Skip to main content

MSRB2 Antibody - BSA Free

Novus Biologicals, part of Bio-Techne | Catalog # NBP2-94608

Novus Biologicals, part of Bio-Techne
Catalog #
Availability
Size / Price
Qty
Loading...
NBP2-94608-0.02ml
NBP2-94608-0.1ml

Key Product Details

Species Reactivity

Human, Mouse, Rat

Applications

Immunohistochemistry, Immunohistochemistry-Paraffin, Western Blot

Label

Unconjugated

Antibody Source

Polyclonal Rabbit IgG

Format

BSA Free

Concentration

Please see the vial label for concentration. If unlisted please contact technical services.

Product Specifications

Immunogen

Recombinant fusion protein containing a sequence corresponding to amino acids 10-182 of human MSRB2 (NP_036360.3). GLTLGTAPRRAVRGQAGGGGPGTGPGLGEAGSLATCELPLAKSEWQKKLTPEQFYVTREKGTEPPFSGIYLNNKEAGMYHCVCCDSPLFSSEKKYCSGTGWPSFSEAHGTSGSDESHTGILRRLDTSLGSARTEVVCKQCEAHLGHVFPDGPGPNGQRFCINSVALKFKPRKH

Clonality

Polyclonal

Host

Rabbit

Isotype

IgG

Theoretical MW

19 kDa.
Disclaimer note: The observed molecular weight of the protein may vary from the listed predicted molecular weight due to post translational modifications, post translation cleavages, relative charges, and other experimental factors.

Description

Novus Biologicals Rabbit MSRB2 Antibody - BSA Free (NBP2-94608) is a polyclonal antibody validated for use in IHC and WB. All Novus Biologicals antibodies are covered by our 100% guarantee.

Scientific Data Images for MSRB2 Antibody - BSA Free

Western Blot: MSRB2 AntibodyBSA Free [NBP2-94608]

Western Blot: MSRB2 AntibodyBSA Free [NBP2-94608]

Western Blot: MSRB2 Antibody [NBP2-94608] - Analysis of extracts of various cell lines, using MSRB2 at 1:1000 dilution.Secondary antibody: HRP Goat Anti-Rabbit IgG (H+L) at 1:10000 dilution.Lysates/proteins: 25ug per lane.Blocking buffer: 3% nonfat dry milk in TBST.Detection: ECL Basic Kit .Exposure time: 10s.
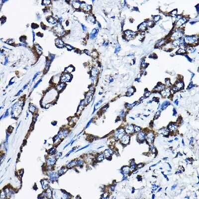
Immunohistochemistry-Paraffin: MSRB2 Antibody - BSA Free [NBP2-94608]

Immunohistochemistry-Paraffin: MSRB2 Antibody - BSA Free [NBP2-94608]

Immunohistochemistry-Paraffin: MSRB2 Antibody [NBP2-94608] - Human lung cancer using MSRB2 Rabbit pAb (NBP2-94608) at dilution of 1:200 (40x lens). Perform high pressure antigen retrieval with 10 mM citrate buffer pH 6.0 before commencing with IHC staining protocol.

Applications for MSRB2 Antibody - BSA Free

Application
Recommended Usage

Immunohistochemistry

1:50 - 1:200

Western Blot

1:500-1:2000

Formulation, Preparation, and Storage

Purification

Affinity purified

Formulation

PBS (pH 7.3), 50% glycerol

Format

BSA Free

Preservative

0.02% Sodium Azide

Concentration

Please see the vial label for concentration. If unlisted please contact technical services.

Shipping

The product is shipped with polar packs. Upon receipt, store it immediately at the temperature recommended below.

Stability & Storage

Store at -20C. Avoid freeze-thaw cycles.

Background: MSRB2

MSRB2 catalyzes the reduction of trans-2-enoyl-CoA to acyl-CoA with chain length from C6 to C16 in an NADPH-dependent manner with preference to medium chain length substrate. May have a role in the mitochondrial synthesis of fatty acids

Alternate Names

CBS1, CBS-1methionine-r-sulfoxide reductase B2 variant 3, CGI-131, EC 1.8.4, EC 1.8.4.-, EC 1.8.4.12, methionine sulfoxide reductase B, methionine sulfoxide reductase B2, methionine-r-sulfoxide reductase B2 variant 1, methionine-R-sulfoxide reductase B2, mitochondrial, MGC26104, MSRB, MsrB2, PILB, pilin-like transcription factor

Gene Symbol

MSRB2

Additional MSRB2 Products

Product Documents for MSRB2 Antibody - BSA Free

Certificate of Analysis

To download a Certificate of Analysis, please enter a lot number in the search box below.

Product Specific Notices for MSRB2 Antibody - BSA Free

This product is for research use only and is not approved for use in humans or in clinical diagnosis. Primary Antibodies are guaranteed for 1 year from date of receipt.

Loading...
Loading...
Loading...
Loading...