Skip to main content

MST1/STK4 Antibody - BSA Free

Novus Biologicals, part of Bio-Techne | Catalog # NBP1-31233

Novus Biologicals, part of Bio-Techne
Catalog #
Availability
Size / Price
Qty
Loading...
NBP1-31233

Key Product Details

Validated by

Knockout/Knockdown

Species Reactivity

Validated:

Human

Predicted:

Bovine (100%), Chicken (100%), Mouse (100%), Rat (100%), Rhesus Macaque (100%). Backed by our 100% Guarantee.

Applications

Knockout Validated, Immunohistochemistry, Immunohistochemistry-Paraffin, Western Blot, Immunocytochemistry/ Immunofluorescence, Immunoprecipitation

Label

Unconjugated

Antibody Source

Polyclonal Rabbit IgG

Format

BSA Free

Concentration

Concentrations vary lot to lot. See vial label for concentration. If unlisted please contact technical services.

Product Specifications

Immunogen

Carrier-protein conjugated synthetic peptide encompassing a sequence within the C-terminus region of human MST1/STK4. The exact sequence is proprietary.

Localization

Cytoplasm, Nucleus

Clonality

Polyclonal

Host

Rabbit

Isotype

IgG

Theoretical MW

56 kDa.
Disclaimer note: The observed molecular weight of the protein may vary from the listed predicted molecular weight due to post translational modifications, post translation cleavages, relative charges, and other experimental factors.

Description

Novus Biologicals Knockout (KO) Validated Rabbit MST1/STK4 Antibody - BSA Free (NBP1-31233) is a polyclonal antibody validated for use in IHC, WB, ICC/IF and IP. All Novus Biologicals antibodies are covered by our 100% guarantee.

Scientific Data Images for MST1/STK4 Antibody - BSA Free

Immunocytochemistry/ Immunofluorescence: STK4 Antibody [NBP1-31233]

Immunocytochemistry/ Immunofluorescence: STK4 Antibody [NBP1-31233]

Immunocytochemistry/Immunofluorescence: STK4 Antibody [NBP1-31233] - Paraformaldehyde-fixed U2OS, using STK4 antibody (Green) at 1:500 dilution. Alpha-tubulin filaments were labeled with an alpha Tubulin antibody (Red) at 1:2000.
Immunohistochemistry-Paraffin: STK4 Antibody [NBP1-31233]

Immunohistochemistry-Paraffin: STK4 Antibody [NBP1-31233]

Immunohistochemistry-Paraffin: STK4 Antibody [NBP1-31233] - Human lung adenocarcinoma. STK4 antibody diluted at 1:500. Antigen Retrieval: Citrate buffer, pH 6.0, 15 min.
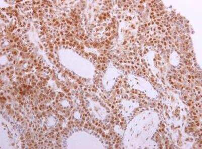
Immunohistochemistry-Paraffin: STK4 Antibody [NBP1-31233]

Immunohistochemistry-Paraffin: STK4 Antibody [NBP1-31233]

Immunohistochemistry-Paraffin: STK4 Antibody [NBP1-31233] - Cal27 xenograft, using MST1 antibody at 1:500 dilution. Antigen Retrieval: Citrate buffer, pH 6.0, 15 min.

Applications for MST1/STK4 Antibody - BSA Free

Application
Recommended Usage

Immunocytochemistry/ Immunofluorescence

1:100-1:1000

Immunohistochemistry

1:100-1:1000

Immunohistochemistry-Paraffin

1:100-1:1000

Immunoprecipitation

1:100-1:500

Western Blot

1:500-1:3000

Formulation, Preparation, and Storage

Purification

Antigen Affinity-purified

Formulation

0.1M Tris, 0.1M Glycine, 10% Glycerol

Format

BSA Free

Preservative

0.01% Thimerosal

Concentration

Concentrations vary lot to lot. See vial label for concentration. If unlisted please contact technical services.

Shipping

The product is shipped with polar packs. Upon receipt, store it immediately at the temperature recommended below.

Stability & Storage

Aliquot and store at -20C or -80C. Avoid freeze-thaw cycles.

Background: MST1/STK4

The human serine/threonine kinase, mammalian STE20-like kinase (MST), is considerably homologous to the budding yeast kinases, SPS1 and STE20, throughout their kinase domains. When stably expressed in HeLa cells, MST highly sensitizes the cells to death receptor-mediated apoptosis by accelerating caspase-3 activation. These findings suggest that MST1 and MST2 play a role in apoptosis both upstream and downstream of caspase activation (1). MST1 is cleaved and activated by caspases during apoptosis and is capable of inducing apoptotic morphological changes such as chromatin condensation upon overexpression (2). Mammalian Sterile 20-Like 2 (Mst2) is most similar to the previously identified Mst1 protein kinase (78% identity, 88% similarity). Northern analysis indicates that MST2 mRNA is expressed at high levels in adult kidney, skeletal and placental tissues and at very low levels in adult heart, lung, liver and brain tissues. An in-vitro kinase assay indicates that Mst2 can phosphorylate an exogenous substrate, as well as itself, and phospho-amino-acid analysis indicates that it is a serine/threonine protein kinase (3)

Long Name

Mammalian STE20-like Protein Kinase 1/Serine/Threonine Protein Kinase 4

Alternate Names

KRS2, STK4, YSK3

Gene Symbol

STK4

Additional MST1/STK4 Products

Product Documents for MST1/STK4 Antibody - BSA Free

Certificate of Analysis

To download a Certificate of Analysis, please enter a lot number in the search box below.

Product Specific Notices for MST1/STK4 Antibody - BSA Free

This product is for research use only and is not approved for use in humans or in clinical diagnosis. Primary Antibodies are guaranteed for 1 year from date of receipt.

Loading...
Loading...
Loading...
Loading...

⚠ WARNING: This product can expose you to chemicals including mercury, which is known to the State of California to cause reproductive toxicity with developmental effects.  For more information go to www.P65Warnings.ca.gov.