MRPL9 Antibody - BSA Free
Novus Biologicals, part of Bio-Techne | Catalog # NBP1-89561
Key Product Details
Species Reactivity
Human
Applications
Immunohistochemistry, Immunohistochemistry-Paraffin, Western Blot, Immunocytochemistry/ Immunofluorescence
Label
Unconjugated
Antibody Source
Polyclonal Rabbit IgG
Format
BSA Free
Concentration
Concentrations vary lot to lot. See vial label for concentration. If unlisted please contact technical services.
Product Specifications
Immunogen
This antibody was developed against Recombinant Protein corresponding to amino acids: NAPDLACNFSLSQNRGTVIVERWWKVPLAGEGRKPRLHRRHRVYKLVEDTKHRPKENLELILTQSVENVGVRGDLVSVKKSLGRNRLLPQGLAVYASPENKKLFEEEKLLRQEGKLEKIQTKAGEATVKFLKSCRLEVGMKNNV
Reactivity Notes
Immunogen displays the following percentage of sequence identity for non-tested species: Mouse (83%), Rat (85%)
Clonality
Polyclonal
Host
Rabbit
Isotype
IgG
Scientific Data Images for MRPL9 Antibody - BSA Free
Immunocytochemistry/ Immunofluorescence: MRPL9 Antibody [NBP1-89561]
Immunocytochemistry/Immunofluorescence: MRPL9 Antibody [NBP1-89561] - Immunofluorescent staining of human cell line U-2 OS shows localization to mitochondria.Immunohistochemistry-Paraffin: MRPL9 Antibody - BSA Free [NBP1-89561]
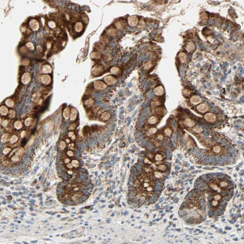
Staining of human small intestine shows strong cytoplasmic positivity in glandular cells.Western Blot: MRPL9 Antibody - BSA Free [NBP1-89561]
Lane 1: Marker [kDa] 230, 130, 95, 72, 56, 36, 28, 17, 11Lane 2: Human cell line RT-4
Lane 3: Human cell line U-251MG sp
Applications for MRPL9 Antibody - BSA Free
Application
Recommended Usage
Immunocytochemistry/ Immunofluorescence
0.25-2 ug/ml
Immunohistochemistry
1:50 - 1:200
Immunohistochemistry-Paraffin
1:50 - 1:200
Western Blot
0.04-0.4 ug/ml
Application Notes
For IHC-Paraffin, HIER pH 6 retrieval is recommended. Immunocytochemistry/Immunofluorescence Fixation Permeabilization: Use PFA/Triton X-100.
Formulation, Preparation, and Storage
Purification
Affinity purified
Formulation
PBS (pH 7.2) and 40% Glycerol
Format
BSA Free
Preservative
0.02% Sodium Azide
Concentration
Concentrations vary lot to lot. See vial label for concentration. If unlisted please contact technical services.
Shipping
The product is shipped with polar packs. Upon receipt, store it immediately at the temperature recommended below.
Stability & Storage
Store at 4C short term. Aliquot and store at -20C long term. Avoid freeze-thaw cycles.
Background: MRPL9
Alternate Names
L9mt, mitochondrial ribosomal protein L9, MRP-L9,39S ribosomal protein L9, mitochondrial
Gene Symbol
MRPL9
Additional MRPL9 Products
Product Documents for MRPL9 Antibody - BSA Free
Product Specific Notices for MRPL9 Antibody - BSA Free
This product is for research use only and is not approved for use in humans or in clinical diagnosis. Primary Antibodies are guaranteed for 1 year from date of receipt.
Loading...
Loading...
Loading...
Loading...