Skip to main content

MUM1 Antibody (4G10)

Novus Biologicals, part of Bio-Techne | Catalog # NBP1-47396

Novus Biologicals, part of Bio-Techne
Catalog #
Availability
Size / Price
Qty
Loading...
NBP1-47396
NBP1-47396-0.025ml

Key Product Details

Species Reactivity

Human

Applications

ELISA, Immunohistochemistry, Immunohistochemistry-Paraffin, Western Blot

Label

Unconjugated

Antibody Source

Monoclonal Mouse IgG1 Clone # 4G10

Concentration

This product is unpurified. The exact concentration of antibody is not quantifiable.

Product Specifications

Immunogen

Purified recombinant fragment of human MUM1 expressed in E. Coli.

Reactivity Notes

Human

Clonality

Monoclonal

Host

Mouse

Isotype

IgG1

Theoretical MW

78.6 kDa.
Disclaimer note: The observed molecular weight of the protein may vary from the listed predicted molecular weight due to post translational modifications, post translation cleavages, relative charges, and other experimental factors.

Description

Novus Biologicals Mouse MUM1 Antibody (4G10) (NBP1-47396) is a monoclonal antibody validated for use in IHC, WB and ELISA. All Novus Biologicals antibodies are covered by our 100% guarantee.

Scientific Data Images for MUM1 Antibody (4G10)

Western Blot: MUM1 Antibody (4G10)BSA Free [NBP1-47396]

Western Blot: MUM1 Antibody (4G10)BSA Free [NBP1-47396]

Western Blot: MUM1 Antibody (4G10) [NBP1-47396] - Western blot analysis using MUM1 mouse mAb against recombinant fragment of human MUM1.
Immunohistochemistry: MUM1 Antibody (4G10) - BSA Free [NBP1-47396]

Immunohistochemistry: MUM1 Antibody (4G10) - BSA Free [NBP1-47396]

Immunohistochemistry: MUM1 Antibody (4G10) [NBP1-47396] - Immunohistochemical analysis of paraffin-embedded human Uterus tissues using MUM1 mouse mAb
Immunohistochemistry: MUM1 Antibody (4G10) - BSA Free [NBP1-47396]

Immunohistochemistry: MUM1 Antibody (4G10) - BSA Free [NBP1-47396]

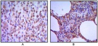
Immunohistochemistry: MUM1 Antibody (4G10) [NBP1-47396] - Immunohistochemical analysis of paraffin-embedded human melanoma (A), non-Hodgkin`s lymphoma (B), using MUM1 mouse mAb with DAB staining.

Applications for MUM1 Antibody (4G10)

Application
Recommended Usage

ELISA

1:10000

Immunohistochemistry

1:10-1:500

Immunohistochemistry-Paraffin

1:200-1:1000

Western Blot

1:500-1:2000

Formulation, Preparation, and Storage

Purification

Unpurified

Formulation

Ascites

Preservative

0.03% Sodium Azide

Concentration

This product is unpurified. The exact concentration of antibody is not quantifiable.

Shipping

The product is shipped with polar packs. Upon receipt, store it immediately at the temperature recommended below.

Stability & Storage

Store at 4C short term. Aliquot and store at -20C long term. Avoid freeze-thaw cycles.

Background: MUM1

Multiple myeloma oncogene-1 (MUM1) is a 50kD protein encoded by the MUM1 gene. This antibody stains MUM1 protein, which is expressed in a subset of B cells in the light zone of the germinal center, plasma cells, activated T cells and a wide spectrum of related hematolymphoid neoplasms. This antibody is useful in the sub classification of lymphoid malignancies.

Alternate Names

EXPAND1, FLJ14868, FLJ22283, melanoma associated antigen (mutated) 1, melanoma ubiquitous mutated protein, MGC131891, MGC163315, MUM-1HSPC211, Mutated melanoma-associated antigen 1, Protein expandere, PWWP domain-containing protein MUM1

Gene Symbol

MUM1

Additional MUM1 Products

Product Documents for MUM1 Antibody (4G10)

Certificate of Analysis

To download a Certificate of Analysis, please enter a lot number in the search box below.

Product Specific Notices for MUM1 Antibody (4G10)

This product is for research use only and is not approved for use in humans or in clinical diagnosis. Primary Antibodies are guaranteed for 1 year from date of receipt.

Loading...
Loading...
Loading...
Loading...