MT2A Antibody - BSA Free
Novus Biologicals, part of Bio-Techne | Catalog # NBP3-15974
Key Product Details
Species Reactivity
Human, Mouse, Rat
Applications
Immunohistochemistry, Immunohistochemistry-Paraffin, Western Blot, ELISA
Label
Unconjugated
Antibody Source
Polyclonal Rabbit IgG
Format
BSA Free
Concentration
Please see the vial label for concentration. If unlisted please contact technical services.
Product Specifications
Immunogen
Recombinant fusion protein containing a sequence corresponding to amino acids 1-61 of human MT2A (NP_005944.1). MDPNCSCAAGDSCTCAGSCKCKECKCTSCKKSCCSCCPVGCAKCAQGCICKGASDKCSCCA
Clonality
Polyclonal
Host
Rabbit
Isotype
IgG
Theoretical MW
6 kDa.
Disclaimer note: The observed molecular weight of the protein may vary from the listed predicted molecular weight due to post translational modifications, post translation cleavages, relative charges, and other experimental factors.
Disclaimer note: The observed molecular weight of the protein may vary from the listed predicted molecular weight due to post translational modifications, post translation cleavages, relative charges, and other experimental factors.
Scientific Data Images for MT2A Antibody - BSA Free
Western Blot: MT2A AntibodyAzide and BSA Free [NBP3-15974]
Western Blot: MT2A Antibody [NBP3-15974] - Analysis of extracts of various cell lines, using MT2A Rabbit pAb (NBP3-15974) at 1:1000 dilution. Secondary antibody: HRP Goat Anti-Rabbit IgG (H+L) at 1:10000 dilution. Lysates/proteins: 25ug per lane. Blocking buffer: 3% nonfat dry milk in TBST. Detection: ECL Basic Kit. Exposure time: 30s.Immunohistochemistry-Paraffin: MT2A Antibody - Azide and BSA Free [NBP3-15974]
Immunohistochemistry-Paraffin: MT2A Antibody [NBP3-15974] - Rat ovary using MT2A Rabbit pAb (NBP3-15974) at dilution of 1:150 (40x lens).Perform high pressure antigen retrieval with 10 mM citrate buffer pH 6.0 before commencing with IHC staining protocol.Immunohistochemistry-Paraffin: MT2A Antibody - Azide and BSA Free [NBP3-15974]
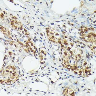
Immunohistochemistry-Paraffin: MT2A Antibody [NBP3-15974] - Human liver cancer using MT2A Rabbit pAb (NBP3-15974) at dilution of 1:150 (40x lens).Perform high pressure antigen retrieval with 10 mM citrate buffer pH 6.0 before commencing with IHC staining protocol.Applications for MT2A Antibody - BSA Free
Application
Recommended Usage
ELISA
Recommended starting concentration is 1 μg/mL. Please optimize the concentration based on your specific assay requirements.
Immunohistochemistry
1:50 - 1:200
Western Blot
1:500 - 1:2000
Formulation, Preparation, and Storage
Purification
Affinity purified
Formulation
PBS (pH 7.3), 50% glycerol
Format
BSA Free
Preservative
0.09% Sodium Azide
Concentration
Please see the vial label for concentration. If unlisted please contact technical services.
Shipping
The product is shipped with polar packs. Upon receipt, store it immediately at the temperature recommended below.
Stability & Storage
Store at -20C. Avoid freeze-thaw cycles.
Background: MT2A
Long Name
Metallothionein 2A
Alternate Names
MT-II
Gene Symbol
MT2A
Additional MT2A Products
Product Documents for MT2A Antibody - BSA Free
Product Specific Notices for MT2A Antibody - BSA Free
This product is for research use only and is not approved for use in humans or in clinical diagnosis. Primary Antibodies are guaranteed for 1 year from date of receipt.
Loading...
Loading...
Loading...
Loading...
⚠ WARNING: This product can expose you to chemicals including Methotrexate, which is known to the State of California to cause reproductive toxicity with developmental effects. For more information, go to www.P65Warnings.ca.gov