Skip to main content

MSRB2 Antibody - BSA Free

Novus Biologicals, part of Bio-Techne | Catalog # NBP1-86594

Novus Biologicals, part of Bio-Techne
Catalog #
Availability
Size / Price
Qty
Loading...
NBP1-86594
NBP1-86594-25ul

Key Product Details

Validated by

Orthogonal Validation

Species Reactivity

Human

Applications

Immunohistochemistry, Immunohistochemistry-Paraffin, Western Blot

Label

Unconjugated

Antibody Source

Polyclonal Rabbit IgG

Format

BSA Free

Concentration

Concentrations vary lot to lot. See vial label for concentration. If unlisted please contact technical services.

Product Specifications

Immunogen

This antibody was developed against Recombinant Protein corresponding to amino acids: TCELPLAKSEWQKKLTPEQFYVTREKGTEPPFSGIYLNNKEAGMYHCVCCDSPLFSSEKKYCSGTGWPSFSEAHGTSGSDESHTGILRRLDTSLGSARTEVVCKQCEAHLGHVFPDGPGPNGQRFCINSV

Reactivity Notes

Immunogen displays the following percentage of sequence identity for non-tested species: Mouse (85%), Rat (87%)

Clonality

Polyclonal

Host

Rabbit

Isotype

IgG

Description

Novus Biologicals Rabbit MSRB2 Antibody - BSA Free (NBP1-86594) is a polyclonal antibody validated for use in IHC and WB. All Novus Biologicals antibodies are covered by our 100% guarantee.

Scientific Data Images for MSRB2 Antibody - BSA Free

MSRB2 Antibody - BSA Free Immunohistochemistry-Paraffin: MSRB2 Antibody - BSA Free [NBP1-86594]

Immunohistochemistry-Paraffin: MSRB2 Antibody - BSA Free [NBP1-86594]

Analysis in human kidney and tonsil tissues Corresponding MSRB2 RNA-seq data are presented for the same tissues.
MSRB2 Antibody - BSA Free Immunohistochemistry-Paraffin: MSRB2 Antibody - BSA Free [NBP1-86594]

Immunohistochemistry-Paraffin: MSRB2 Antibody - BSA Free [NBP1-86594]

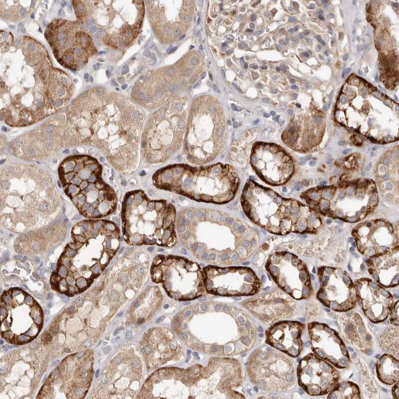
Staining of human kidney shows moderate to strong cytoplasmic positivity in cells in tubules.
MSRB2 Antibody - BSA Free Immunohistochemistry-Paraffin: MSRB2 Antibody - BSA Free [NBP1-86594]

Immunohistochemistry-Paraffin: MSRB2 Antibody - BSA Free [NBP1-86594]

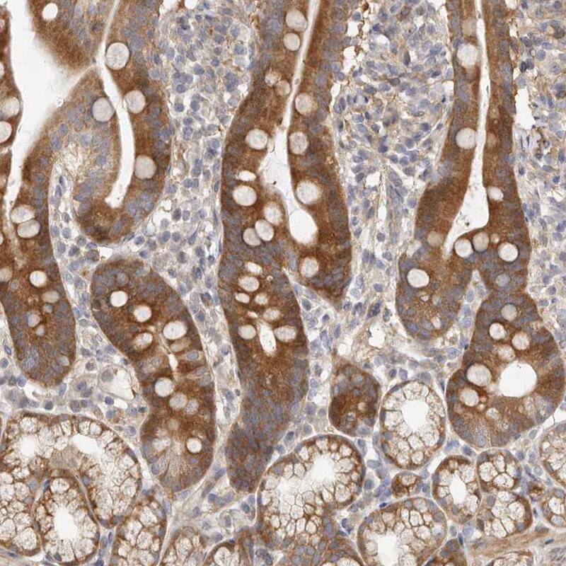
Staining of human duodenum shows strong cytoplasmic positivity in glandular cells.

Applications for MSRB2 Antibody - BSA Free

Application
Recommended Usage

Immunohistochemistry

1:200 - 1:500

Immunohistochemistry-Paraffin

1:200 - 1:500

Western Blot

0.04-0.4 ug/ml
Application Notes
For IHC-Paraffin, HIER pH 6 retrieval is recommended.

Formulation, Preparation, and Storage

Purification

Immunogen affinity purified

Formulation

PBS (pH 7.2) and 40% Glycerol

Format

BSA Free

Preservative

0.02% Sodium Azide

Concentration

Concentrations vary lot to lot. See vial label for concentration. If unlisted please contact technical services.

Shipping

The product is shipped with polar packs. Upon receipt, store it immediately at the temperature recommended below.

Stability & Storage

Store at 4C short term. Aliquot and store at -20C long term. Avoid freeze-thaw cycles.

Background: MSRB2

MSRB2 catalyzes the reduction of trans-2-enoyl-CoA to acyl-CoA with chain length from C6 to C16 in an NADPH-dependent manner with preference to medium chain length substrate. May have a role in the mitochondrial synthesis of fatty acids

Alternate Names

CBS1, CBS-1methionine-r-sulfoxide reductase B2 variant 3, CGI-131, EC 1.8.4, EC 1.8.4.-, EC 1.8.4.12, methionine sulfoxide reductase B, methionine sulfoxide reductase B2, methionine-r-sulfoxide reductase B2 variant 1, methionine-R-sulfoxide reductase B2, mitochondrial, MGC26104, MSRB, MsrB2, PILB, pilin-like transcription factor

Gene Symbol

MSRB2

Additional MSRB2 Products

Product Documents for MSRB2 Antibody - BSA Free

Certificate of Analysis

To download a Certificate of Analysis, please enter a lot number in the search box below.

Product Specific Notices for MSRB2 Antibody - BSA Free

This product is for research use only and is not approved for use in humans or in clinical diagnosis. Primary Antibodies are guaranteed for 1 year from date of receipt.

Loading...
Loading...
Loading...
Loading...