Skip to main content

MRPL28 Antibody - BSA Free

Novus Biologicals, part of Bio-Techne | Catalog # NBP3-38209

Novus Biologicals, part of Bio-Techne
Catalog #
Availability
Size / Price
Qty
Loading...
NBP3-38209-20ul
NBP3-38209-100ul

Key Product Details

Species Reactivity

Human, Rat

Applications

Immunohistochemistry, Immunohistochemistry-Paraffin, Western Blot, ELISA, Immunocytochemistry/ Immunofluorescence, Immunoprecipitation

Label

Unconjugated

Antibody Source

Polyclonal Rabbit IgG

Format

BSA Free

Concentration

Please see the vial label for concentration. If unlisted please contact technical services.

Product Specifications

Immunogen

Recombinant fusion protein containing a sequence corresponding to amino acids 1-256 of human MRPL28 (NP_006419.2).

Sequence:
MPLHKYPVWLWKRLQLREGICSRLPGHYLRSLEEERTPTPVHYRPHGAKFKINPKNGQRERVEDVPIPIYFPPESQRGLWGGEGWILGQIYANNDKLSKRLKKVWKPQLFEREFYSEILDKKFTVTVTMRTLDLIDEAYGLDFYILKTPKEDLCSKFGMDLKRGMLLRLARQDPQLHPEDPERRAAIYDKYKEFAIPEEEAEWVGLTLEEAIEKQRLLEEKDPVPLFKIYVAELIQQLQQQALSEPAVVQKRASGQ

Clonality

Polyclonal

Host

Rabbit

Isotype

IgG

Theoretical MW

30 kDa.
Disclaimer note: The observed molecular weight of the protein may vary from the listed predicted molecular weight due to post translational modifications, post translation cleavages, relative charges, and other experimental factors.

Description

Novus Biologicals Rabbit MRPL28 Antibody - BSA Free (NBP3-38209) is a polyclonal antibody validated for use in IHC, WB, ELISA, ICC/IF and IP. All Novus Biologicals antibodies are covered by our 100% guarantee.

Scientific Data Images for MRPL28 Antibody - BSA Free

MRPL28 Antibody

Immunocytochemistry/ Immunofluorescence: MRPL28 Antibody [NBP3-38209] -

Immunocytochemistry/ Immunofluorescence: MRPL28 Antibody [NBP3-38209] - Immunofluorescence analysis of U2OS cells using MRPL28 Rabbit pAb. Secondary antibody: Cy3-conjugated Goat anti-Rabbit IgG (H+L) at 1:500 dilution. Blue: DAPI for nuclear staining.
MRPL28 Antibody

Immunoprecipitation: MRPL28 Antibody [NBP3-38209] -

Immunoprecipitation: MRPL28 Antibody [NBP3-38209] - Immunoprecipitation analysis of 200 ug extracts of 293T cells using MRPL28 antibody. Western blot was performed from the immunoprecipitate using MRPL28 antibody at a dilution of 1:1000.
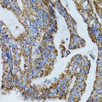
MRPL28 Antibody

Immunohistochemistry: MRPL28 Antibody [NBP3-38209] -

Immunohistochemistry: MRPL28 Antibody [NBP3-38209] - Immunohistochemistry analysis of paraffin-embedded Human gastric cancer using MRPL28 Rabbit pAb at dilution of 1:100 (40x lens). Microwave antigen retrieval performed with 0.01M PBS Buffer (pH 7.2) prior to IHC staining.

Applications for MRPL28 Antibody - BSA Free

Application
Recommended Usage

Immunocytochemistry/ Immunofluorescence

1:50 - 1:100

Immunohistochemistry-Paraffin

1:50 - 1:200

Immunoprecipitation

0.5ug - 4ug antibody for 200ug - 400ug extracts of whole cells

Western Blot

1:500 - 1:2000

Formulation, Preparation, and Storage

Purification

Affinity purified

Formulation

PBS (pH 7.3), 50% glycerol

Format

BSA Free

Preservative

0.02% Sodium Azide

Concentration

Please see the vial label for concentration. If unlisted please contact technical services.

Shipping

The product is shipped with polar packs. Upon receipt, store it immediately at the temperature recommended below.

Stability & Storage

Store at -20C. Avoid freeze-thaw cycles.

Background: MRPL28

MRPL28, also known as 39 S ribosomal protein L28, mitochondrial, is a 30.2 kDa, 256 amino acid protein that is utilized in mitochondrial ribosomes as a member of the ribosomal protein L28P family. Diseases and disorders such as hepatitis, leukemia, bronchitis, inflammatory bowel disease, melanoma, vaccinia, influenza, esophagitis, hepatocellular carcinoma, Hodgkin's lymphoma, and rheumatoid arthritis are beings studied with this protein. The protein interacts with ENSG00000258947, TUBB4A, OXA1L, ICT1, and TUBB3.

Alternate Names

L28mt, MAAT139S ribosomal protein L28, mitochondrial, Melanoma antigen p15, melanoma-associated antigen recognised by cytotoxic T lymphocytes, Melanoma-associated antigen recognized by T lymphocytes, MGC8499, mitochondrial ribosomal protein L28, MRP-L28, p15

Gene Symbol

MRPL28

Additional MRPL28 Products

Product Documents for MRPL28 Antibody - BSA Free

Certificate of Analysis

To download a Certificate of Analysis, please enter a lot number in the search box below.

Product Specific Notices for MRPL28 Antibody - BSA Free

This product is for research use only and is not approved for use in humans or in clinical diagnosis. Primary Antibodies are guaranteed for 1 year from date of receipt.

Loading...
Loading...
Loading...
Loading...