Skip to main content

mu Crystallin Antibody - BSA Free

Novus Biologicals, part of Bio-Techne | Catalog # NBP2-99358

Novus Biologicals, part of Bio-Techne

Key Product Details

Species Reactivity

Human

Applications

Immunohistochemistry, Immunohistochemistry-Paraffin, Western Blot

Label

Unconjugated

Antibody Source

Polyclonal Rabbit IgG

Format

BSA Free

Concentration

Please see the vial label for concentration. If unlisted please contact technical services.

Product Specifications

Immunogen

Produced in rabbits immunized with a synthetic peptide corresponding to the center region of the Human mu Crystallin.

Clonality

Polyclonal

Host

Rabbit

Isotype

IgG

Description

This antibody can be stored at 2C to 8C for one month without detectable loss of activity. Antibody products are stable for twelve months from date of receipt when stored at -20C to -80C. Avoid repeated freeze-thaw cycles.

Scientific Data Images for mu Crystallin Antibody - BSA Free

Western Blot: mu Crystallin Antibody [NBP2-99358]

Western Blot: mu Crystallin Antibody [NBP2-99358]

Western Blot: mu Crystallin Antibody [NBP2-99358] - Anti-mu Crystallin rabbit polyclonal antibody at 1:500 dilution. Lane A: Mouse brain tissue lysate. Lysates/proteins at 30 ug per lane. Secondary Goat Anti-Rabbit IgG (H+L)/HRP at 1/10000 dilution. Developed using the ECL technique. Performed under reducing conditions. Predicted band size: 34 kDa. Observed band size: 34 kDa
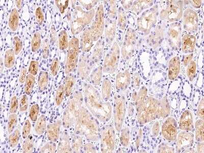
Immunohistochemistry-Paraffin: mu Crystallin Antibody [NBP2-99358]

Immunohistochemistry-Paraffin: mu Crystallin Antibody [NBP2-99358]

Immunohistochemistry-Paraffin: mu Crystallin Antibody [NBP2-99358] - Immunochemical staining of human mu Crystallin in human kidney with rabbit polyclonal antibody at 1:1000 dilution, formalin-fixed paraffin embedded sections.
Immunohistochemistry-Paraffin: mu Crystallin Antibody [NBP2-99358]

Immunohistochemistry-Paraffin: mu Crystallin Antibody [NBP2-99358]

Immunohistochemistry-Paraffin: mu Crystallin Antibody [NBP2-99358] - Immunochemical staining of human mu Crystallin in human brain with rabbit polyclonal antibody at 1:1000 dilution, formalin-fixed paraffin embedded sections.

Applications for mu Crystallin Antibody - BSA Free

Application
Recommended Usage

Immunohistochemistry-Paraffin

1:500-1:2000

Western Blot

1:500-1:2000

Formulation, Preparation, and Storage

Purification

Antigen and protein A Affinity-purified

Formulation

PBS

Format

BSA Free

Preservative

0.03% Proclin 300

Concentration

Please see the vial label for concentration. If unlisted please contact technical services.

Shipping

The product is shipped with polar packs. Upon receipt, store it immediately at the temperature recommended below.

Stability & Storage

Store at 4C short term. Aliquot and store at -20C long term. Avoid freeze-thaw cycles.

Background: mu Crystallin

Alternate Names

crystallin, mu, DFNA40NADP-regulated thyroid-hormone binding protein, mu-crystallin homolog, NADP-regulated thyroid-hormone-binding protein, THBP

Gene Symbol

CRYM

Additional mu Crystallin Products

Product Documents for mu Crystallin Antibody - BSA Free

Certificate of Analysis

To download a Certificate of Analysis, please enter a lot number in the search box below.

Product Specific Notices for mu Crystallin Antibody - BSA Free

This product is for research use only and is not approved for use in humans or in clinical diagnosis. Primary Antibodies are guaranteed for 1 year from date of receipt.

Loading...
Loading...
Loading...
Loading...