Skip to main content

MRP1 Antibody (0J6M2)

Novus Biologicals, part of Bio-Techne | Catalog # NBP3-16096

Recombinant Monoclonal Antibody
Novus Biologicals, part of Bio-Techne
Catalog #
Availability
Size / Price
Qty
Loading...
NBP3-16096-20ul
NBP3-16096-100ul

Key Product Details

Species Reactivity

Human, Mouse, Rat

Applications

Immunohistochemistry, Immunohistochemistry-Paraffin, Western Blot, ELISA

Label

Unconjugated

Antibody Source

Recombinant Monoclonal Rabbit IgG Clone # 0J6M2 expressed in HEK293

Concentration

Please see the vial label for concentration. If unlisted please contact technical services.

Product Specifications

Immunogen

Recombinant fusion protein containing a sequence corresponding to amino acids 210-304 of human MRP1 (NP_004987.2). ESSASFLSRITFWWITGLIVRGYRQPLEGSDLWSLNKEDTSEQVVPVLVKNWKKECAKTRKQPVKVVYSSKDPAQPKESSKVDANEEVEALIVKS

Clonality

Monoclonal

Host

Rabbit

Isotype

IgG

Theoretical MW

172 kDa.
Disclaimer note: The observed molecular weight of the protein may vary from the listed predicted molecular weight due to post translational modifications, post translation cleavages, relative charges, and other experimental factors.

Description

Novus Biologicals Rabbit MRP1 Antibody (0J6M2) (NBP3-16096) is a recombinant monoclonal antibody validated for use in IHC, WB and ELISA. All Novus Biologicals antibodies are covered by our 100% guarantee.

Scientific Data Images for MRP1 Antibody (0J6M2)

MRP1 Antibody (0J6M2)

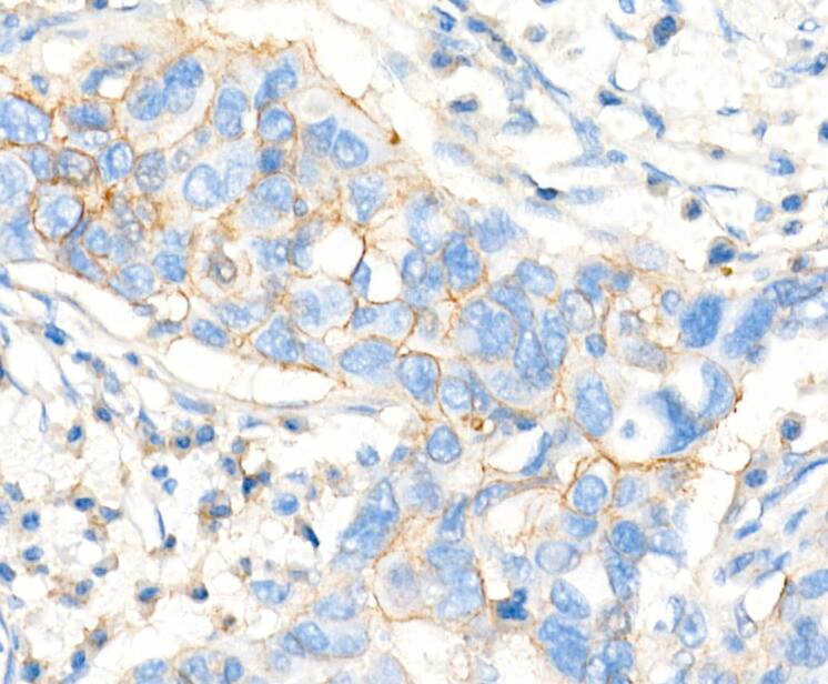
MRP1 Antibody (3W1Y4) [NBP3-16096] -

Analysis of paraffin-embedded Human oophoroma tissue using MRP1/ABCC1 Rabbit mAb at a dilution of 1:200 (40x lens). High pressure antigen retrieval performed with 0.01M Tris-EDTA Buffer (pH 9.0) prior to IHC staining.
MRP1 Antibody (0J6M2)

MRP1 Antibody (3W1Y4) [NBP3-16096] -

Human breast cancer tissue using MRP1/ABCC1 Rabbit mAb at a dilution of 1:200 (40x lens). High pressure antigen retrieval performed with 0.01M Tris-EDTA Buffer (pH 9.0) prior to IHC staining.
MRP1 Antibody (0J6M2)

MRP1 Antibody (3W1Y4) [NBP3-16096] -

Analysis of various lysates using MRP1/ABCC1 Rabbit mAb at 1:5000 dilution incubated overnight at 4℃.Secondary antibody: HRP-conjugated Goat anti-Rabbit IgG (H+L) at 1:10000 dilution.Lysates/proteins: 25 μg per lane. Blocking buffer: 3% nonfat dry milk in TBST.Detection: ECL Basic Kit. Exposure time: 20s.

Applications for MRP1 Antibody (0J6M2)

Application
Recommended Usage

ELISA

Recommended starting concentration is 1 μg/mL.

Immunohistochemistry

1:50 - 1:200

Immunohistochemistry-Paraffin

1:50 - 1:200

Western Blot

1:5000 - 1:20000

Formulation, Preparation, and Storage

Purification

Affinity purified

Formulation

PBS (pH 7.3), 50% glycerol, 0.05% BSA

Preservative

0.02% Sodium Azide

Concentration

Please see the vial label for concentration. If unlisted please contact technical services.

Shipping

The product is shipped with polar packs. Upon receipt, store it immediately at the temperature recommended below.

Stability & Storage

Store at -20C. Avoid freeze-thaw cycles.

Background: MRP1

Multidrug Resistance Protein 1 (MRP1) is an integral membrane glycophosphoprotein belonging to the same superfamily of ATP-binding cassette transmembrane transporter proteins as P-glycoprotein. MRP1 is overexpressed in many P-glycoprotein-negative, multidrug resistant cell lines and tumours. It is believed that the main function of MRP in drug resistance is that of a plasma membrane drug efflux pump.

Specifically, MRP1 mediates the export of organic anions and drugs from the cytoplasm. It is through this function, that MRP1 is able to confer resistance to anticancer drugs. MRP1 antibodies are therefore useful tools for cancer testing and research.

Long Name

Multi-drug Resistance Protein 1

Alternate Names

ABCC1, GS-X

Gene Symbol

ABCC1

Additional MRP1 Products

Product Documents for MRP1 Antibody (0J6M2)

Certificate of Analysis

To download a Certificate of Analysis, please enter a lot number in the search box below.

Product Specific Notices for MRP1 Antibody (0J6M2)

This product is for research use only and is not approved for use in humans or in clinical diagnosis. Primary Antibodies are guaranteed for 1 year from date of receipt.

Loading...
Loading...
Loading...
Loading...