MRPS10 Antibody - BSA Free
Novus Biologicals, part of Bio-Techne | Catalog # NBP2-19409
Key Product Details
Species Reactivity
Human
Applications
Immunohistochemistry, Immunohistochemistry-Paraffin, Western Blot, Immunocytochemistry/ Immunofluorescence
Label
Unconjugated
Antibody Source
Polyclonal Rabbit IgG
Format
BSA Free
Concentration
Concentrations vary lot to lot. See vial label for concentration. If unlisted please contact technical services.
Product Specifications
Immunogen
Recombinant protein encompassing a sequence within the center region of human MRPS10. The exact sequence is proprietary.
Reactivity Notes
Immunogen displays the following percentage of sequence identity for non-tested species: Mouse (88%).
Localization
Mitochondrion
Clonality
Polyclonal
Host
Rabbit
Isotype
IgG
Theoretical MW
23 kDa.
Disclaimer note: The observed molecular weight of the protein may vary from the listed predicted molecular weight due to post translational modifications, post translation cleavages, relative charges, and other experimental factors.
Disclaimer note: The observed molecular weight of the protein may vary from the listed predicted molecular weight due to post translational modifications, post translation cleavages, relative charges, and other experimental factors.
Description
Novus Biologicals Rabbit MRPS10 Antibody - BSA Free (NBP2-19409) is a polyclonal antibody validated for use in IHC, WB and ICC/IF. All Novus Biologicals antibodies are covered by our 100% guarantee.
Scientific Data Images for MRPS10 Antibody - BSA Free
Western Blot: MRPS10 Antibody [NBP2-19409]
Western Blot: MRPS10 Antibody [NBP2-19409] - Sample (30 ug of whole cell lysate) A: IMR32 12% SDS PAGE gel, diluted at 1:1000.Immunocytochemistry/ Immunofluorescence: MRPS10 Antibody [NBP2-19409]
Immunocytochemistry/Immunofluorescence: MRPS10 Antibody [NBP2-19409] - Immunofluorescence analysis of methanol-fixed MCF-7, using antibody at 1:200 dilution.Immunohistochemistry: MRPS10 Antibody [NBP2-19409] -
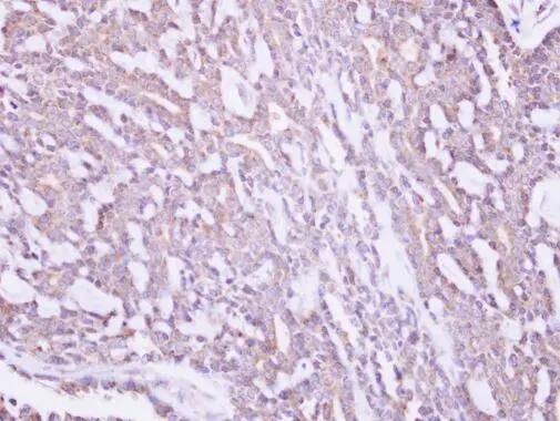
Immunohistochemistry: MRPS10 Antibody [NBP2-19409] - MRPS10 antibody [N1C3] detects MRPS10 protein at cytosol on human breast carcinoma by immunohistochemical analysis.Sample: MRPS10 antibody [N1C3] (NBP2-19409) dilution: 1:250.
Antigen Retrieval: Trilogy™ (EDTA based, pH 8.0) buffer, 15min
Applications for MRPS10 Antibody - BSA Free
Application
Recommended Usage
Immunocytochemistry/ Immunofluorescence
1:100-1:1000
Immunohistochemistry
10 - 1:500
Immunohistochemistry-Paraffin
1:100-1:1000
Western Blot
1:500-1:3000
Formulation, Preparation, and Storage
Purification
Antigen Affinity-purified
Formulation
0.1M Tris, 0.1M Glycine, 20% Glycerol
Format
BSA Free
Preservative
0.01% Thimerosal
Concentration
Concentrations vary lot to lot. See vial label for concentration. If unlisted please contact technical services.
Shipping
The product is shipped with polar packs. Upon receipt, store it immediately at the temperature recommended below.
Stability & Storage
Aliquot and store at -20C or -80C. Avoid freeze-thaw cycles.
Background: MRPS10
Alternate Names
28S ribosomal protein S10, mitochondrial, FLJ10567, mitochondrial 28S ribosomal protein S10, mitochondrial ribosomal protein S10, MRP-S10, PNAS-122, S10mt
Gene Symbol
MRPS10
UniProt
Additional MRPS10 Products
Product Documents for MRPS10 Antibody - BSA Free
Product Specific Notices for MRPS10 Antibody - BSA Free
This product is for research use only and is not approved for use in humans or in clinical diagnosis. Primary Antibodies are guaranteed for 1 year from date of receipt.
Loading...
Loading...
Loading...
Loading...
⚠ WARNING: This product can expose you to chemicals including mercury, which is known to the State of California to cause reproductive toxicity with developmental effects. For more information go to www.P65Warnings.ca.gov.