Skip to main content

Muscarinic Acetylcholine Receptor M1/CHRM1 Antibody (HL3933)

Novus Biologicals, part of Bio-Techne | Catalog # NBP3-48854

Recombinant Monoclonal Antibody
Novus Biologicals, part of Bio-Techne
Catalog #
Availability
Size / Price
Qty
Loading...
NBP3-48854

Key Product Details

Validated by

Orthogonal Validation

Species Reactivity

Mouse, Rat

Applications

Western Blot

Label

Unconjugated

Antibody Source

Recombinant Monoclonal Rabbit IgG Clone # HL3933

Concentration

Concentrations vary lot to lot. See vial label for concentration. If unlisted please contact technical services.

Product Specifications

Immunogen

Synthetic peptide encompassing a sequence within the Intracellular domain of human Muscarinic Acetylcholine Receptor M1/CHRM1. The exact sequence is proprietary.

Clonality

Monoclonal

Host

Rabbit

Isotype

IgG

Description

Novus Biologicals Rabbit Muscarinic Acetylcholine Receptor M1/CHRM1 Antibody (HL3933) (NBP3-48854) is a recombinant monoclonal antibody validated for use in WB. All Novus Biologicals antibodies are covered by our 100% guarantee.

Scientific Data Images for Muscarinic Acetylcholine Receptor M1/CHRM1 Antibody (HL3933)

Muscarinic Acetylcholine Receptor M1/CHRM1 Antibody (HL3933)

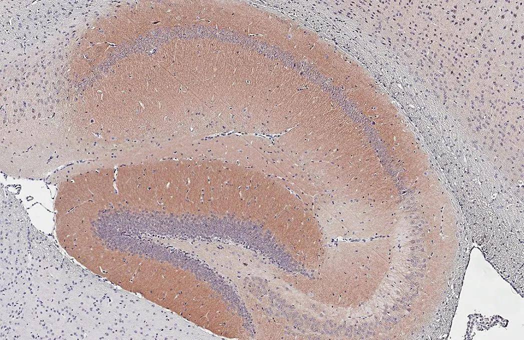
Immunohistochemistry-Paraffin: Muscarinic Acetylcholine Receptor M1/CHRM1 Antibody (HL3933) [NBP3-48854] -

Muscarinic Acetylcholine Receptor M1/CHRM1 antibody [HL3933] detects Muscarinic Acetylcholine Receptor M1/CHRM1 protein by immunohistochemical analysis.
Sample: Paraffin-embedded rat tissues.
Muscarinic Acetylcholine Receptor M1/CHRM1 stained by Muscarinic Acetylcholine Receptor M1/CHRM1 antibody [HL3933] (NBP3-48854) diluted at 1:200.
Antigen Retrieval: Tris-EDTA buffer, pH 9.0, 15 min
Muscarinic Acetylcholine Receptor M1/CHRM1 Antibody (HL3933)

Immunohistochemistry-Paraffin: Muscarinic Acetylcholine Receptor M1/CHRM1 Antibody (HL3933) [NBP3-48854] -

Muscarinic Acetylcholine Receptor M1/CHRM1 antibody [HL3933] detects Muscarinic Acetylcholine Receptor M1/CHRM1 protein by immunohistochemical analysis.
Sample: Paraffin-embedded mouse striatum.
Green: Muscarinic Acetylcholine Receptor M1/CHRM1 stained by Muscarinic Acetylcholine Receptor M1/CHRM1 antibody [HL3933] (NBP3-48854) diluted at 1:250.
Red: beta Tubulin 3/ Tuj1 antibody [GT11710] diluted at 1:500.
Blue: Hoechst 33342 staining.
Antigen Retrieval: Tris-EDTA buffer, pH 9.0, 15 min
Muscarinic Acetylcholine Receptor M1/CHRM1 Antibody (HL3933)

Western Blot: Muscarinic Acetylcholine Receptor M1/CHRM1 Antibody (HL3933) [NBP3-48854] -

Unboiled rat tissue extract (50 ug) was separated by 10% SDS-PAGE, and the membrane was blotted with Muscarinic Acetylcholine Receptor M1/CHRM1 antibody [HL3933] (NBP3-48854) diluted at 1:1000. The HRP-conjugated anti-rabbit IgG antibody was used to detect the primary antibody.

Applications for Muscarinic Acetylcholine Receptor M1/CHRM1 Antibody (HL3933)

Application
Recommended Usage

Western Blot

Optimal dilutions of this antibody should be experimentally determined.

Formulation, Preparation, and Storage

Purification

Protein A purified

Formulation

PBS

Preservative

No Preservative

Concentration

Concentrations vary lot to lot. See vial label for concentration. If unlisted please contact technical services.

Shipping

The product is shipped with polar packs. Upon receipt, store it immediately at the temperature recommended below.

Stability & Storage

Store at 4C short term. Aliquot and store at -20C long term. Avoid freeze-thaw cycles.

Background: CHRM1

The muscarinic cholinergic receptors belong to a larger family of G protein-coupled receptors. The functional diversity of these receptors is defined by the binding of acetylcholine and includes cellular responses such as adenylate cyclase inhibition, phosphoinositide degeneration, and potassium channel mediation. Muscarinic receptors influence many effects of acetylcholine in the central and peripheral nervous system. The muscarinic cholinergic receptor 1 is involved in mediation of vagally-induced bronchoconstriction and in the acid secretion of the gastrointestinal tract. The gene encoding this receptor is localized to 11q13.

Long Name

Cholinergic Receptor Muscarinic 1

Alternate Names

HM1, M1, M1R, mAChR M1

Gene Symbol

CHRM1

Additional CHRM1 Products

Product Documents for Muscarinic Acetylcholine Receptor M1/CHRM1 Antibody (HL3933)

Certificate of Analysis

To download a Certificate of Analysis, please enter a lot number in the search box below.

Product Specific Notices for Muscarinic Acetylcholine Receptor M1/CHRM1 Antibody (HL3933)

This product is for research use only and is not approved for use in humans or in clinical diagnosis. Primary Antibodies are guaranteed for 1 year from date of receipt.

Loading...
Loading...
Loading...
Loading...