Skip to main content

MRPL13 Antibody - BSA Free

Novus Biologicals, part of Bio-Techne | Catalog # NBP2-32572

Novus Biologicals, part of Bio-Techne
Catalog #
Availability
Size / Price
Qty
Loading...
NBP2-32572
NBP2-32572-25ul

Key Product Details

Species Reactivity

Human

Applications

Validated:

Immunohistochemistry, Immunohistochemistry-Paraffin, Western Blot

Cited:

Western Blot

Label

Unconjugated

Antibody Source

Polyclonal Rabbit IgG

Format

BSA Free

Concentration

Concentrations vary lot to lot. See vial label for concentration. If unlisted please contact technical services.

Product Specifications

Immunogen

This antibody was developed against a recombinant protein corresponding to amino acids: HLRDPVAIVKLAIYGMLPKNLHRRTMMERLHLFPDEYIPEDILKNLVEELPQPRKIPKRLDEYTQEEIDAFPRLWTPPE

Reactivity Notes

Immunogen displays the following percentage of sequence identity for non-tested species: Mouse (89%), Rat (87%)

Clonality

Polyclonal

Host

Rabbit

Isotype

IgG

Scientific Data Images for MRPL13 Antibody - BSA Free

Western Blot: MRPL13 Antibody [NBP2-32572]

Western Blot: MRPL13 Antibody [NBP2-32572]

Western Blot: MRPL13 Antibody [NBP2-32572] - Lane 1: Marker [kDa] 250, 130, 95, 72, 55, 36, 28, 17, 10. Lane 2: Human cell line RT-4. Lane 3: Human cell line U-251MG sp
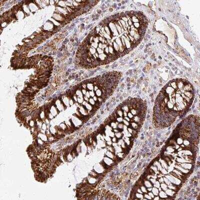
Immunohistochemistry-Paraffin: MRPL13 Antibody [NBP2-32572]

Immunohistochemistry-Paraffin: MRPL13 Antibody [NBP2-32572]

Immunohistochemistry-Paraffin: MRPL13 Antibody [NBP2-32572] - Staining of human colon shows strong cytoplasmic positivity in glandular cells.

Applications for MRPL13 Antibody - BSA Free

Application
Recommended Usage

Immunohistochemistry

1:500 - 1:1000

Immunohistochemistry-Paraffin

1:500 - 1:1000

Western Blot

0.04-0.4 ug/ml
Application Notes
For IHC-Paraffin, HIER pH 6 retrieval is recommended.

Formulation, Preparation, and Storage

Purification

Affinity purified

Formulation

PBS (pH 7.2) and 40% Glycerol

Format

BSA Free

Preservative

0.02% Sodium Azide

Concentration

Concentrations vary lot to lot. See vial label for concentration. If unlisted please contact technical services.

Shipping

The product is shipped with polar packs. Upon receipt, store it immediately at the temperature recommended below.

Stability & Storage

Store at 4C short term. Aliquot and store at -20C long term. Avoid freeze-thaw cycles.

Background: MRPL13

MRPL13 encodes a 39s subunit protien. The 39s subunit protien helps with protien synthesis within in the mitchondria.

Alternate Names

39S ribosomal protein L13, mitochondrial, L13, L13A, L13mtRPML13, mitochondrial ribosomal protein L13, MRP-L13, RPL13

Gene Symbol

MRPL13

Additional MRPL13 Products

Product Documents for MRPL13 Antibody - BSA Free

Certificate of Analysis

To download a Certificate of Analysis, please enter a lot number in the search box below.

Product Specific Notices for MRPL13 Antibody - BSA Free

This product is for research use only and is not approved for use in humans or in clinical diagnosis. Primary Antibodies are guaranteed for 1 year from date of receipt.

Loading...
Loading...
Loading...
Loading...