Skip to main content

MSRB3 Antibody (OTI2A2)

Novus Biologicals, part of Bio-Techne | Catalog # NBP2-46023

Novus Biologicals, part of Bio-Techne
Catalog #
Availability
Size / Price
Qty
Loading...
NBP2-46023
Conjugate
Catalog #

Key Product Details

Species Reactivity

Human, Mouse, Rat

Applications

Immunohistochemistry, Immunohistochemistry-Paraffin, Western Blot

Label

Unconjugated

Antibody Source

Monoclonal Mouse IgG1 Clone # OTI2A2

Concentration

1 mg/ml

Product Specifications

Immunogen

Human recombinant protein fragment corresponding to amino acids 33-192 of human MSRB3 (NP_932346) produced in E.coli.

Reactivity Notes

Please note that this antibody is reactive to Mouse and derived from the same host, Mouse. Mouse-On-Mouse blocking reagent may be needed for IHC and ICC experiments to reduce high background signal. You can find these reagents under catalog numbers PK-2200-NB and MP-2400-NB. Please contact Technical Support if you have any questions.

Clonality

Monoclonal

Host

Mouse

Isotype

IgG1

Theoretical MW

20.5 kDa.
Disclaimer note: The observed molecular weight of the protein may vary from the listed predicted molecular weight due to post translational modifications, post translation cleavages, relative charges, and other experimental factors.

Scientific Data Images for MSRB3 Antibody (OTI2A2)

Western Blot: MSRB3 Antibody (OTI2A2) [NBP2-46023]

Western Blot: MSRB3 Antibody (OTI2A2) [NBP2-46023]

Western Blot: MSRB3 Antibody (2A2) [NBP2-46023] - Analysis of HEK293T cells were transfected with the pCMV6-ENTRY control (Left lane) or pCMV6-ENTRY MSRB3 .
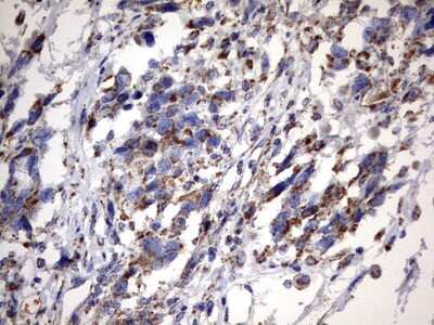
Immunohistochemistry: MSRB3 Antibody (OTI2A2) [NBP2-46023]

Immunohistochemistry: MSRB3 Antibody (OTI2A2) [NBP2-46023]

Immunohistochemistry: MSRB3 Antibody (OTI2A2) [NBP2-46023] - Human Grade I and II meningiomas from whole cell lysate, Sample Amount: 40 ug. Image from verified customer review.
Immunohistochemistry: MSRB3 Antibody (OTI2A2) [NBP2-46023]

Immunohistochemistry: MSRB3 Antibody (OTI2A2) [NBP2-46023]

Immunohistochemistry: MSRB3 Antibody (2A2) [NBP2-46023] - Analysis of Human liver tissue within the normal limits using MSRB3 mouse monoclonal antibody. (Heat-induced epitope retrieval by 10mM citric buffer, pH6.0, 120C for 3min)

Applications for MSRB3 Antibody (OTI2A2)

Application
Recommended Usage

Immunohistochemistry

1:150

Western Blot

1:2000

Reviewed Applications

Read 1 review rated 4 using NBP2-46023 in the following applications:

Formulation, Preparation, and Storage

Purification

Immunogen affinity purified

Formulation

PBS (pH 7.3), 1.0% BSA and 50% Glycerol

Preservative

0.02% Sodium Azide

Concentration

1 mg/ml

Shipping

The product is shipped with polar packs. Upon receipt, store it immediately at the temperature recommended below.

Stability & Storage

Store at -20C. Avoid freeze-thaw cycles.

Background: MSRB3

MSRB3 catalyzes the reduction of free and protein-bound methionine sulfoxide to methionine

Alternate Names

DFNB74, DKFZp686C1178, EC 1.8.4.-, EC 1.8.4.12, FLJ36866, methionine sulfoxide reductase B3, methionine-R-sulfoxide reductase B3, methionine-R-sulfoxide reductase B3, mitochondrial, MsrB3

Gene Symbol

MSRB3

Additional MSRB3 Products

Product Documents for MSRB3 Antibody (OTI2A2)

Certificate of Analysis

To download a Certificate of Analysis, please enter a lot number in the search box below.

Product Specific Notices for MSRB3 Antibody (OTI2A2)

This product is for research use only and is not approved for use in humans or in clinical diagnosis. Primary Antibodies are guaranteed for 1 year from date of receipt.

Loading...
Loading...
Loading...
Loading...