Skip to main content

MxA/Mx1 Antibody (MX1/7530)

Novus Biologicals, part of Bio-Techne | Catalog # NBP3-26823

Novus Biologicals, part of Bio-Techne
Catalog #
Availability
Size / Price
Qty
Loading...
NBP3-26823-20ug
NBP3-26823-100ug

Key Product Details

Species Reactivity

Human

Applications

Immunohistochemistry-Paraffin

Label

Unconjugated

Antibody Source

Monoclonal Mouse IgG2 kappa Clone # MX1/7530

Concentration

0.2 mg/ml

Product Specifications

Immunogen

Recombinant fragment (around aa400-592) of human MxA/Mx1 protein (exact sequence is proprietary)

Localization

Cytoplasm

Clonality

Monoclonal

Host

Mouse

Isotype

IgG2 kappa

Description

Antibody with azide - store at 2 to 8C. Antibody without azide - store at -20 to -80C. Non-hazardous. No MSDS required.

Scientific Data Images for MxA/Mx1 Antibody (MX1/7530)

MxA/Mx1 Antibody (MX1/7530)

Immunohistochemistry-Paraffin: MxA/Mx1 Antibody (MX1/7530) [NBP3-26823 ] -

IHC analysis of formalin-fixed, paraffin-embedded human ovarian cancer. MxA/Mx1 Antibody (MX1/7530). Inset: PBS instead of primary antibody; secondary only negative control.
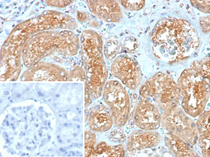
MxA/Mx1 Antibody (MX1/7530)

Immunohistochemistry-Paraffin: MxA/Mx1 Antibody (MX1/7530) [NBP3-26823 ] -

IHC analysis of formalin-fixed, paraffin-embedded human kidney. MxA/Mx1 Antibody (MX1/7530). Inset: PBS instead of primary antibody; secondary only negative control.

Applications for MxA/Mx1 Antibody (MX1/7530)

Application
Recommended Usage

Immunohistochemistry-Paraffin

1-2ug/ml for 30 minutes at RT
Application Notes
Immunohistochemistry-Paraffin 1-2ug/ml for 30 minutes at RT. Optimal dilution for a specific application should be determined.. Staining of formalin-fixed tissues requires heating tissue sections in 10mM Tris with 1mM EDTA, pH 9.0, for 45 min at 95C followed by cooling at RT for 20 minutes

Formulation, Preparation, and Storage

Purification

Protein A or G purified

Formulation

10mM PBS with 0.05% BSA

Preservative

0.05% Sodium Azide

Concentration

0.2 mg/ml

Shipping

The product is shipped with polar packs. Upon receipt, store it immediately at the temperature recommended below.

Stability & Storage

Store at 4C.

Background: MxA/Mx1

In mouse, the interferon-inducible Mx protein is responsible for a specific antiviral state against influenza virus infection. The protein encoded by this gene is similar to the mouse protein as determined by its antigenic relatedness, induction conditions, physicochemical properties, and amino acid analysis. This cytoplasmic protein is a member of both the dynamin family and the family of large GTPases. [provided by RefSeq]

Long Name

Interferon-regulated Resistance GTP-binding protein MxA

Alternate Names

IFI-78K, IFI78, Mx1

Gene Symbol

MX1

Additional MxA/Mx1 Products

Product Documents for MxA/Mx1 Antibody (MX1/7530)

Certificate of Analysis

To download a Certificate of Analysis, please enter a lot number in the search box below.

Product Specific Notices for MxA/Mx1 Antibody (MX1/7530)

This product is for research use only and is not approved for use in humans or in clinical diagnosis. Primary Antibodies are guaranteed for 1 year from date of receipt.

Loading...
Loading...
Loading...
Loading...