Skip to main content

MUC2 Antibody - BSA Free

Novus Biologicals, part of Bio-Techne | Catalog # NBP3-23576

Novus Biologicals, part of Bio-Techne

Key Product Details

Species Reactivity

Human, Mouse

Applications

Flow (Intracellular), Flow Cytometry, Immunocytochemistry/ Immunofluorescence, Immunohistochemistry, Immunohistochemistry-Paraffin

Label

Unconjugated

Antibody Source

Polyclonal Rabbit IgG

Format

BSA Free

Concentration

1.0 mg/ml

Product Specifications

Immunogen

Synthetic peptide made to an internal portion of the human MUC2 protein (between amino acids 4900-4950) [UniProt Q02817]

Clonality

Polyclonal

Host

Rabbit

Isotype

IgG

Description

Novus Biologicals Rabbit MUC2 Antibody - BSA Free (NBP3-23576) is a polyclonal antibody validated for use in IHC, Flow and ICC/IF. All Novus Biologicals antibodies are covered by our 100% guarantee.

Scientific Data Images for MUC2 Antibody - BSA Free

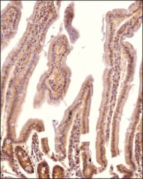
MUC2 Antibody Immunohistochemical Staining of MUC2 in Human Intestine

Immunohistochemical Staining of MUC2 in Human Intestine

Analysis of a FFPE tissue section of human small intestine using 1:200 dilution of MUC2 antibody, NBP3-23576. The staining was developed using HRP labeled anti-rabbit secondary antibody and DAB reagent, and nuclei of cells were counter-stained with hematoxylin.
MUC2 Antibody Immunohistochemical Staining of MUC2 in Mouse Intestine

Immunohistochemical Staining of MUC2 in Mouse Intestine

Analysis of a FFPE tissue section of mouse small intestine using 1:200 dilution of MUC2 antibody, NBP3-23576. The staining was developed using HRP labeled anti-rabbit secondary antibody and DAB reagent, and nuclei of cells were counter-stained with hematoxylin.
MUC2 Antibody Detection of MUC2 in HepG2 Human Cell Line by Flow Cytometry.

Detection of MUC2 in HepG2 Human Cell Line by Flow Cytometry.

HepG2 human hepatocellular carcinoma cell line was stained with Goat Anti-Rabbit MUC2 Immunogen Affinity purified Polyclonal Antibody (Catalog # NBP3-23576, blue histogram) or isotype control antibody (Catalog # NBP2-24891, orange histogram), followed by DyLight 550-conjugated Anti-Rabbit IgG (H+L) Cross-Absorbed Secondary Antibody.

Applications for MUC2 Antibody - BSA Free

Application
Recommended Usage

Flow (Intracellular)

1.0 mg/ml

Flow Cytometry

1.0 mg/ml

Immunocytochemistry/ Immunofluorescence

1 ug/ml

Immunohistochemistry

1:200

Immunohistochemistry-Paraffin

1:200

Formulation, Preparation, and Storage

Purification

Immunogen affinity purified

Formulation

PBS

Format

BSA Free

Preservative

0.02% Sodium Azide

Concentration

1.0 mg/ml

Stability & Storage

Store at 4C short term. Aliquot and store at -20C long term. Avoid freeze-thaw cycles.

Background: MUC2

MUC2, also called mucin 2, is a member of the mucin protein family which are heavily glycosylated, high molecular weight proteins that are produced by goblet cells in epithelial tissues including the intestinal and respiratory tract (1). Mucins can form gels and function in lubrication of mucosal surfaces which serve as a protective barrier of the epithelial lining and an innate host defense (1). Mucins are divided into two groups based on whether they are membrane-bound or secreted, where MUC2 belongs to the secretory group (1,2). Secreted mucins have a distinctive composition characterized by a large central exon "mucin domain" containing O-glycosylated tandem repeat regions rich in proline, threonine, and serine residues, non-repetitive domains, and cysteine-rich domains (1,2). The mucin domain is flanked by 5' and 3' D domains, a B-like domain, a C-like domain, and a Ck-domain (1,2). MUC2 was the first secretory mucin identified in humans (3,4). Full-length MUC2 protein is synthesized as 5179 amino acids (aa) in length with a theoretical molecular weight of ~540 kDa (5).

Changes or perturbations to MUC2 expression has been associated with a number of disease pathologies (1-4, 6). Specifically, altered MUC2 composition has been indicated in colorectal cancer, inflammatory bowel diseases (IBD) including ulcerative colitis and Chron's disease, and chronic obstructive pulmonary disease (COPD) (1-4, 6). In general, decreased or reduced MUC2 expression is associated with colorectal cancer disease progression and development of IBD (1-4, 6). Additionally, studies have found that upon intestinal infection due to parasites or bacteria MUC2 expression is increased, as is overall mucus secretion (3, 6).

References

1. Pothuraju, R., Krishn, S. R., Gautam, S. K., Pai, P., Ganguly, K., Chaudhary, S., Rachagani, S., Kaur, S., & Batra, S. K. (2020). Mechanistic and Functional Shades of Mucins and Associated Glycans in Colon Cancer. Cancers. https://doi.org/10.3390/cancers12030649

2. Ballester, B., Milara, J., & Cortijo, J. (2019). Mucins as a New Frontier in Pulmonary Fibrosis. Journal of Clinical Medicine. https://doi.org/10.3390/jcm8091447

3. Liu, Y., Yu, X., Zhao, J., Zhang, H., Zhai, Q., & Chen, W. (2020). The role of MUC2 mucin in intestinal homeostasis and the impact of dietary components on MUC2 expression. International Journal of Biological Macromolecules. https://doi.org/10.1016/j.ijbiomac.2020.07.191

4. Allen, A., Hutton, D. A., & Pearson, J. P. (1998). The MUC2 gene product: a human intestinal mucin. The International Journal of Biochemistry & Cell Biology. https://doi.org/10.1016/s1357-2725(98)00028-4

5. Uniprot (Q02817)

6. Kim, Y. S., & Ho, S. B. (2010). Intestinal goblet cells and mucins in health and disease: recent insights and progress. Current Gastroenterology Reports. https://doi.org/10.1007/s11894-010-0131-2

Alternate Names

Intestinal mucin-2, MLP, MUC2, MUC-2, mucin 2, intestinal/tracheal, mucin 2, oligomeric mucus/gel-forming, mucin-2, SMUC

Gene Symbol

MUC2

Additional MUC2 Products

Product Documents for MUC2 Antibody - BSA Free

Certificate of Analysis

To download a Certificate of Analysis, please enter a lot number in the search box below.

Product Specific Notices for MUC2 Antibody - BSA Free

This product is for research use only and is not approved for use in humans or in clinical diagnosis. Primary Antibodies are guaranteed for 1 year from date of receipt.

Loading...
Loading...
Loading...
Loading...
Loading...