Skip to main content

MURF2 Antibody - BSA Free

Novus Biologicals, part of Bio-Techne | Catalog # NBP1-92153

Novus Biologicals, part of Bio-Techne
Catalog #
Availability
Size / Price
Qty
Loading...
NBP1-92153
NBP1-92153-25ul

Key Product Details

Species Reactivity

Human

Applications

Immunohistochemistry, Immunohistochemistry-Paraffin

Label

Unconjugated

Antibody Source

Polyclonal Rabbit IgG

Format

BSA Free

Concentration

Concentrations vary lot to lot. See vial label for concentration. If unlisted please contact technical services.

Product Specifications

Immunogen

This antibody was developed against Recombinant Protein corresponding to amino acids: GLGQIGPPGSEDSNVRKAEVAAAAASERAAVSGKETSAPAATSQIGFEAPPLQGQAAAPASGSGADSEPARHIFSFSWLNSLNE

Clonality

Polyclonal

Host

Rabbit

Isotype

IgG

Scientific Data Images for MURF2 Antibody - BSA Free

Immunohistochemistry-Paraffin: MURF2 Antibody [NBP1-92153]

Immunohistochemistry-Paraffin: MURF2 Antibody [NBP1-92153]

Immunohistochemistry-Paraffin: MURF2 Antibody [NBP1-92153] - Staining of human heart muscle shows strong cytoplasmic positivity in myocytes.
MURF2 Antibody - BSA Free Immunohistochemistry: MURF2 Antibody - BSA Free [NBP1-92153]

Immunohistochemistry: MURF2 Antibody - BSA Free [NBP1-92153]

Staining of human skeletal muscle shows moderate cytoplasmic positivity in myocytes.
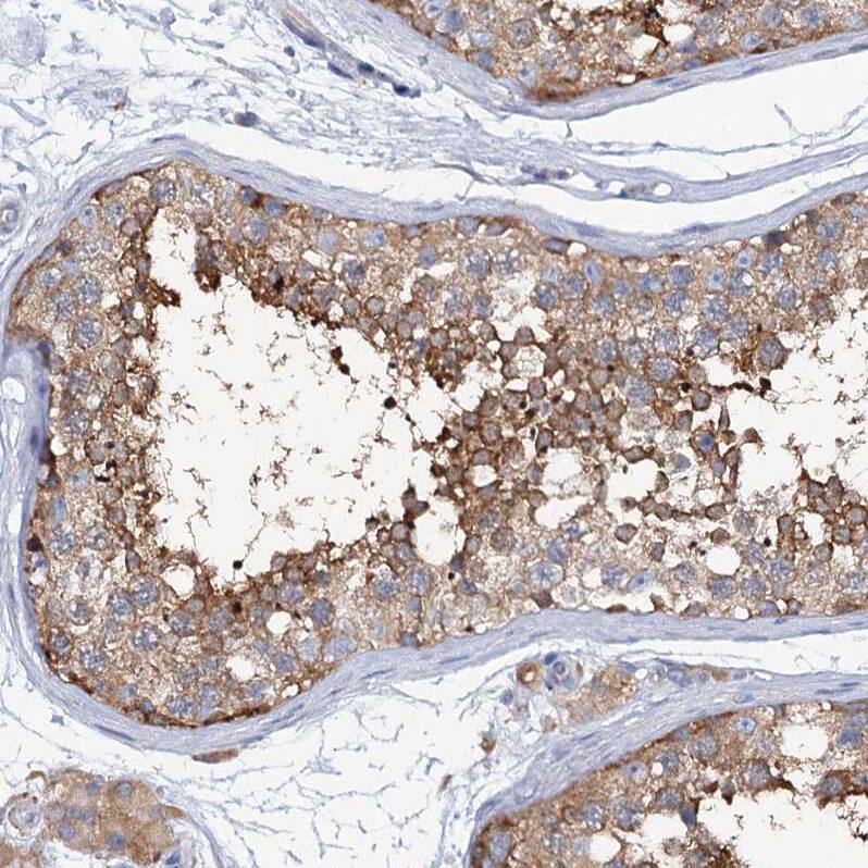
MURF2 Antibody - BSA Free Immunohistochemistry: MURF2 Antibody - BSA Free [NBP1-92153]

Immunohistochemistry: MURF2 Antibody - BSA Free [NBP1-92153]

Staining of human testis shows moderate cytoplasmic positivity in cells in seminiferous ducts.

Applications for MURF2 Antibody - BSA Free

Application
Recommended Usage

Immunohistochemistry

1:20 - 1:50

Immunohistochemistry-Paraffin

1:20 - 1:50
Application Notes
For IHC-Paraffin, HIER pH 6 retrieval is recommended.

Formulation, Preparation, and Storage

Purification

Affinity purified

Formulation

PBS (pH 7.2) and 40% Glycerol

Format

BSA Free

Preservative

0.02% Sodium Azide

Concentration

Concentrations vary lot to lot. See vial label for concentration. If unlisted please contact technical services.

Shipping

The product is shipped with polar packs. Upon receipt, store it immediately at the temperature recommended below.

Stability & Storage

Store at 4C short term. Aliquot and store at -20C long term. Avoid freeze-thaw cycles.

Background: MURF2

MURF2 is encoded by this gene contains a RING zinc finger, a motif known to be involved in protein-protein interactions. This protein associates transiently with microtubules, myosin, and titin during muscle sarcomere assembly. It may act as a transient adaptor and plays a regulatory role in the assembly of sarcomeres. Four alternatively spliced transcript variants encoding distinct isoforms have been described. [provided by RefSeq]

Alternate Names

muRF2, MuRF-2, Muscle-specific RING finger protein 2, RING finger protein 29muscle specific ring finger 2, RNF29, tripartite motif containing 55, tripartite motif-containing 55, tripartite motif-containing protein 55

Gene Symbol

TRIM55

Additional MURF2 Products

Product Documents for MURF2 Antibody - BSA Free

Certificate of Analysis

To download a Certificate of Analysis, please enter a lot number in the search box below.

Product Specific Notices for MURF2 Antibody - BSA Free

This product is for research use only and is not approved for use in humans or in clinical diagnosis. Primary Antibodies are guaranteed for 1 year from date of receipt.

Loading...
Loading...
Loading...
Loading...