Skip to main content

MRPL18 Antibody - BSA Free

Novus Biologicals, part of Bio-Techne | Catalog # NBP1-83177

Novus Biologicals, part of Bio-Techne
Catalog #
Availability
Size / Price
Qty
Loading...
NBP1-83177
NBP1-83177-25ul

Key Product Details

Validated by

Independent Antibodies

Species Reactivity

Validated:

Human

Predicted:

Mouse (94%), Rat (92%). Backed by our 100% Guarantee.

Applications

Immunohistochemistry, Immunohistochemistry-Paraffin

Label

Unconjugated

Antibody Source

Polyclonal Rabbit IgG

Format

BSA Free

Concentration

Concentrations vary lot to lot. See vial label for concentration. If unlisted please contact technical services.

Product Specifications

Immunogen

This antibody was developed against Recombinant Protein corresponding to amino acids: NGKVVVSASTREWAIKKHLYSTRNVVACESIGRVLAQRCLEAGINFMVYQPTPWEAASDSMKRLQS

Clonality

Polyclonal

Host

Rabbit

Isotype

IgG

Scientific Data Images for MRPL18 Antibody - BSA Free

Immunohistochemistry-Paraffin: MRPL18 Antibody [NBP1-83177]

Immunohistochemistry-Paraffin: MRPL18 Antibody [NBP1-83177]

Immunohistochemistry-Paraffin: MRPL18 Antibody [NBP1-83177] - Staining of human kidney.
Immunohistochemistry-Paraffin: MRPL18 Antibody [NBP1-83177]

Immunohistochemistry-Paraffin: MRPL18 Antibody [NBP1-83177]

Immunohistochemistry-Paraffin: MRPL18 Antibody [NBP1-83177] - Staining of human prostate shows strong cytoplasmic and membranous positivity in glandular cells.
Immunohistochemistry-Paraffin: MRPL18 Antibody [NBP1-83177]

Immunohistochemistry-Paraffin: MRPL18 Antibody [NBP1-83177]

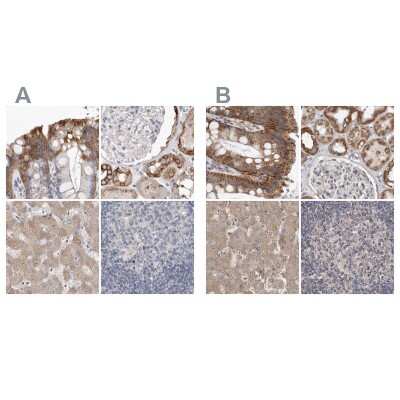
Immunohistochemistry-Paraffin: MRPL18 Antibody [NBP1-83177] - Staining of human colon, kidney, liver and lymph node using Anti-MRPL18 antibody NBP1-83177 (A) shows similar protein distribution across tissues to independent antibody NBP1-83176 (B).

Applications for MRPL18 Antibody - BSA Free

Application
Recommended Usage

Immunohistochemistry

1:200 - 1:500

Immunohistochemistry-Paraffin

1:200 - 1:500
Application Notes
For IHC-Paraffin, HIER pH 6 retrieval is recommended.

Formulation, Preparation, and Storage

Purification

Affinity purified

Formulation

PBS (pH 7.2) and 40% Glycerol

Format

BSA Free

Preservative

0.02% Sodium Azide

Concentration

Concentrations vary lot to lot. See vial label for concentration. If unlisted please contact technical services.

Shipping

The product is shipped with polar packs. Upon receipt, store it immediately at the temperature recommended below.

Stability & Storage

Store at 4C short term. Aliquot and store at -20C long term. Avoid freeze-thaw cycles.

Background: MRPL18

MRPL18, also known as 39 S ribosomal protein L18, mitochondrial, is a 20.6 kDa, 180 amino acid protein that is involved in importing the cytosolic 5S rRNA in the mitochondria. Currently, no research is being conducted to link this protein to diseases. The protein interacts with other proteins such as AASS, PAX9, AARS2, ABCB7, and ICT1.

Alternate Names

HSPC071,39S ribosomal protein L18, mitochondrial, L18mt, mitochondrial ribosomal protein L18, MRP-L18

Gene Symbol

MRPL18

Additional MRPL18 Products

Product Documents for MRPL18 Antibody - BSA Free

Certificate of Analysis

To download a Certificate of Analysis, please enter a lot number in the search box below.

Product Specific Notices for MRPL18 Antibody - BSA Free

This product is for research use only and is not approved for use in humans or in clinical diagnosis. Primary Antibodies are guaranteed for 1 year from date of receipt.

Loading...
Loading...
Loading...
Loading...