Skip to main content

MRPL28 Antibody - BSA Free

Novus Biologicals, part of Bio-Techne | Catalog # NBP2-38760

Novus Biologicals, part of Bio-Techne
Catalog #
Availability
Size / Price
Qty
Loading...
NBP2-38760
NBP2-38760-25ul

Key Product Details

Validated by

Independent Antibodies

Species Reactivity

Human

Applications

Immunohistochemistry, Immunohistochemistry-Paraffin, Western Blot

Label

Unconjugated

Antibody Source

Polyclonal Rabbit IgG

Format

BSA Free

Concentration

Concentrations vary lot to lot. See vial label for concentration. If unlisted please contact technical services.

Product Specifications

Immunogen

This antibody was developed against a recombinant protein corresponding to amino acids: PVWLWKRLQLREGICSRLPGHYLRSLEEERTPTPVHYRPHGAKFKINPKNGQRERVEDVPIPIYFPPESQRGLWGGEGWILGQIYANND

Reactivity Notes

Immunogen displays the following percentage of sequence identity for non-tested species: Mouse (81%), Rat (80%)

Clonality

Polyclonal

Host

Rabbit

Isotype

IgG

Description

Novus Biologicals Rabbit MRPL28 Antibody - BSA Free (NBP2-38760) is a polyclonal antibody validated for use in IHC and WB. All Novus Biologicals antibodies are covered by our 100% guarantee.

Scientific Data Images for MRPL28 Antibody - BSA Free

Western Blot: MRPL28 Antibody [NBP2-38760]

Western Blot: MRPL28 Antibody [NBP2-38760]

Western Blot: MRPL28 Antibody [NBP2-38760] - Analysis using Anti-MRPL28 antibody NBP2-38760 (A) shows similar pattern to independent antibody NBP1-82805 (B).
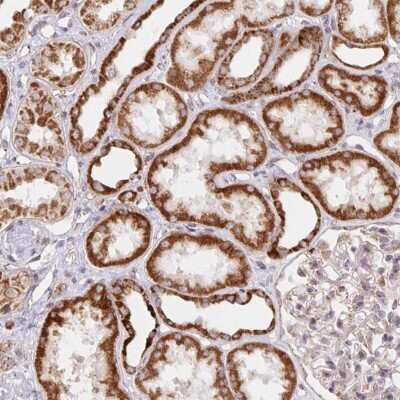
Immunohistochemistry: MRPL28 Antibody [NBP2-38760]

Immunohistochemistry: MRPL28 Antibody [NBP2-38760]

Immunohistochemistry: MRPL28 Antibody [NBP2-38760] - Staining of human kidney shows strong cytoplasmic positivity in cells in tubules.

Applications for MRPL28 Antibody - BSA Free

Application
Recommended Usage

Immunohistochemistry

1:500 - 1:1000

Immunohistochemistry-Paraffin

1:500 - 1:1000

Western Blot

0.04-0.4 ug/ml
Application Notes
For IHC-Paraffin, HIER pH 6 retrieval is recommended. Immunocytochemistry/Immunofluorescence Fixation Permeabilization: Use PFA/Triton X-100.

Formulation, Preparation, and Storage

Purification

Immunogen affinity purified

Formulation

PBS (pH 7.2) and 40% Glycerol

Format

BSA Free

Preservative

0.02% Sodium Azide

Concentration

Concentrations vary lot to lot. See vial label for concentration. If unlisted please contact technical services.

Shipping

The product is shipped with polar packs. Upon receipt, store it immediately at the temperature recommended below.

Stability & Storage

Store at 4C short term. Aliquot and store at -20C long term. Avoid freeze-thaw cycles.

Background: MRPL28

MRPL28, also known as 39 S ribosomal protein L28, mitochondrial, is a 30.2 kDa, 256 amino acid protein that is utilized in mitochondrial ribosomes as a member of the ribosomal protein L28P family. Diseases and disorders such as hepatitis, leukemia, bronchitis, inflammatory bowel disease, melanoma, vaccinia, influenza, esophagitis, hepatocellular carcinoma, Hodgkin's lymphoma, and rheumatoid arthritis are beings studied with this protein. The protein interacts with ENSG00000258947, TUBB4A, OXA1L, ICT1, and TUBB3.

Alternate Names

L28mt, MAAT139S ribosomal protein L28, mitochondrial, Melanoma antigen p15, melanoma-associated antigen recognised by cytotoxic T lymphocytes, Melanoma-associated antigen recognized by T lymphocytes, MGC8499, mitochondrial ribosomal protein L28, MRP-L28, p15

Gene Symbol

MRPL28

UniProt

Additional MRPL28 Products

Product Documents for MRPL28 Antibody - BSA Free

Certificate of Analysis

To download a Certificate of Analysis, please enter a lot number in the search box below.

Product Specific Notices for MRPL28 Antibody - BSA Free

This product is for research use only and is not approved for use in humans or in clinical diagnosis. Primary Antibodies are guaranteed for 1 year from date of receipt.

Loading...
Loading...
Loading...
Loading...