Skip to main content

MRRF Antibody (1D3) - Azide and BSA Free

Novus Biologicals, part of Bio-Techne | Catalog # H00092399-M01

Novus Biologicals, part of Bio-Techne
Catalog #
Availability
Size / Price
Qty
Loading...
H00092399-M01

Key Product Details

Species Reactivity

Human

Applications

Immunohistochemistry, Immunohistochemistry-Paraffin, Western Blot, ELISA, Sandwich ELISA

Label

Unconjugated

Antibody Source

Monoclonal Mouse IgG2a Kappa Clone # 1D3

Format

Azide and BSA Free

Concentration

Concentrations vary lot to lot. See vial label for concentration. If unlisted please contact technical services.

Product Specifications

Immunogen

MRRF (NP_620132, 163 a.a. ~ 262 a.a) partial recombinant protein with GST tag. MW of the GST tag alone is 26 KDa. RESGMNLNPEVEGTLIRVPIPQVTREHREMLVKLAKQNTNKAKDSLRKVRTNSMNKLKKSKDTVSEDTIRLIEKQISQMADDTVAELDRHLAVKTKELLG

Reactivity Notes

Human. Other species not tested.

Specificity

MRRF (1D3)

Clonality

Monoclonal

Host

Mouse

Isotype

IgG2a Kappa

Scientific Data Images for MRRF Antibody (1D3) - Azide and BSA Free

Western Blot: MRRF Antibody (1D3) [H00092399-M01]

Western Blot: MRRF Antibody (1D3) [H00092399-M01]

Western Blot: MRRF Antibody (1D3) [H00092399-M01] - MRRF monoclonal antibody (M01), clone 1D3 Analysis of MRRF expression in A-431.
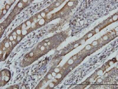
Immunohistochemistry-Paraffin: MRRF Antibody (1D3) [H00092399-M01]

Immunohistochemistry-Paraffin: MRRF Antibody (1D3) [H00092399-M01]

Immunohistochemistry-Paraffin: MRRF Antibody (1D3) [H00092399-M01] - Analysis of monoclonal antibody to MRRF on formalin-fixed paraffin-embedded human small Intestine. Antibody concentration 3 ug/ml.
Sandwich ELISA: MRRF Antibody (1D3) [H00092399-M01] - Detection limit for recombinant GST tagged MRRF is approximately 0.03ng/ml as a capture antibody.

Applications for MRRF Antibody (1D3) - Azide and BSA Free

Application
Recommended Usage

Western Blot

1:500
Application Notes
Antibody reactive against cell lysate and recombinant protein for Western Blot. Has also been used for immunohistochemistry (paraffin) and ELISA.

Formulation, Preparation, and Storage

Purification

IgG purified

Formulation

In 1x PBS, pH 7.4

Format

Azide and BSA Free

Preservative

No Preservative

Concentration

Concentrations vary lot to lot. See vial label for concentration. If unlisted please contact technical services.

Shipping

The product is shipped with polar packs. Upon receipt, store it immediately at the temperature recommended below.

Stability & Storage

Aliquot and store at -20C or -80C. Avoid freeze-thaw cycles.

Background: MRRF

Responsible for the release of ribosomes from messenger RNA at the termination of protein biosynthesis. Mayincrease the efficiency of translation by recycling ribosomes from one round of translation to another

Alternate Names

mitochondrial, mitochondrial ribosome recycling factor, MTRRF

Entrez Gene IDs

92399 (Human)

Gene Symbol

MRRF

OMIM

604602 (Human)

Additional MRRF Products

Product Documents for MRRF Antibody (1D3) - Azide and BSA Free

Certificate of Analysis

To download a Certificate of Analysis, please enter a lot number in the search box below.

Product Specific Notices for MRRF Antibody (1D3) - Azide and BSA Free

This product is produced by and distributed for Abnova, a company based in Taiwan.

This product is for research use only and is not approved for use in humans or in clinical diagnosis. Primary Antibodies are guaranteed for 1 year from date of receipt.

Loading...
Loading...
Loading...
Loading...