot: MYBBP1A Antibody [NBP3-38094] - Western blot analysis of various lysates using MYBBP1A Rabbit pAb at 1:1000 dilution.
Secondary antibody: HRP-conjugated Goat anti-Rabbit IgG (H+L) at 1:10000 dilution.
Lysates/proteins: 25ug per lane.
Blocking buffer: 3% nonfat dry milk in TBST.
Detection: ECL Basic Kit.
Exposure time: 60s.
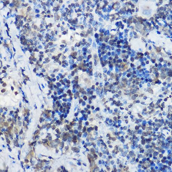
MYBBP1A Antibody

Immunohistochemistry: MYBBP1A Antibody [NBP3-38094] -

Immunohistochemistry: MYBBP1A Antibody [NBP3-38094] - Immunohistochemistry analysis of paraffin-embedded Rat spleen using MYBBP1A Rabbit pAb at dilution of 1:100 (40x lens). High pressure antigen retrieval performed with 0.01M Citrate Bufferr (pH 6.0) prior to IHC staining.

Applications for MYBBP1A Antibody - BSA Free

Application
Recommended Usage

Immunocytochemistry/ Immunofluorescence

1:50 - 1:200

Immunohistochemistry-Paraffin

1:50 - 1:200

Western Blot

1:500 - 1:2000

Formulation, Preparation, and Storage

Purification

Affinity purified

Formulation

PBS (pH 7.3), 50% glycerol

Format

BSA Free

Preservative

0.02% Sodium Azide

Concentration

Please see the vial label for concentration. If unlisted please contact technical services.

Shipping

The product is shipped with polar packs. Upon receipt, store it immediately at the temperature recommended below.

Stability & Storage

Store at -20C. Avoid freeze-thaw cycles.

Background: MYBBP1A

Myb binding protein 1a (MYBBP1a) was originally isolated as a c-Myb interacting protein but has been found to associate with a number of transcription factors. MYBBP1a has been shown to activate or repress transcription through its interaction with transcriptional regulators such as AHR, jun, c-Myb, NF-kappaB, and PGC-1alpha.

Alternate Names

MYB binding protein (P160) 1a, myb-binding protein 1A, P160FLJ37886, p53-activated protein-2, PAP2

Gene Symbol

MYBBP1A

Additional MYBBP1A Products

Product Documents for MYBBP1A Antibody - BSA Free

Certificate of Analysis

To download a Certificate of Analysis, please enter a lot number in the search box below.

Product Specific Notices for MYBBP1A Antibody - BSA Free

This product is for research use only and is not approved for use in humans or in clinical diagnosis. Primary Antibodies are guaranteed for 1 year from date of receipt.

Loading...
Loading...
Loading...
Loading...