Skip to main content

MTH1 Antibody (AT3B3) - BSA Free

Novus Biologicals, part of Bio-Techne | Catalog # NBP2-61160

Novus Biologicals, part of Bio-Techne

Key Product Details

Species Reactivity

Human

Applications

ELISA, Flow Cytometry, Immunocytochemistry/ Immunofluorescence, Western Blot

Label

Unconjugated

Antibody Source

Monoclonal Mouse IgG1 kappa Clone # AT3B3

Format

BSA Free

Concentration

1 mg/ml

Product Specifications

Immunogen

Recombinant human MTH1 (1-156aa) purified from E. coli

Clonality

Monoclonal

Host

Mouse

Isotype

IgG1 kappa

Description

Novus Biologicals Mouse MTH1 Antibody (AT3B3) - BSA Free (NBP2-61160) is a monoclonal antibody validated for use in WB, ELISA, Flow and ICC/IF. All Novus Biologicals antibodies are covered by our 100% guarantee.

Scientific Data Images for MTH1 Antibody (AT3B3) - BSA Free

Western Blot: MTH1 Antibody (AT3B3)BSA Free [NBP2-61160]

Western Blot: MTH1 Antibody (AT3B3)BSA Free [NBP2-61160]

Western Blot: MTH1 Antibody (AT3B3) [NBP2-61160] - The Cell lysates (40ug) were resolved by SDS-PAGE, transferred to PVDF membrane and probed with anti-human NUDT1 antibody (1:500). Proteins were visualized using a goat anti-mouse secondary antibody conjugated to HRP and an ECL detection system.Lane 1.: K-562 cell lysate Lane 2.: SW480 cell lysateLane 3.: THP-1 cell lysateLane 4.: Jurkat cell lysateLane 5.: A549 cell lysate
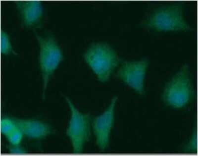
Immunocytochemistry/ Immunofluorescence: MTH1 Antibody (AT3B3) - BSA Free [NBP2-61160]

Immunocytochemistry/ Immunofluorescence: MTH1 Antibody (AT3B3) - BSA Free [NBP2-61160]

Immunocytochemistry/Immunofluorescence: MTH1 Antibody (AT3B3) [NBP2-61160] - NUDT1 in A549 cells line, stained with DAPI (Blue) for nucleus staining and monoclonal anti-human NUDT1 antibody (1:100) with goat anti-mouse IgG-Alexa fluor 488 conjugate (Green).

Applications for MTH1 Antibody (AT3B3) - BSA Free

Application
Recommended Usage

ELISA

1:100-1:2000

Immunocytochemistry/ Immunofluorescence

1:10-1:500

Western Blot

1:100-1:2000

Formulation, Preparation, and Storage

Purification

Protein A purified

Formulation

PBS (pH 7.4), 10% Glycerol

Format

BSA Free

Preservative

0.02% Sodium Azide

Concentration

1 mg/ml

Shipping

The product is shipped with polar packs. Upon receipt, store it immediately at the temperature recommended below.

Stability & Storage

Store at 4C short term. Aliquot and store at -20C long term. Avoid freeze-thaw cycles.

Background: MTH1

Oxygen radicals damage chromosomal DNA causing cell death and inducing mutations. Among the various classes of DNA damage caused by oxygen radicals, an oxidized form of guanine base (8-oxoguanine) appears to be important as it can pair with cytosine and adenine and G:C to T:A transversion mutation occurs. A significant amount of 8-OxoG is formed in the chromosomal DNA of mammalian cells, with most damaged nucleotides excised from the DNA and excreted in the urine. Along with 8-oxoG being present in oxidatively damaged DNA, 8-oxo-deoxyguanosine (8-oxo-dGTP) is formed in the nucleotide pool during normal cellular metabolism and following oxidative stress. The 8-oxo-dGTP nucleotide can be incorporated in DNA during polymerization and can result in a mispairing unless repaired. MTH converts 8-oxo-dGTP in the nucleotide pool to the monophosphate and prevents the misincorporation of 8-oxo-dGTP into DNA (Figure courtesy of Dr. Mark Kelley). MTH also recognizes 8-oxo-rGTP, which could incorporate into RNA during gene transcription leading to missense or nonsense protein production.

Long Name

Oxidized purine nucleoside triphosphate hydrolase

Alternate Names

8-oxo-dGTPase, EC 3.6.1.-, EC 3.6.1.56, Nudix motif 1, NUDT1

Gene Symbol

NUDT1

Additional MTH1 Products

Product Documents for MTH1 Antibody (AT3B3) - BSA Free

Certificate of Analysis

To download a Certificate of Analysis, please enter a lot number in the search box below.

Product Specific Notices for MTH1 Antibody (AT3B3) - BSA Free

This product is for research use only and is not approved for use in humans or in clinical diagnosis. Primary Antibodies are guaranteed for 1 year from date of receipt.

Loading...
Loading...
Loading...
Loading...
Loading...