Skip to main content

MTHFD1L Antibody - BSA Free

Novus Biologicals, part of Bio-Techne | Catalog # NBP3-38490

Novus Biologicals, part of Bio-Techne
Catalog #
Availability
Size / Price
Qty
Loading...
NBP3-38490-20ul
NBP3-38490-100ul

Key Product Details

Species Reactivity

Human, Mouse, Rat

Applications

ELISA, Immunohistochemistry, Immunohistochemistry-Paraffin, Western Blot

Label

Unconjugated

Antibody Source

Polyclonal Rabbit IgG

Format

BSA Free

Concentration

Please see the vial label for concentration. If unlisted please contact technical services.

Product Specifications

Immunogen

Recombinant fusion protein containing a sequence corresponding to amino acids 759-978 of human MTHFD1L (NP_056255.2).

Sequence:
GVPLKKEYTEENIQLVADGCCNLQKQIQITQLFGVPVVVALNVFKTDTRAEIDLVCELAKRAGAFDAVPCYHWSVGGKGSVDLARAVREAASKRSRFQFLYDVQVPIVDKIRTIAQAVYGAKDIELSPEAQAKIDRYTQQGFGNLPICMAKTHLSLSHQPDKKGVPRDFILPISDVRASIGAGFIYPLVGTMSTMPGLPTRPCFYDIDLDTETEQVKGLF

Clonality

Polyclonal

Host

Rabbit

Isotype

IgG

Theoretical MW

106 kDa.
Disclaimer note: The observed molecular weight of the protein may vary from the listed predicted molecular weight due to post translational modifications, post translation cleavages, relative charges, and other experimental factors.

Description

Novus Biologicals Rabbit MTHFD1L Antibody - BSA Free (NBP3-38490) is a polyclonal antibody validated for use in IHC, WB and ELISA. All Novus Biologicals antibodies are covered by our 100% guarantee.

Scientific Data Images for MTHFD1L Antibody - BSA Free

MTHFD1L Antibody

Immunohistochemistry: MTHFD1L Antibody [NBP3-38490] -

Immunohistochemistry: MTHFD1L Antibody [NBP3-38490] - Immunohistochemistry analysis of paraffin-embedded Mouse testis using MTHFD1L Rabbit pAb at dilution of 1:200 (40x lens). High pressure antigen retrieval performed with 0.01M Citrate Bufferr (pH 6.0) prior to IHC staining.
MTHFD1L Antibody

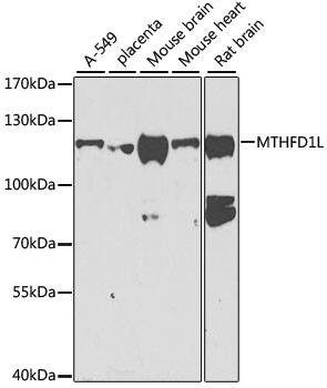
Western Blot: MTHFD1L Antibody [NBP3-38490] -

Western Blot: MTHFD1L Antibody [NBP3-38490] - Western blot analysis of various lysates using MTHFD1L Rabbit pAb at 1:1000 dilution.
Secondary antibody: HRP-conjugated Goat anti-Rabbit IgG (H+L) at 1:10000 dilution.
Lysates/proteins: 25ug per lane.
Blocking buffer: 3% nonfat dry milk in TBST.
Detection: ECL Basic Kit.
Exposure time: 90s.
MTHFD1L Antibody

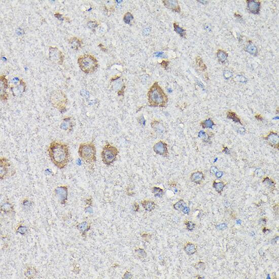
Immunohistochemistry: MTHFD1L Antibody [NBP3-38490] -

Immunohistochemistry: MTHFD1L Antibody [NBP3-38490] - Immunohistochemistry analysis of paraffin-embedded Rat brain using MTHFD1L Rabbit pAb at dilution of 1:200 (40x lens). High pressure antigen retrieval performed with 0.01M Citrate Bufferr (pH 6.0) prior to IHC staining.

Applications for MTHFD1L Antibody - BSA Free

Application
Recommended Usage

Immunohistochemistry-Paraffin

1:50 - 1:200

Western Blot

1:500 - 1:2000

Formulation, Preparation, and Storage

Purification

Affinity purified

Formulation

PBS (pH 7.3), 50% glycerol

Format

BSA Free

Preservative

0.02% Sodium Azide

Concentration

Please see the vial label for concentration. If unlisted please contact technical services.

Shipping

The product is shipped with polar packs. Upon receipt, store it immediately at the temperature recommended below.

Stability & Storage

Store at -20C. Avoid freeze-thaw cycles.

Background: MTHFD1L

MTHFD1L, also known as Monofunctional C1-tetrahydrofolate synthase, mitochondrial, consists of 2 a 978 amino acid isoform1 that is 106 kDa and a 275 amino acid isoform 2 that is 30 kDa; has mitochondrion subcellular location and highest expression found in placenta, thymus and brain; it is involved in the synthesis of tetrahydrofolate (THF) in the mitochondrion which is important in the de novo synthesis of purines and thymidylate and in the regeneration of methionine from homocysteine, and also may provide the missing metabolic reaction required to link the mitochondria and the cytoplasm in the mammalian model of one-carbon folate metabolism in embryonic an transformed cells complementing thus the enzymatic activities of MTHFD2. Current research is being performed on this protein involvement in cleft lip/palate, neural tube defect, homocysteine, coronary heart disease, chronic myeloid leukemia, Down syndrome, colon adenocarcinoma, nephropathy, Alzheimer's disease, dementia, colorectal cancer, leukemia, and atherosclerosis. This protein plays role in One carbon pool by folate and Metabolic pathways where it interacts with CASP4, MAGED1, WRAP73, WDR8, MAP1LC3A, and plus more than 40 other proteins.

Alternate Names

10-formyl-THF synthetase, dJ292B18.2, DKFZp586G1517, EC 6.3.4.3, FLJ21145, Formyltetrahydrofolate synthetase, formyltetrahydrofolate synthetase domain containing 1, FTHFSDC1, methylenetetrahydrofolate dehydrogenase (NADP+ dependent) 1-like, mitochondrial C1-tetrahydrofolate synthase, mitochondrial C1-tetrahydrofolate synthetase, monofunctional C1-tetrahydrofolate synthase, mitochondrial, MTC1THFS

Gene Symbol

MTHFD1L

Additional MTHFD1L Products

Product Documents for MTHFD1L Antibody - BSA Free

Certificate of Analysis

To download a Certificate of Analysis, please enter a lot number in the search box below.

Product Specific Notices for MTHFD1L Antibody - BSA Free

This product is for research use only and is not approved for use in humans or in clinical diagnosis. Primary Antibodies are guaranteed for 1 year from date of receipt.

Loading...
Loading...
Loading...
Loading...