Skip to main content

MTAP Antibody (MTAP/3137R)

Novus Biologicals, part of Bio-Techne | Catalog # NBP3-07220

Recombinant Monoclonal Antibody
Novus Biologicals, part of Bio-Techne
Catalog #
Availability
Size / Price
Qty
Loading...
NBP3-07220-100ug
NBP3-07220-20ug

Key Product Details

Species Reactivity

Human

Applications

Immunohistochemistry-Paraffin, Western Blot, ELISA

Label

Unconjugated

Antibody Source

Recombinant Monoclonal Rabbit IgG Clone # MTAP/3137R

Concentration

0.2 mg/ml

Product Specifications

Immunogen

Recombinant human MTAP protein fragment (aa97-196) (exact sequence is proprietary) (Uniprot: Q13126)

Localization

Cytoplasmic

Specificity

Recognizes a protein of 31kDa, which is identified as MTAP (5'-deoxy-5'-methylthioadenosine phosphorylase). It catalyzes the reversible phosphorolysis of methylthioadenosine, which is important in polyamine metabolism and for the salvage of adenine and methionine. The gene encoding MTAP is linked to the tumor suppressor gene, p16INK4A. Deficient levels of MTAP can occur in cancers primarily through co-deletion of the MTAP gene and the p16INK4A gene. Cells expressing MTAP and possessing adenine salvage pathway activity may be less susceptible to malignancy due to growth-inhibitory actions of agents (e.g. antifolates), whose mechanism of action, in part, involves this de novo purine pathway.

Marker

Tumor Suppressor Marker

Clonality

Monoclonal

Host

Rabbit

Isotype

IgG

Theoretical MW

31 kDa.
Disclaimer note: The observed molecular weight of the protein may vary from the listed predicted molecular weight due to post translational modifications, post translation cleavages, relative charges, and other experimental factors.

Description

200ug/ml of antibody purified from Bioreactor Concentrate by Protein A or G. Prepared in 10 mM PBS with 0.05% BSA & 0.05% azide. Also available WITHOUT BSA & azide at 1.0 mg/ml. (NBP3-08965)

Antibody with azide - store at 2 to 8C. Antibody without azide - store at -20 to -80C.

Scientific Data Images for MTAP Antibody (MTAP/3137R)

Western Blot: MTAP Antibody (MTAP/3137R) [NBP3-07220]

Western Blot: MTAP Antibody (MTAP/3137R) [NBP3-07220]

Western Blot: MTAP Antibody (MTAP/3137R) [NBP3-07220] - Western Blot Analysis of human HeLa, A431, HepG2, HAP1, U937 cell lysates using MTAP Recombinant Rabbit Monoclonal Antibody (MTAP/3137R).
Immunohistochemistry-Paraffin: MTAP Antibody (MTAP/3137R) [NBP3-07220]

Immunohistochemistry-Paraffin: MTAP Antibody (MTAP/3137R) [NBP3-07220]

Immunohistochemistry-Paraffin: MTAP Antibody (MTAP/3137R) [NBP3-07220] - Formalin-fixed, paraffin-embedded human Kidney stained with MTAP Recombinant Rabbit Monoclonal Antibody (MTAP/3137R).
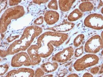
Immunohistochemistry-Paraffin: MTAP Antibody (MTAP/3137R) [NBP3-07220]

Immunohistochemistry-Paraffin: MTAP Antibody (MTAP/3137R) [NBP3-07220]

Immunohistochemistry-Paraffin: MTAP Antibody (MTAP/3137R) [NBP3-07220] - Formalin-fixed, paraffin-embedded human Kidney stained with MTAP Recombinant Rabbit Monoclonal Antibody (MTAP/3137R).

Applications for MTAP Antibody (MTAP/3137R)

Application
Recommended Usage

ELISA

2-4 ug/ml

Immunohistochemistry-Paraffin

1-2 ug/ml

Western Blot

1-2 ug/ml
Application Notes
ELISA: Use Ab at 2-4ug/ml for coating. Order Ab without BSA.
Immunohistochemistry (Formalin-fixed): 1-2ug/ml for 30 minutes at RT. Staining of formalin-fixed tissues requires heating tissue sections in 10mM Tris with 1mM EDTA, pH 9.0, for 45 min at 95C followed by cooling at RT for 20 minutes.
Optimal dilution for a specific application should be determined.

Formulation, Preparation, and Storage

Purification

Protein A or G purified

Formulation

10 mM PBS with 0.05% BSA

Preservative

0.05% Sodium Azide

Concentration

0.2 mg/ml

Shipping

The product is shipped with polar packs. Upon receipt, store it immediately at the temperature recommended below.

Stability & Storage

Store at 4C.

Background: MTAP

MTAP encodes an enzyme that plays a major role in polyamine metabolism and is important for the salvage of both adenine and methionine. The encoded enzyme is deficient in many cancers because this gene and the tumor suppressor p16 gene are co-deleted. Multiple alternatively spliced transcript variants have been described for this gene, but their full-length natures remain unknown.

Long Name

5'-Methylthioadenosine Phosphorylase

Alternate Names

BDMF, C86fus, DMSFH, DMSMFH, HEL-249, LGMBF, MTAPase

Gene Symbol

MTAP

UniProt

Additional MTAP Products

Product Documents for MTAP Antibody (MTAP/3137R)

Certificate of Analysis

To download a Certificate of Analysis, please enter a lot number in the search box below.

Product Specific Notices for MTAP Antibody (MTAP/3137R)

This product is for research use only and is not approved for use in humans or in clinical diagnosis. Primary Antibodies are guaranteed for 1 year from date of receipt.

Loading...
Loading...
Loading...
Loading...