Skip to main content

MTG1 Antibody - BSA Free

Novus Biologicals, part of Bio-Techne | Catalog # NBP2-19428

Novus Biologicals, part of Bio-Techne
Catalog #
Availability
Size / Price
Qty
Loading...
NBP2-19428

Key Product Details

Species Reactivity

Validated:

Human

Cited:

Human

Predicted:

Rhesus Macaque (94%). Backed by our 100% Guarantee.

Applications

Validated:

Immunohistochemistry, Immunohistochemistry-Paraffin, Western Blot

Cited:

Western Blot

Label

Unconjugated

Antibody Source

Polyclonal Rabbit IgG

Format

BSA Free

Concentration

Concentrations vary lot to lot. See vial label for concentration. If unlisted please contact technical services.

Product Specifications

Immunogen

Recombinant protein encompassing a sequence within the center region of human MTG1. The exact sequence is proprietary.

Reactivity Notes

Bovine (89%), Mouse (86%).

Localization

Mitochondrion

Clonality

Polyclonal

Host

Rabbit

Isotype

IgG

Theoretical MW

37 kDa.
Disclaimer note: The observed molecular weight of the protein may vary from the listed predicted molecular weight due to post translational modifications, post translation cleavages, relative charges, and other experimental factors.

Description

Novus Biologicals Rabbit MTG1 Antibody - BSA Free (NBP2-19428) is a polyclonal antibody validated for use in IHC and WB. Anti-MTG1 Antibody: Cited in 1 publication. All Novus Biologicals antibodies are covered by our 100% guarantee.

Scientific Data Images for MTG1 Antibody - BSA Free

Western Blot: MTG1 Antibody [NBP2-19428]

Western Blot: MTG1 Antibody [NBP2-19428]

Western Blot: MTG1 Antibody [NBP2-19428] - Sample (30 ug of whole cell lysate) A: Jurkat 12% SDS PAGE gel, diluted at 1:5000.
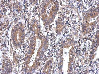
Immunohistochemistry-Paraffin: MTG1 Antibody [NBP2-19428]

Immunohistochemistry-Paraffin: MTG1 Antibody [NBP2-19428]

Immunohistochemistry-Paraffin: MTG1 Antibody [NBP2-19428] - Immunohistochemical analysis of paraffin-embedded Colon ca, using antibody at 1:500 dilution.

Applications for MTG1 Antibody - BSA Free

Application
Recommended Usage

Immunohistochemistry

1:100-1:1000

Immunohistochemistry-Paraffin

1:100-1:1000

Western Blot

1:1000-1:10000

Formulation, Preparation, and Storage

Purification

Antigen Affinity-purified

Formulation

0.1M Tris, 0.1M Glycine, 20% Glycerol

Format

BSA Free

Preservative

0.01% Thimerosal

Concentration

Concentrations vary lot to lot. See vial label for concentration. If unlisted please contact technical services.

Shipping

The product is shipped with polar packs. Upon receipt, store it immediately at the temperature recommended below.

Stability & Storage

Aliquot and store at -20C or -80C. Avoid freeze-thaw cycles.

Background: MTG1

Mitochondrial GTPase. May be involved in assembly of the large ribosomal subunit.

Alternate Names

GTP, GTP-binding protein 7, GTP-binding protein 7 (putative), GTPBP7, mitochondrial GTPase 1, mitochondrial GTPase 1 homolog (S. cerevisiae), RP11-108K14.2

Gene Symbol

MTG1

UniProt

Additional MTG1 Products

Product Documents for MTG1 Antibody - BSA Free

Certificate of Analysis

To download a Certificate of Analysis, please enter a lot number in the search box below.

Product Specific Notices for MTG1 Antibody - BSA Free

This product is for research use only and is not approved for use in humans or in clinical diagnosis. Primary Antibodies are guaranteed for 1 year from date of receipt.

Loading...
Loading...
Loading...
Loading...

⚠ WARNING: This product can expose you to chemicals including mercury, which is known to the State of California to cause reproductive toxicity with developmental effects.  For more information go to www.P65Warnings.ca.gov.