Skip to main content

Musashi-2 Antibody - BSA Free

Novus Biologicals, part of Bio-Techne | Catalog # NBP2-52978

Novus Biologicals, part of Bio-Techne
Catalog #
Availability
Size / Price
Qty
Loading...
NBP2-52978
NBP2-52978SS
Conjugate
Catalog #

Key Product Details

Species Reactivity

Validated:

Human, Mouse

Cited:

Mouse

Applications

Validated:

Immunohistochemistry, Immunohistochemistry-Paraffin, Western Blot, Immunocytochemistry/ Immunofluorescence

Cited:

Western Blot

Label

Unconjugated

Antibody Source

Polyclonal Rabbit IgG

Format

BSA Free

Concentration

1.0 mg/ml

Product Specifications

Immunogen

Full length recombinant human Mushashi 2 protein [UniProt B4DHE8]

Clonality

Polyclonal

Host

Rabbit

Isotype

IgG

Scientific Data Images for Musashi-2 Antibody - BSA Free

Western Blot: Musashi-2 AntibodyBSA Free [NBP2-52978]

Western Blot: Musashi-2 AntibodyBSA Free [NBP2-52978]

Western Blot: Musashi-2 Antibody [NBP2-52978] - Total protein from HeLa, Neuro2A and SH-SY5Y cells was separated on a 12% gel by SDS-PAGE, transferred to PVDF membrane and blocked in 5% non-fat milk in TBST. The membrane was probed with 1.0 ug/ml anti-MS12 in 1% milk, and detected with an anti-rabbit HRP secondary antibody using chemiluminescence.
Immunocytochemistry/ Immunofluorescence: Musashi-2 Antibody - BSA Free [NBP2-52978]

Immunocytochemistry/ Immunofluorescence: Musashi-2 Antibody - BSA Free [NBP2-52978]

Immunocytochemistry/Immunofluorescence: Musashi-2 Antibody [NBP2-52978] - HeLa cells were fixed for 10 minutes using 10% formalin and then permeabilized for 5 minutes using 1X TBS + 0.5% Triton-X100. The cells were incubated with anti-MSI2 at a 1:200 dilution overnight at 4C and detected with an anti-rabbit Dylight 488 (Green) at a 1:500 dilution. Alpha tubulin (DM1A) NB100-690 was used as a co-stain at a 1:1000 dilution and detected with an anti-mouse Dylight 550 (Red) at a 1:500 dilution. Nuclei were counterstained with DAPI (Blue). Cells were imaged using a 40X objective.
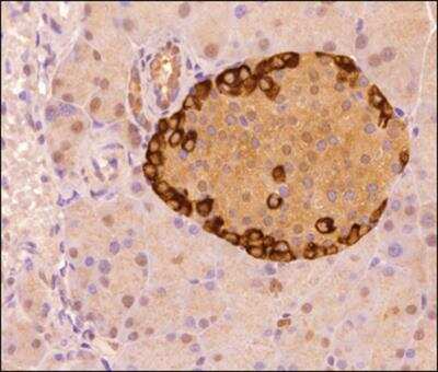
Immunohistochemistry-Paraffin: Musashi-2 Antibody - BSA Free [NBP2-52978]

Immunohistochemistry-Paraffin: Musashi-2 Antibody - BSA Free [NBP2-52978]

Immunohistochemistry-Paraffin: Musashi-2 Antibody [NBP2-52978] - IHC analysis of a formalin fixed paraffin embedded tissue section of murine pancreas using rabbit anti-Musashi-2 antibody at 1:400 dilution. The signal was developed using HRP-DAB based detection method and the counter-staining was performed with hematoxylin. The antibody generated a weaker signal in the exocrine glandular cells (acini) with very strong staining in the Islets of Langerhans, especially in the alpha cells.

Applications for Musashi-2 Antibody - BSA Free

Application
Recommended Usage

Immunocytochemistry/ Immunofluorescence

5 ug/ml

Immunohistochemistry

1:200 - 1:500

Immunohistochemistry-Paraffin

1:200 - 1:500

Western Blot

1.0 ug/ml

Formulation, Preparation, and Storage

Purification

Immunogen affinity purified

Formulation

PBS

Format

BSA Free

Preservative

0.02% Sodium Azide

Concentration

1.0 mg/ml

Shipping

The product is shipped with polar packs. Upon receipt, store it immediately at the temperature recommended below.

Stability & Storage

Store at 4C short term. Aliquot and store at -20C long term. Avoid freeze-thaw cycles.

Background: Musashi-2

Musashi-2 belongs to the evolutionarily conserved Musashi family of RNA binding proteins which are involved in the translational control of their target mRNAs. Musashi-2 has two tandem RNA-recognition domains RRM-1 and RRM-2) that have the highly conserved RNP (ribonucleoprotein) motifs. By alternative splicing, at least three Musashi-2 isoforms exist. In the mammalian nervous system, Musashi-1 and 2 are selectively expressed in neural progenitor cells and play important roles in maintenance of the stem cell fate. Human Musashi-2 shares 95% amino acid sequence homology with mouse Musashi-2 and 80% amino acid sequence identity with human Musashi-1. Translocations resulting in the formation of Musashi-2/HOXA9 fusion protein is associated with progression of chronic myelogenous leukemia to the accelerated phase and blast crisis.

Alternate Names

MSI2, Musashi2

Gene Symbol

MSI2

UniProt

Additional Musashi-2 Products

Product Documents for Musashi-2 Antibody - BSA Free

Certificate of Analysis

To download a Certificate of Analysis, please enter a lot number in the search box below.

Product Specific Notices for Musashi-2 Antibody - BSA Free

This product is for research use only and is not approved for use in humans or in clinical diagnosis. Primary Antibodies are guaranteed for 1 year from date of receipt.

Loading...
Loading...
Loading...
Loading...