mu Crystallin Antibody (OTI1G7) - Azide and BSA Free
Novus Biologicals, part of Bio-Techne | Catalog # NBP2-72825
Conjugate
Catalog #
Key Product Details
Species Reactivity
Human, Mouse, Rat
Applications
Immunohistochemistry, Immunohistochemistry-Paraffin, Western Blot, Flow Cytometry, Immunocytochemistry/ Immunofluorescence, CyTOF-ready
Label
Unconjugated
Antibody Source
Monoclonal Mouse IgG2B Clone # OTI1G7
Format
Azide and BSA Free
Concentration
LYOPH mg/ml
Product Specifications
Immunogen
Full length human recombinant protein of human CRYM (NP_001879) produced in HEK293T cell.
Reactivity Notes
Please note that this antibody is reactive to Mouse and derived from the same host, Mouse. Mouse-On-Mouse blocking reagent may be needed for IHC and ICC experiments to reduce high background signal. You can find these reagents under catalog numbers PK-2200-NB and MP-2400-NB. Please contact Technical Support if you have any questions.
Clonality
Monoclonal
Host
Mouse
Isotype
IgG2B
Theoretical MW
33.6 kDa.
Disclaimer note: The observed molecular weight of the protein may vary from the listed predicted molecular weight due to post translational modifications, post translation cleavages, relative charges, and other experimental factors.
Disclaimer note: The observed molecular weight of the protein may vary from the listed predicted molecular weight due to post translational modifications, post translation cleavages, relative charges, and other experimental factors.
Description
Novus Biologicals Mouse mu Crystallin Antibody (OTI1G7) - Azide and BSA Free (NBP2-02829) is a monoclonal antibody validated for use in IHC, WB, Flow and ICC/IF. All Novus Biologicals antibodies are covered by our 100% guarantee.
Scientific Data Images for mu Crystallin Antibody (OTI1G7) - Azide and BSA Free
Western Blot: mu Crystallin Antibody (OTI1G7)Azide and BSA Free [NBP2-72825]
Western Blot: mu Crystallin Antibody (OTI1G7) - Azide and BSA Free [NBP2-72825] - HEK293T cells were transfected with the pCMV6-ENTRY control (Left lane) or pCMV6-ENTRY mu Crystallin (Right lane) cDNA for 48 hrs and lysed. Equivalent amounts of cell lysates (5 ug per lane) were separated by SDS-PAGE and immunoblotted with anti-mu CrystImmunohistochemistry: mu Crystallin Antibody (OTI1G7) - Azide and BSA Free [NBP2-72825]
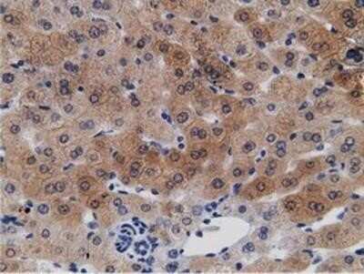
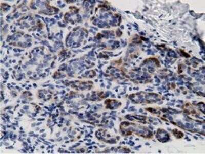
Immunohistochemistry: mu Crystallin Antibody (OTI1G7) - Azide and BSA Free [NBP2-72825] - Staining of paraffin-embedded Human liver tissue using anti-mu Crystallin mouse monoclonal antibody.Flow Cytometry: mu Crystallin Antibody (OTI1G7) - Azide and BSA Free [NBP2-72825]
Flow Cytometry: mu Crystallin Antibody (OTI1G7) - Azide and BSA Free [NBP2-72825] - Staining of COS7 cells transiently transfected by pCMV6-ENTRY mu Crystallin.Applications for mu Crystallin Antibody (OTI1G7) - Azide and BSA Free
Application
Recommended Usage
Flow Cytometry
1:100
Immunocytochemistry/ Immunofluorescence
1:100
Immunohistochemistry
1:150
Western Blot
1:500-2000
Formulation, Preparation, and Storage
Purification
Immunogen affinity purified
Reconstitution
we recommend adding 100uL distilled water to a final antibody concentration of about 1 mg/mL. To use this carrier-free antibody for conjugation experiment, we strongly recommend performing another round of desalting process.
Formulation
Lyophilized from PBS (pH 7.3) with 8% Trehalose
Format
Azide and BSA Free
Preservative
No Preservative
Concentration
LYOPH mg/ml
Shipping
The product is shipped with polar packs. Upon receipt, store it immediately at the temperature recommended below.
Stability & Storage
Store at -20C. Avoid freeze-thaw cycles.
Background: mu Crystallin
Alternate Names
crystallin, mu, DFNA40NADP-regulated thyroid-hormone binding protein, mu-crystallin homolog, NADP-regulated thyroid-hormone-binding protein, THBP
Gene Symbol
CRYM
Additional mu Crystallin Products
Product Documents for mu Crystallin Antibody (OTI1G7) - Azide and BSA Free
Product Specific Notices for mu Crystallin Antibody (OTI1G7) - Azide and BSA Free
This product is for research use only and is not approved for use in humans or in clinical diagnosis. Primary Antibodies are guaranteed for 1 year from date of receipt.
Loading...
Loading...
Loading...
Loading...
Loading...
Loading...