Skip to main content

MSH6 Antibody (CL13844) - BSA Free

Novus Biologicals, part of Bio-Techne | Catalog # NBP3-24582

Novus Biologicals, part of Bio-Techne
Catalog #
Availability
Size / Price
Qty
Loading...
NBP3-24582-25ul
NBP3-24582-100ul

Key Product Details

Validated by

Orthogonal Validation

Species Reactivity

Human

Applications

Immunohistochemistry, Immunohistochemistry-Paraffin, Western Blot

Label

Unconjugated

Antibody Source

Monoclonal Mouse IgG2B Clone # CL13844

Format

BSA Free

Concentration

Concentrations vary lot to lot. See vial label for concentration. If unlisted please contact technical services.

Product Specifications

Immunogen

This antibody was developed using a synthetic peptide derived from P52701, with the exact immunogen sequence remaining proprietary.

Clonality

Monoclonal

Host

Mouse

Isotype

IgG2B

Description

Novus Biologicals Mouse MSH6 Antibody (CL13844) - BSA Free (NBP3-24582) is a monoclonal antibody validated for use in IHC and WB. All Novus Biologicals antibodies are covered by our 100% guarantee.

Scientific Data Images for MSH6 Antibody (CL13844) - BSA Free

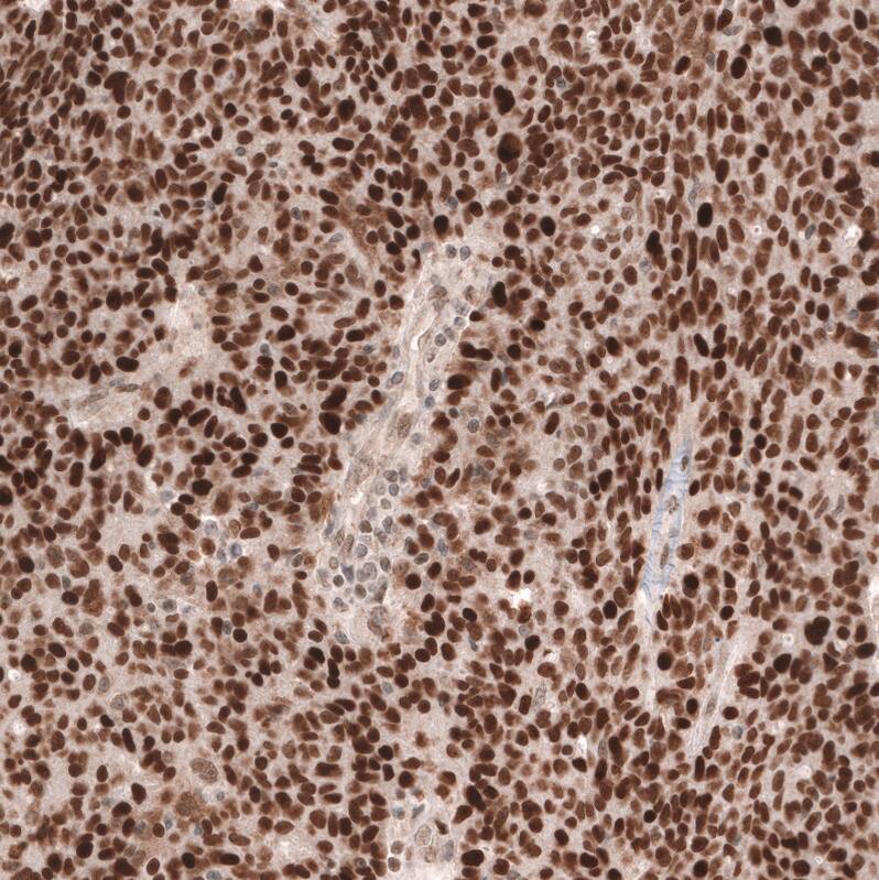
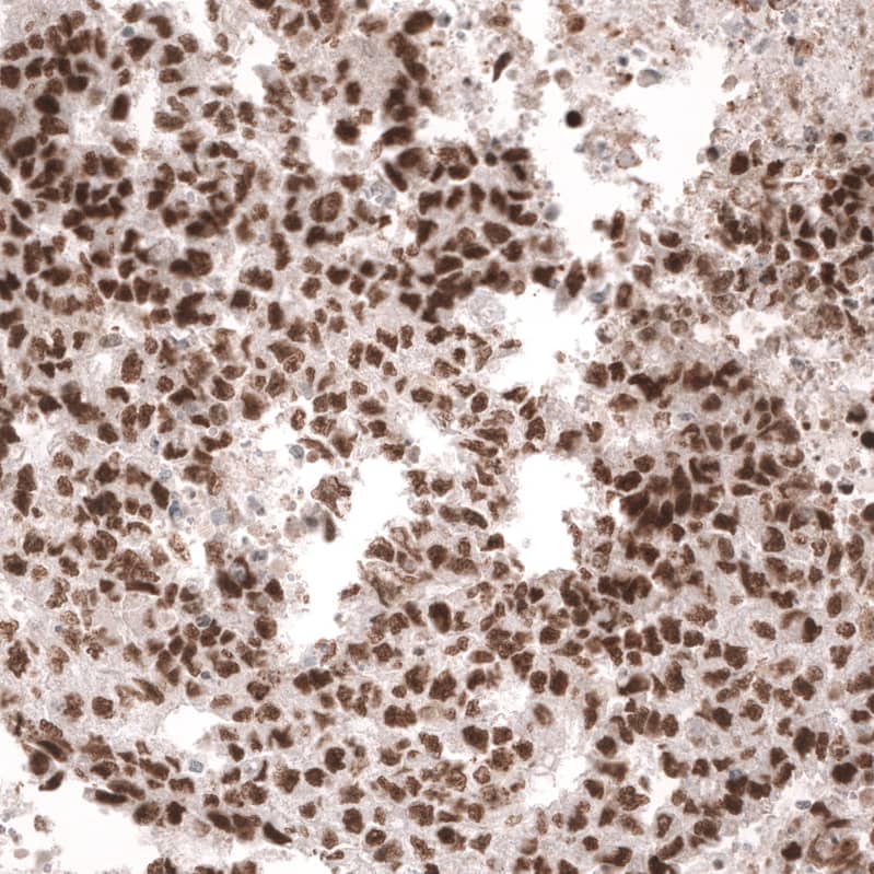
Immunohistochemistry-Paraffin: MSH6 Antibody (CL13844) [NBP3-24582]

Staining of human breast cancer (ductal carcinoma) shows strong nuclear positivity in tumor cells.

Immunohistochemistry-Paraffin: MSH6 Antibody (CL13844) [NBP3-24582]

Staining of human skeletal muscle shows no positivity in myocytes as expected.

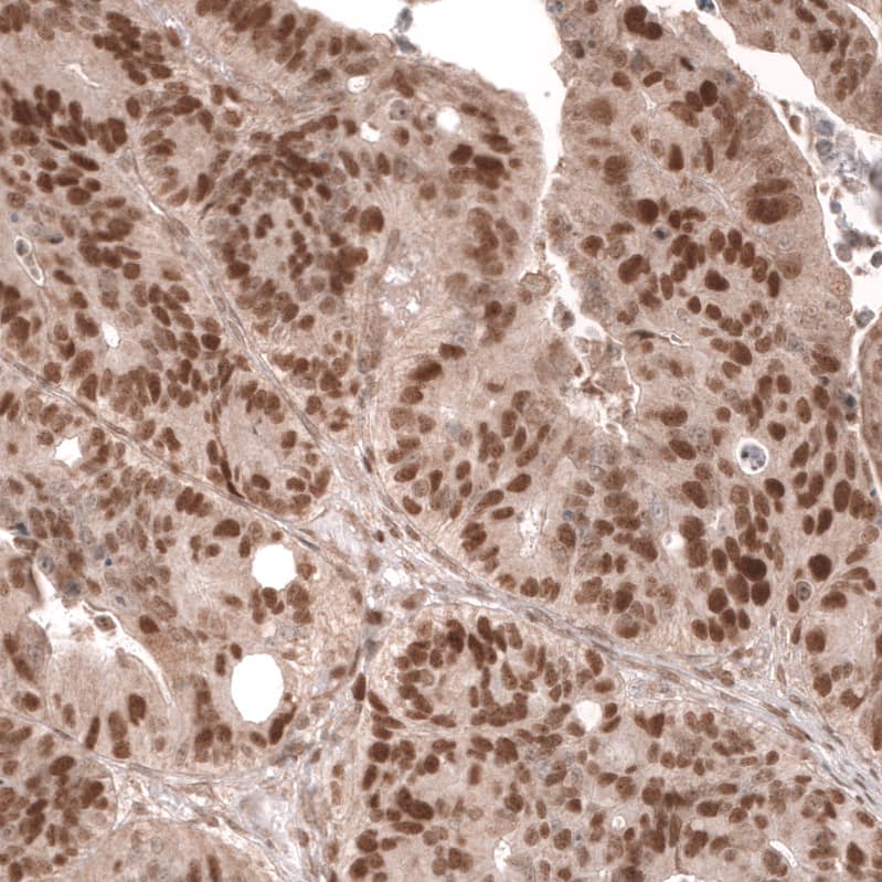
Immunohistochemistry-Paraffin: MSH6 Antibody (CL13844) [NBP3-24582]

Staining of human ovarian cancer (high grade serous carcinoma) shows strong nuclear positivity in tumor cells.

Applications for MSH6 Antibody (CL13844) - BSA Free

Application
Recommended Usage

Immunohistochemistry

1:1000 - 1:2500

Immunohistochemistry-Paraffin

1:1000 - 1:2500

Western Blot

1ug/ml
Application Notes
IHC-Paraffin, we recommend using Heat-Induced Epitope Retrieval (HIER) with a pH level of 6. This optimized retrieval method ensures the best results for your experiments.

Formulation, Preparation, and Storage

Purification

Protein A purified

Formulation

PBS (pH 7.2) and 40% Glycerol

Format

BSA Free

Preservative

0.02% Sodium Azide

Concentration

Concentrations vary lot to lot. See vial label for concentration. If unlisted please contact technical services.

Shipping

The product is shipped with polar packs. Upon receipt, store it immediately at the temperature recommended below.

Stability & Storage

Store at 4C short term. Aliquot and store at -20C long term. Avoid freeze-thaw cycles.

Background: MSH6

MSH6 is a mismatch-repair protein. It plays a role in tumor suppression. Genomic mutations in MSH6 predispose to the hereditary non-polyposis colorectal cancer (HNPCC) syndrome.

Alternate Names

DNA mismatch repair protein Msh6, G/T mismatch-binding protein, GTBPHNPCC5, GTMBP, hMSH6, HSAP, mutS (E. coli) homolog 6, mutS homolog 6 (E. coli), MutS-alpha 160 kDa subunit, p160, sperm-associated protein

Gene Symbol

MSH6

Additional MSH6 Products

Product Documents for MSH6 Antibody (CL13844) - BSA Free

Certificate of Analysis

To download a Certificate of Analysis, please enter a lot number in the search box below.

Product Specific Notices for MSH6 Antibody (CL13844) - BSA Free

This product is for research use only and is not approved for use in humans or in clinical diagnosis. Primary Antibodies are guaranteed for 1 year from date of receipt.

Loading...
Loading...
Loading...
Loading...
Loading...