Skip to main content

MRPL21 Antibody - BSA Free

Novus Biologicals, part of Bio-Techne | Catalog # NBP3-47044

Novus Biologicals, part of Bio-Techne
Catalog #
Availability
Size / Price
Qty
Loading...
NBP3-47044

Key Product Details

Species Reactivity

Human, Mouse, Rat

Applications

Immunohistochemistry, Western Blot, ELISA

Label

Unconjugated

Antibody Source

Polyclonal Rabbit IgG

Format

BSA Free

Concentration

Please see the vial label for concentration. If unlisted please contact technical services.

Product Specifications

Immunogen

mitochondrial ribosomal protein L21. (Uniprot# Q7Z2W9)

Clonality

Polyclonal

Host

Rabbit

Isotype

IgG

Theoretical MW

23 kDa.
Disclaimer note: The observed molecular weight of the protein may vary from the listed predicted molecular weight due to post translational modifications, post translation cleavages, relative charges, and other experimental factors.

Description

Novus Biologicals Rabbit MRPL21 Antibody - BSA Free (NBP3-47044) is a polyclonal antibody validated for use in IHC, WB and ELISA. All Novus Biologicals antibodies are covered by our 100% guarantee.

Scientific Data Images for MRPL21 Antibody - BSA Free

MRPL21 Antibody - BSA Free

Western Blot: MRPL21 Antibody - BSA Free [NBP3-47044] -

Western Blot: MRPL21 Antibody - BSA Free [NBP3-47044] - Human heart tissue were subjected to SDS PAGE followed by western blot with (MRPL21 antibody) at dilution of 1:500
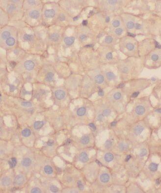
MRPL21 Antibody - BSA Free

Immunohistochemistry: MRPL21 Antibody - BSA Free [NBP3-47044] -

Immunohistochemistry: MRPL21 Antibody - BSA Free [NBP3-47044] - Immunohistochemistry of paraffin-embedded human liver using (MRPL21 antibody) at dilution of 1:100

Applications for MRPL21 Antibody - BSA Free

Application
Recommended Usage

Immunohistochemistry

1:20-1:200

Western Blot

1:500-1:2000

Formulation, Preparation, and Storage

Purification

Immunogen affinity purified

Formulation

PBS, 50% Glycerol, pH (7.3)

Format

BSA Free

Preservative

0.02% Sodium Azide

Concentration

Please see the vial label for concentration. If unlisted please contact technical services.

Shipping

The product is shipped with polar packs. Upon receipt, store it immediately at the temperature recommended below.

Stability & Storage

Store at -20C. Avoid freeze-thaw cycles.

Background: MRPL21

Belonging to the ribosomal protein L21P family, MRPL21 plays an important role in translation and RNA binding. These Mammalian mitochondrial ribosomal proteins contain a small 28S subunit and a large 39S subunit, and consist of 75% protein to rRNA composition. The ribosomal proteins also help in protein synthesis within the mitochondrion. This gene also acts as a structural component of mitochondrial ribosomes, and encodes the 39S subunit protein.

Alternate Names

L21mt, MGC62013, mitochondrial ribosomal protein L21, MRP-L21,39S ribosomal protein L21, mitochondrial

Gene Symbol

MRPL21

Additional MRPL21 Products

Product Documents for MRPL21 Antibody - BSA Free

Certificate of Analysis

To download a Certificate of Analysis, please enter a lot number in the search box below.

Product Specific Notices for MRPL21 Antibody - BSA Free

This product is for research use only and is not approved for use in humans or in clinical diagnosis. Primary Antibodies are guaranteed for 1 year from date of receipt.

Loading...
Loading...
Loading...
Loading...