Skip to main content

MRPS15 Antibody - BSA Free

Novus Biologicals, part of Bio-Techne | Catalog # NBP2-87831

Novus Biologicals, part of Bio-Techne
Catalog #
Availability
Size / Price
Qty
Loading...
NBP2-87831

Key Product Details

Species Reactivity

Human

Applications

Immunohistochemistry, Immunohistochemistry-Paraffin, Western Blot

Label

Unconjugated

Antibody Source

Polyclonal Rabbit

Format

BSA Free

Concentration

0.5 mg/ml

Product Specifications

Immunogen

The immunogen is a synthetic peptide directed towards the N-terminal region of human MRPS15. Peptide sequence: FNQWGLQPRSLLLQAARGYVVRKPAQSRLDDDPPPSTLLKDYQNVPGIEK The peptide sequence for this immunogen was taken from within the described region.

Clonality

Polyclonal

Host

Rabbit

Description

Novus Biologicals Rabbit MRPS15 Antibody - BSA Free (NBP2-87831) is a polyclonal antibody validated for use in IHC and WB. All Novus Biologicals antibodies are covered by our 100% guarantee.

Scientific Data Images for MRPS15 Antibody - BSA Free

Western Blot: MRPS15 Antibody [NBP2-87831]

Western Blot: MRPS15 Antibody [NBP2-87831]

Western Blot: MRPS15 Antibody [NBP2-87831] - WB Suggested Anti-MRPS15 Antibody Titration: 0.2-1 ug/ml. ELISA Titer: 1:312500. Positive Control: Human Thymus
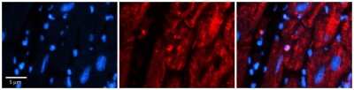
Immunohistochemistry-Paraffin: MRPS15 Antibody [NBP2-87831]

Immunohistochemistry-Paraffin: MRPS15 Antibody [NBP2-87831]

Immunohistochemistry-Paraffin: MRPS15 Antibody [NBP2-87831] - Formalin Fixed Paraffin Embedded Tissue: Human Adult heart. Observed Staining: Nuclear, Cytoplasmic. Primary Antibody Concentration: 1:600. Secondary Antibody: Donkey anti-Rabbit-Cy2/3.

Applications for MRPS15 Antibody - BSA Free

Application
Recommended Usage

Western Blot

1.0 ug/ml

Formulation, Preparation, and Storage

Purification

Affinity purified

Formulation

PBS, 2% Sucrose

Format

BSA Free

Preservative

0.09% Sodium Azide

Concentration

0.5 mg/ml

Shipping

The product is shipped with polar packs. Upon receipt, store it immediately at the temperature recommended below.

Stability & Storage

Store at 4C short term. Aliquot and store at -20C long term. Avoid freeze-thaw cycles.

Background: MRPS15

MRPS15, also known as Mitochondrial Ribosomal Protein S15, consists of a 257 kDa amino acid isoform that is 30 kDa, and is involved in mitochondrial protein synthesis. MRPS15 is currently not being used in any disease research. The protein has been linked to the process of translation, through which it interacts with proteins such as PTCD3, ICT1, MRPS27, ESR2, and ESR1.

Alternate Names

FLJ11564,28S ribosomal protein S15, mitochondrial, mitochondrial ribosomal protein S15, MPR-S15, MRP-S15, RPMS15, S15mt

Gene Symbol

MRPS15

Additional MRPS15 Products

Product Documents for MRPS15 Antibody - BSA Free

Certificate of Analysis

To download a Certificate of Analysis, please enter a lot number in the search box below.

Product Specific Notices for MRPS15 Antibody - BSA Free

This product is for research use only and is not approved for use in humans or in clinical diagnosis. Primary Antibodies are guaranteed for 1 year from date of receipt.

Loading...
Loading...
Loading...
Loading...