Skip to main content

MUL1 Antibody (5H6.2D5) - BSA Free

Novus Biologicals, part of Bio-Techne | Catalog # NBP2-31361

Novus Biologicals, part of Bio-Techne
Catalog #
Availability
Size / Price
Qty
Loading...
NBP2-31361
NBP2-31361SS

Key Product Details

Species Reactivity

Validated:

Human

Predicted:

Primate (99%). Backed by our 100% Guarantee.

Applications

Immunohistochemistry, Immunohistochemistry-Paraffin, Western Blot

Label

Unconjugated

Antibody Source

Monoclonal Mouse IgG1 kappa Clone # 5H6.2D5

Format

BSA Free

Concentration

1.0 mg/ml

Product Specifications

Immunogen

Partial recombinant protein made to a C-terminal portion of the human MUL1 protein (between residues 200-352) [UniProt Q969V5]

Reactivity Notes

The immunogen sequence shows 99% similarity to Monkey's MUL1 and is 84% similar to isoform 1 and 3 of Mouse's MUL1 .

Localization

Mitochondria, Peroxisomes

Clonality

Monoclonal

Host

Mouse

Isotype

IgG1 kappa

Description

Novus Biologicals Mouse MUL1 Antibody (5H6.2D5) - BSA Free (NBP2-31361) is a monoclonal antibody validated for use in IHC and WB. All Novus Biologicals antibodies are covered by our 100% guarantee.

Scientific Data Images for MUL1 Antibody (5H6.2D5) - BSA Free

Western Blot: MUL1 Antibody (5H6.2D5)BSA Free [NBP2-31361]

Western Blot: MUL1 Antibody (5H6.2D5)BSA Free [NBP2-31361]

Western Blot: MUL1 Antibody (5H6.2D5) [NBP2-31361] - WB detection of partial recombinant protein MUL1 by using MUL1 antibody (clone 5H6.2D5) at a concentration of 0.01 ug/ml.
Immunohistochemistry-Paraffin: MUL1 Antibody (5H6.2D5) - BSA Free [NBP2-31361]

Immunohistochemistry-Paraffin: MUL1 Antibody (5H6.2D5) - BSA Free [NBP2-31361]

Immunohistochemistry-Paraffin: MUL1 Antibody (5H6.2D5) [NBP2-31361] - IHC-P analysis of MUL1 protein in a transverse section of normal skeletal muscle from human using 5 ug/ml concentration of MUL1 antibody (clone 5H6.2D5). The myocytes and blood capillaries depicted strong staining whereas the nuclei were found negative for MUL1.
Immunohistochemistry-Paraffin: MUL1 Antibody (5H6.2D5) - BSA Free [NBP2-31361]

Immunohistochemistry-Paraffin: MUL1 Antibody (5H6.2D5) - BSA Free [NBP2-31361]

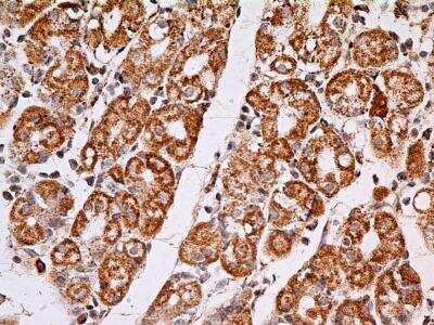
Immunohistochemistry-Paraffin: MUL1 Antibody (5H6.2D5) [NBP2-31361] - IHC-P analysis of MUL1 protein in a section of normal prostate from human using 5 ug/ml concentration of MUL1 antibody (clone 5H6.2D5). Strong cytoplasmic staining was observed in the epithelial columnar and basal cells of prostate glands.

Applications for MUL1 Antibody (5H6.2D5) - BSA Free

Application
Recommended Usage

Immunohistochemistry

5 ug/ml

Immunohistochemistry-Paraffin

5 ug/ml
Application Notes
MUL1 (mitochondrial ubiquitin ligase activator of NFKB 1) is a 352 amino acids long protein (predicted molecular weight 39.8 kDa) which localizes to the mitochondrion's outer membrane as a multi-pass membrane protein and from there, it may get transported to the peroxisomes via mitochondrion-derived vesicles. In immunostaining experiments, this MUL1 antibody is expected to generate a cytoplasmic staining pattern.

Formulation, Preparation, and Storage

Purification

Protein G purified

Formulation

PBS

Format

BSA Free

Preservative

0.05% Sodium Azide

Concentration

1.0 mg/ml

Shipping

The product is shipped with polar packs. Upon receipt, store it immediately at the temperature recommended below.

Stability & Storage

Store at 4C short term. Aliquot and store at -20C long term. Avoid freeze-thaw cycles.

Background: MUL1

MUL1 is an E3 ubiquitin-protein ligase that plays a role in the control of mitochondrial morphology. Promotes mitochondrial fragmentation and influences mitochondrial localization. Inhibits cell growth. When overexpressed, MUL1 activates JNK through MAP3K7/TAK1 and induces caspase-dependent apoptosis. E3 ubiquitin ligases accept ubiquitin from an E2 ubiquitin-conjugating enzyme in the form of a thioester and then directly transfer the ubiquitin to targeted substrates.

Alternate Names

C1orf166mitochondrial E3 ubiquitin ligase 1, E3 ubiquitin-protein ligase MUL1, EC 6.3.2, EC 6.3.2.-, FLJ12875, GIDERP11-401M16.2, Growth inhibition and death E3 ligase, MAPLE3 ubiquitin ligase, mitochondrial E3 ubiquitin protein ligase 1, mitochondrial ubiquitin ligase activator of NF-kB, mitochondrial ubiquitin ligase activator of NFKB 1, Mitochondrial-anchored protein ligase, MULANchromosome 1 open reading frame 166, Putative NF-kappa-B-activating protein 266, RING finger protein 218, RNF218mitochondria-anchored protein ligase

Entrez Gene IDs

79594 (Human)

Gene Symbol

MUL1

Additional MUL1 Products

Product Documents for MUL1 Antibody (5H6.2D5) - BSA Free

Certificate of Analysis

To download a Certificate of Analysis, please enter a lot number in the search box below.

Product Specific Notices for MUL1 Antibody (5H6.2D5) - BSA Free

This product is for research use only and is not approved for use in humans or in clinical diagnosis. Primary Antibodies are guaranteed for 1 year from date of receipt.

Loading...
Loading...
Loading...
Loading...