Skip to main content

MRPL19 Antibody - BSA Free

Novus Biologicals, part of Bio-Techne | Catalog # NBP2-97473

Novus Biologicals, part of Bio-Techne

Key Product Details

Species Reactivity

Human

Applications

Immunohistochemistry, Immunohistochemistry-Paraffin, Western Blot, Immunoprecipitation

Label

Unconjugated

Antibody Source

Polyclonal Rabbit IgG

Format

BSA Free

Concentration

Please see the vial label for concentration. If unlisted please contact technical services.

Product Specifications

Immunogen

Produced in rabbits immunized with E. coli-derived Human MRPL19 fragment.

Clonality

Polyclonal

Host

Rabbit

Isotype

IgG

Description

This antibody can be stored at 2C to 8C for one month without detectable loss of activity. Antibody products are stable for twelve months from date of receipt when stored at -20C to -80C. Avoid repeated freeze-thaw cycles.

Scientific Data Images for MRPL19 Antibody - BSA Free

Western Blot: MRPL19 Antibody [NBP2-97473]

Western Blot: MRPL19 Antibody [NBP2-97473]

Western Blot: MRPL19 Antibody [NBP2-97473] - Lane A: U-251 MG Whole Cell LysateLane B: MCF7 Whole Cell LysateLane C: A431 Whole Cell LysateLane D: Raji Whole Cell LysateLysates/proteins at 30 ug per lane.SecondaryGoat Anti-Rabbit IgG (H+L)/HRP at 1/10000 dilution.Developed using the ECL technique.Performed under reducing conditions.Predicted band size:34 kDa
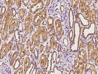
Immunohistochemistry-Paraffin: MRPL19 Antibody [NBP2-97473]

Immunohistochemistry-Paraffin: MRPL19 Antibody [NBP2-97473]

Immunohistochemistry-Paraffin: MRPL19 Antibody [NBP2-97473] - Immunochemical staining of human MRPL19 in human kidney with rabbit polyclonal antibody at 1:500 dilution, formalin-fixed paraffin embedded sections.
Immunoprecipitation: MRPL19 Antibody [NBP2-97473]

Immunoprecipitation: MRPL19 Antibody [NBP2-97473]

Immunoprecipitation: MRPL19 Antibody [NBP2-97473] - Lane A:0.5 mg A431 Whole Cell Lysate4 uL anti-MRPL19 rabbit polyclonal antibody and 60 ug of Immunomagnetic beads Protein A/G.Primary antibody:Anti-MRPL19 rabbit polyclonal antibody,at 1:100 dilution Secondary antibody:Goat Anti-Rabbit IgG (H+L)/HRP at 1/10000 dilutionDeveloped using the ECL technique.Performed under reducing conditions.Predicted band size: 34 kDaObserved band size :30 kDa

Applications for MRPL19 Antibody - BSA Free

Application
Recommended Usage

Immunohistochemistry-Paraffin

1:200-1:1000

Immunoprecipitation

0.5-2uL/mg of lysate

Western Blot

1:500-1:2000

Formulation, Preparation, and Storage

Purification

Antigen and protein A Affinity-purified

Formulation

PBS

Format

BSA Free

Preservative

0.03% Proclin 300

Concentration

Please see the vial label for concentration. If unlisted please contact technical services.

Shipping

The product is shipped with polar packs. Upon receipt, store it immediately at the temperature recommended below.

Stability & Storage

Store at 4C short term. Aliquot and store at -20C long term. Avoid freeze-thaw cycles.

Background: MRPL19

Belonging to the ribosomal protein L19P family, MRPL19 plays an important role in cell translation. These Mammalian mitochondrial ribosomal proteins contain a small 28S subunit and a large 39S subunit, and consist of 75% protein to rRNA composition. The ribosomal proteins also help in protein synthesis within the mitochondrion. This gene also acts as a structural component of mitochondrial ribosomes, and encodes the 39S subunit protein. Interacting proteins include SMURF2, TRIM63, MAGEC1, MRPL12 and MRPL11. Dyslexia is also a common disease associated with the MRPL19 gene.

Alternate Names

KIAA0104L19mt, L15mt, MGC20675, mitochondrial, mitochondrial ribosomal protein L19, MRPL1539S ribosomal protein L19, mitochondrial, MRP-L15MRP-L19, RLX1, RPML15

Gene Symbol

MRPL19

Additional MRPL19 Products

Product Documents for MRPL19 Antibody - BSA Free

Certificate of Analysis

To download a Certificate of Analysis, please enter a lot number in the search box below.

Product Specific Notices for MRPL19 Antibody - BSA Free

This product is for research use only and is not approved for use in humans or in clinical diagnosis. Primary Antibodies are guaranteed for 1 year from date of receipt.

Loading...
Loading...
Loading...
Loading...