Skip to main content

MRPL24 Antibody - BSA Free

Novus Biologicals, part of Bio-Techne | Catalog # NBP1-81033

Novus Biologicals, part of Bio-Techne
Catalog #
Availability
Size / Price
Qty
Loading...
NBP1-81033
NBP1-81033-25ul

Key Product Details

Species Reactivity

Human

Applications

Immunohistochemistry, Immunohistochemistry-Paraffin, Western Blot

Label

Unconjugated

Antibody Source

Polyclonal Rabbit IgG

Format

BSA Free

Concentration

Concentrations vary lot to lot. See vial label for concentration. If unlisted please contact technical services.

Product Specifications

Immunogen

This antibody was developed against Recombinant Protein corresponding to amino acids: GKVVQVIRQRNWVVVGGLNTHYRYIGKTMDYRGTMIPSEAPLLHRQVKLVDPMDRKPTEIEWRFTEAG

Reactivity Notes

Immunogen displays the following percentage of sequence identity for non-tested species: Mouse (85%), Rat (87%)

Clonality

Polyclonal

Host

Rabbit

Isotype

IgG

Description

Novus Biologicals Rabbit MRPL24 Antibody - BSA Free (NBP1-81033) is a polyclonal antibody validated for use in IHC and WB. All Novus Biologicals antibodies are covered by our 100% guarantee.

Scientific Data Images for MRPL24 Antibody - BSA Free

Western Blot: MRPL24 Antibody [NBP1-81033]

Western Blot: MRPL24 Antibody [NBP1-81033]

Western Blot: MRPL24 Antibody [NBP1-81033] - Analysis in control (vector only transfected HEK293T lysate) and MRPL24 over-expression lysate (Co-expressed with a C-terminal myc-DDK tag (3.1 kDa) in mammalian HEK293T cells).
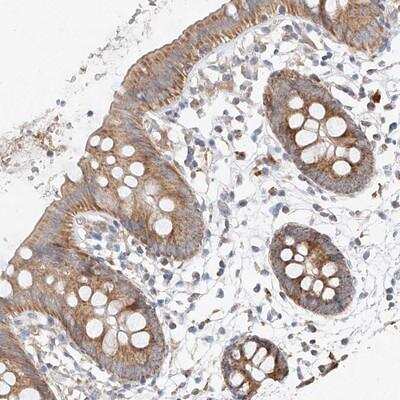
Immunohistochemistry-Paraffin: MRPL24 Antibody [NBP1-81033]

Immunohistochemistry-Paraffin: MRPL24 Antibody [NBP1-81033]

Immunohistochemistry-Paraffin: MRPL24 Antibody [NBP1-81033] - Staining of human colon shows moderate cytoplasmic positivity in glandular cells.

Applications for MRPL24 Antibody - BSA Free

Application
Recommended Usage

Immunohistochemistry

1:50 - 1:200

Immunohistochemistry-Paraffin

1:50 - 1:200

Western Blot

0.04-0.4 ug/ml
Application Notes
For IHC-Paraffin, HIER pH 6 retrieval is recommended.

Formulation, Preparation, and Storage

Purification

Affinity purified

Formulation

PBS (pH 7.2) and 40% Glycerol

Format

BSA Free

Preservative

0.02% Sodium Azide

Concentration

Concentrations vary lot to lot. See vial label for concentration. If unlisted please contact technical services.

Shipping

The product is shipped with polar packs. Upon receipt, store it immediately at the temperature recommended below.

Stability & Storage

Store at 4C short term. Aliquot and store at -20C long term. Avoid freeze-thaw cycles.

Background: MRPL24

MRPL24, also known as 39 S ribosomal protein L24, mitochondrial, is a 24.9 kDa, 216 amino acid protein that is involved in translation in the mitochondria. Current research is connecting the protein to diseases and disorders such as malaria, mycobacterium tuberculosis, and pneumonia. The protein interacts with CIAO1, MRPL12, MRPL19, MRPL11, and ICT1.

Alternate Names

FLJ20917, L24mt, MGC22737, MGC9831, mitochondrial, mitochondrial ribosomal protein L24, MRP-L18, MRP-L24

Entrez Gene IDs

79590 (Human)

Gene Symbol

MRPL24

UniProt

Additional MRPL24 Products

Product Documents for MRPL24 Antibody - BSA Free

Certificate of Analysis

To download a Certificate of Analysis, please enter a lot number in the search box below.

Product Specific Notices for MRPL24 Antibody - BSA Free

This product is for research use only and is not approved for use in humans or in clinical diagnosis. Primary Antibodies are guaranteed for 1 year from date of receipt.

Loading...
Loading...
Loading...
Loading...