mtTFA Antibody - BSA Free
Novus Biologicals, part of Bio-Techne | Catalog # NBP1-86959
Key Product Details
Validated by
Orthogonal Validation
Species Reactivity
Validated:
Human
Cited:
Human
Applications
Validated:
Immunohistochemistry, Immunohistochemistry-Paraffin, Western Blot, Immunocytochemistry/ Immunofluorescence
Cited:
IF/IHC
Label
Unconjugated
Antibody Source
Polyclonal Rabbit IgG
Format
BSA Free
Concentration
Concentrations vary lot to lot. See vial label for concentration. If unlisted please contact technical services.
Product Specifications
Immunogen
This antibody was developed against Recombinant Protein corresponding to amino acids: AELCTGCGSRLRSPFSFVYLPRWFSSVLASCPKKPVSSYLRFSKEQLPIFKAQNPDAKTTELIRRIAQRWRELPDSKK
Reactivity Notes
Human reactivity reported in scientific literature (PMID: 23172368).
Clonality
Polyclonal
Host
Rabbit
Isotype
IgG
Scientific Data Images for mtTFA Antibody - BSA Free
Immunocytochemistry/ Immunofluorescence: mtTFA Antibody [NBP1-86959]
Immunocytochemistry/Immunofluorescence: mtTFA Antibody [NBP1-86959] - Staining of human cell line U-2 OS shows positivity in mitochondria.Immunohistochemistry-Paraffin: mtTFA Antibody [NBP1-86959]
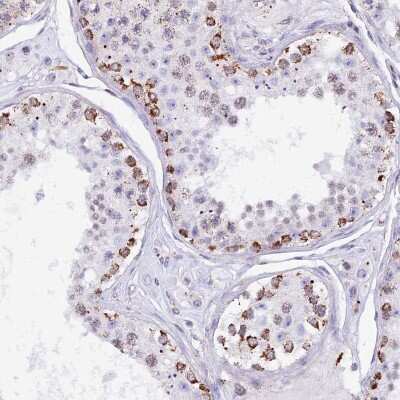
Immunohistochemistry-Paraffin: mtTFA Antibody [NBP1-86959] - Staining of human testis shows strong granular cytoplasmic positivity in a subset of cells in seminiferous ducts.Immunohistochemistry-Paraffin: mtTFA Antibody [NBP1-86959]
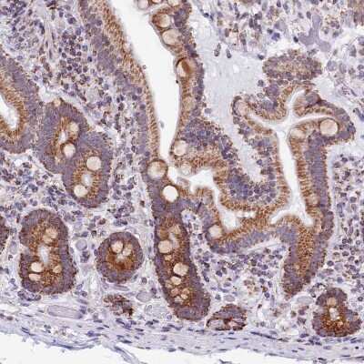
Immunohistochemistry-Paraffin: mtTFA Antibody [NBP1-86959] - Staining of human duodenum shows moderate granular cytoplasmic positivity in glandular cells.Applications for mtTFA Antibody - BSA Free
Application
Recommended Usage
Immunocytochemistry/ Immunofluorescence
0.25-2 ug/ml
Immunohistochemistry
1:50 - 1:200
Immunohistochemistry-Paraffin
1:50 - 1:200
Western Blot
0.04-0.4 ug/ml
Application Notes
IHC reported in scientific literature (PMID: 23172368). For IHC-Paraffin, HIER pH 6 retrieval is recommended. Immunocytochemistry/Immunofluorescence Fixation Permeabilization: Use PFA/Triton X-100.
Formulation, Preparation, and Storage
Purification
Affinity purified
Formulation
PBS (pH 7.2) and 40% Glycerol
Format
BSA Free
Preservative
0.02% Sodium Azide
Concentration
Concentrations vary lot to lot. See vial label for concentration. If unlisted please contact technical services.
Shipping
The product is shipped with polar packs. Upon receipt, store it immediately at the temperature recommended below.
Stability & Storage
Store at 4C short term. Aliquot and store at -20C long term. Avoid freeze-thaw cycles.
Background: mtTFA
Alternate Names
mitochondrial transcription factor A, MTTF1, mtTFA, TCF-6, TCF6L1, TCF6L2Mitochondrial transcription factor 1, TCF6TCF6L3, Transcription factor 6, Transcription factor 6-like 2, Transcription factor 6-like 2 (mitochondrial transcription factor), transcription factor A, mitochondrial
Gene Symbol
TFAM
Additional mtTFA Products
Product Documents for mtTFA Antibody - BSA Free
Product Specific Notices for mtTFA Antibody - BSA Free
This product is for research use only and is not approved for use in humans or in clinical diagnosis. Primary Antibodies are guaranteed for 1 year from date of receipt.
Loading...
Loading...
Loading...
Loading...